Bọc răng sứ là một trong những phương pháp phục hình thẩm mỹ được nhiều người lựa chọn, giúp khôi phục tính thẩm mỹ và cải tạo chức năng ăn nhai của răng miệng.
Bọc răng sứ giá bao nhiêu là băn khoăn đầu tiên của nhiều người trước rất nhiều bảng giá khác nhau của mỗi cơ sở phòng khám nha khoa. Mỗi một địa chỉ nha khoa lại có sự khác nhau về mức độ đầu tư công nghệ hay máy móc, các loại vật liệu răng sứ sử dụng, cũng như trình độ chuyên môn, tay nghề của đội ngũ bác sĩ. Chính vì vậy, bọc răng sứ với giá rẻ chưa chắc đã là sự lựa chọn tối ưu nhất.
Vậy bọc răng sứ giá bao nhiêu là tiết kiệm nhất, vừa đảm bảo chất lượng thì nên chọn loại răng sứ nào? Cùng Nha Khoa Hanseoul tìm câu trả lời trong bài viết dưới đây nhé!
1 Giá bọc răng sứ ảnh hưởng bởi các yếu tố gì?
1.1 Tình trạng của răng
Trường hợp bị sâu răng hoặc gãy răng hàm thì bạn có thể chọn răng sứ kim loại để tiết kiệm chi phí mà vẫn đảm bảo độ bền và tính thẩm mỹ của răng (do răng hàm ở phía trong nên không để lộ khi cười hay nói chuyện).

Với tình trạng khuyết thiếu răng ở răng cửa hoặc răng để lộ ra ngoài khi cười và nói chuyện thì bạn nên lựa chọn loại răng sứ toàn phần để có được tính thẩm mỹ cao hơn cho nụ cười của bạn. Răng sứ toàn phần có độ đẹp tự nhiên như răng thật, tuy nhiên chi phí bỏ ra sẽ cao hơn so với răng sứ kim loại.
1.2 Chất lượng của cơ sở nha khoa
Những yếu tố về :
- Đội ngũ bác sĩ tay nghề lâu năm, kỹ thuật chuyên môn giỏi
- Công nghệ sử dụng trong nha khoa được cập nhật thường xuyên, chất lượng tiên tiến, hiện đại.
- Trang thiết bị và cơ sở vật chất hiện đại, tiện nghi, tiên tiến…đáp ứng tiêu chuẩn quốc tế

Sẽ ảnh hưởng đến chi phí bọc răng sứ của bạn. Vì vậy bạn hãy lựa chọn những cơ sở chất lượng và uy tín, đừng vì ham rẻ mà quyết định lựa chọn các cơ sở không uy tín vì có thể làm ảnh hưởng đến sức khỏe răng miệng của bạn. Thậm chí sẽ không đem đến hiệu quả thẩm mỹ, nếu không hài lòng mà quyết định làm lại ở một nơi khác thì số tiền bạn chi tiêu sẽ lớn hơn rất nhiều. Vì nên, hãy là những khách hàng thông thái nhất bạn nhé.
1.3 Vật liệu của răng sứ
Bọc răng sứ kim loại có giá rẻ hơn rất nhiều so với bọc răng sứ toàn phần.
Răng sứ kim loại có nhiều loại khác nhau với các mức giá tương ứng, một số loại răng sứ kim loại chủ yếu như: răng kim loại toàn phần, răng kim loại Chrome Cobalt, răng kim loại titanium phủ sứ. Giá của răng sứ kim loại thường dao động từ 1.000.000đ – 3.000.000đ.

Hình ảnh răng sứ kim loại Chrome Cobalt
Răng sứ toàn phần cũng có nhiều loại khác nhau với mức tương ứng, một số loại răng sứ toàn phần chủ yếu như: răng sứ toàn phần Katana (xuất xứ Nhật), răng sứ toàn phần Zirconia (xuất xứ Đức), răng sứ toàn phần Cercon, răng sứ toàn phần Emax (xuất xứ Đức), răng sứ toàn phần Lava 3M (xuất xứ Mỹ), răng sứ veneer Emax. Giá của răng sứ toàn phần dao động từ 4.000.000đ – 10.000.000đ.
Tùy thuộc vào nhu cầu mỗi người mà sẽ có những lựa chọn phù hợp về loại răng sứ. Tuy nhiên răng sứ kim loại chú trọng vào tính sử dụng cao hơn. Còn nếu như bạn muốn vừa có tính thẩm mỹ và tính sử dụng cao thì nên chọn dòng răng sứ toàn phần.
2 Bọc răng sứ giá rẻ – nên hay không?
Bọc răng sứ giá rẻ là chủ đề không còn quá xa lạ. Tuy nhiên, bạn sẽ cần quan tâm đến chất lượng thực hiện của loại răng sứ này. Hiện nay có nhiều nha khoa muốn thu lợi nhuận cao, vì thế bất chấp sử dụng những loại sứ không rõ nguồn gốc, xuất xứ cho khách hàng.
Các tác hại khi sử dụng răng sứ kém chất lượng đối với sức khỏe răng miệng như:
- Răng bị oxy hóa nhanh chóng, tình trạng đen viền nướu
- Tỷ lệ răng không khớp khiến vi khuẩn dễ dàng tấn công gây viêm lợi, tình trạng hở cổ chân răng

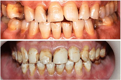
Hình ảnh loại răng sứ giá rẻ
- Răng sứ dễ bị vỡ và có thể hỏng cả răng sứ cùng răng thật
- Trương hợp nguy hiểm còn làm mất răng vĩnh viễn do ảnh hưởng từ việc làm răng sứ không đảm bảo chất lượng…
Chính vì vậy, bạn đừng quan tâm quá nhiều đến việc bọc răng sứ bao nhiêu tiền mà nên chú ý đến chất lượng và uy tín đầu tiên. Cần xem xét và đánh giá xem chất lượng răng sứ và cơ sở nha khoa có uy tín, đảm bảo xuất xứ rõ ràng không? Thực hiện nhiều ca bọc răng sứ thành công chưa? feedback của khách hàng có tốt không?….Từ đó, bạn sẽ có thể yên tâm thực hiện ca bọc răng sứ của mình.
Tác hại của việc bọc răng sứ không đúng kỹ thuật là nghiêm trọng. Chính vì thế mà Nha Khoa Hanseoul, có 100% ca phẫu thuật được thực hiện bởi các bác sĩ chuyên khoa có kinh nghiệm và tay nghề lâu năm trong lĩnh vực phục hình thẩm mỹ, cùng công nghệ và nguyên vật liệu được nhập khẩu từ Nhật, Mỹ, Đức.
3 Đối tượng bọc răng sứ
Phương pháp phục hình răng thẩm mỹ bằng cách bọc răng sứ khá được ưa chuộng hiện nay. Một phương pháp kỹ thuật nha khoa tiên tiến, được áp dụng cho những người đang gặp những vấn đề như sau:
- Răng bị xỉn màu và răng ố vàng do sử dụng các loại đồ uống đậm màu : trà, sốt cà chua, cà ri, cà phê

- Răng bị nhiễm màu do sử dụng nhiều thuốc kháng sinh Tetra, hoặc do ảnh hưởng từ quá trình mang thai của người mẹ (phụ nữ mang thai sử dụng nhiều thuốc kháng sinh có thể sẽ làm men răng thai nhi sau khi sinh ra bị vàng).
- Răng không hoàn hảo do bị vỡ, mẻ bởi quá trình ăn uống, sinh hoạt hoặc va chạm mạnh gây nên.
- Người có răng mọc lệch lạc, không đều ảnh hưởng đến chức năng ăn nhai và thẩm mỹ của răng.
- Người có răng bị thưa, ngắn không quá nhiều, do bẩm sinh hoặc bị tác động trong quá trình sinh hoạt.
Hiện nay, bọc răng sứ thẩm mỹ ở thành phố Hà Nội có rất nhiều địa chỉ phòng khám nha khoa thực hiện dịch vụ này. Bạn nên cân nhắc và lựa chọn cho mình một nha khoa lớn chất lượng và uy tín để được bác sĩ tay nghề giỏi thăm khám và điều trị đúng kỹ thuật.
4 Lưu ý bọc răng sứ
Giá bọc răng sứ không hề rẻ nên để kéo dài thời gian sử dụng của răng sứ thì bạn cần lưu ý những thông tin dưới đây:
- Để bọc răng sứ thì bác sĩ sẽ mài răng nhỏ lại bằng một tiêu chuẩn nhất định, rồi mới gắn mão răng sứ lên răng. Bọc răng sứ làm răng thật yếu đi một phần, do đó trong 2 tháng đầu bạn nên ăn những thực phẩm mềm, lỏng như cháo, canh hàm hay các loại súp…giúp răng không bị chịu quá nhiều áp lực để nhai.
- Bản chất của răng sứ là răng giá, vì vậy bạn nên hạn chế sử dụng nước đá hoặc những đồ quá cứng. Hạn chế thức ăn quá lạnh hoặc quá nóng vì có thể làm tổn thương cho răng sứ và răng thật.

- Tăng cường bổ sung các loại vitamin, khoáng chất, rau xanh,..và hạn chế những loại thực phẩm có màu sắc nổi trội như: trà, cà phê, sốt cà chua, bột nghệ,…
- Chăm sóc răng miệng đúng cách theo chỉ định của bác sĩ chuyên khoa, kết hợp sử dụng chỉ nha khoa và nước súc miệng để loại bỏ hoàn toàn các mảng bám thức ăn sót lại trong khoang miệng, ngăn ngừa vi khuẩn tích tụ gây sâu răng và các bệnh lý răng miệng khác phát triển.
5 Bảng giá bọc răng sứ 2022 tại Nha Khoa Hanseoul
Với đội ngũ bác sĩ giàu kinh nghiệm, cơ sở vật chất hiện đại, công nghệ sử dụng tiên tiến, vật liệu sử dụng có nguồn gốc xuất xứ rõ ràng,..Nha Khoa Hanseoul được đánh giá là địa chỉ nha khoa uy tín, tốt nhất tại quận Hà Đông, thành phố Hà Nội.
Dưới đây là bảng giá bọc răng sứ tại Hanseoul:
Trên đây là những thông tin hữu ích về xoay quanh về chủ đề “bọc răng sứ giá bao nhiêu”, mọi thông tin thắc mắc cần giải đáp, vui lòng liên hệ qua số điện thoại 0939 090 581 hoặc đến trực tiếp địa chỉ Nha Khoa Hanseoul để được tư vấn và giải đáp nhé!





