Cao răng là vấn đề rất phổ biến hình thành ở chân răng hoặc bám vào lợi. Cao răng bị đen sau quá trình cao răng tích tụ lâu ngày không được loại bỏ tạo điều kiện cho nhiều loại vi khuẩn phát triển. Hôm nay các bạn cùng nha khoa Hanseoul tìm hiểu về cao răng bị đen và cách xử lý an toàn nhất nhé!
1 Tại sao cao răng chuyển màu đen?
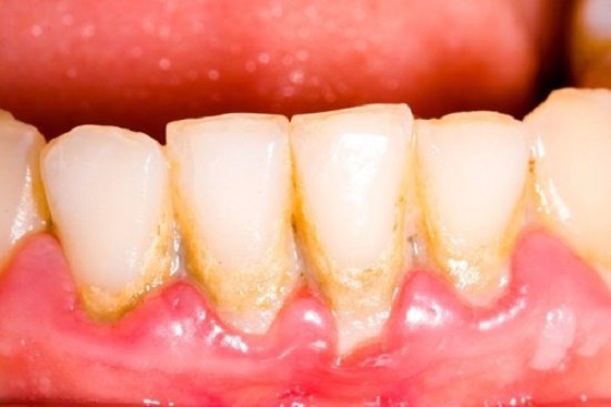
Cao răng là lớp mảng bám cứng bám xuất hiện do lớp vụn thức ăn tích tụ lâu ngày bị vôi hóa hình thành. Lớp cao răng này khi mới xuất hiện có màu trắng đục nhưng sau quá trình phát triển dài của vi khuẩn hoặc chịu tác động của các yếu tố như cafe, thuốc lá khiến cao răng dần chuyển màu đậm và thành màu đen.
Cao răng bị đen rất khó để làm sạch bằng các phương pháp thông thường như đánh răng, dùng chỉ nha khoa. Một nguyên nhân nữa hình thành cao răng đen là do chảy máu lợi khiến máu ngấm vào cao răng.
2 Cao răng bị đen nguy hiểm như thế nào?
Cao răng bị đen thường ở cấp độ 3 của cao răng – cấp độ nặng nhất, ở cấp độ này độ dày của cao răng đã lớn và có nguy cơ gây một số bệnh nguy hiểm.
2.1 Răng có màu đen, hơi thở có mùi khó chịu
Hình ảnh răng bị đen chắc chắn sẽ khiến nụ cười của bạn thiếu tự nhiên. Cùng với các loại vi khuẩn tạo mùi có thể tồn tại và phát triển quanh cao răng khiến hơi thở của bạn có mùi hôi khó chịu. Lâu dài có thể ảnh hưởng tâm lý, mất tự tin khi giao tiếp.
2.2 Viêm lợi, viêm nha chu
Cao răng là một trong những nguyên nhân gây chảy máu chân răng, viêm lợi. Ngoài ra cao răng lúc này là môi trường thuận lợi cho vi khuẩn phát triển và khó để làm sạch khiến viêm lợi ngày một nghiêm trọng.
2.3 Tụt lợi
Sau thời gian dài bị viêm nhiễm và ảnh hưởng, lợi (nướu) có thể bị suy yếu và mất dần liên kết với răng gây tình trạng tụt lợi. Điều này khiến chân răng bị hở gây mất thẩm mỹ cũng như khiến răng dễ bị tổn thương hơn.
2.4 Mất răng, tiêu xương
Sau khi quá trình viêm lợi lâu dài, vi khuẩn có thể tấn công phần chân răng và cả xương hàm. Điều này rất nguy hiểm bởi có thể gây mấy răng và biến dạng khuôn mặt.
Hi vọng qua bài viết này các bạn có cái nhìn rõ hơn về trường hợp cao răng bị đen. Chăm sóc sức khỏe răng miệng là quá trình lâu dài và liên tục, bạn nên chú ý kiểm tra tại các cơ sở nha khoa uy tín để đảm bảo sức khỏe gia đình nhé.
3 Dịch vụ toàn diện tại Nha Khoa Hanseoul
Là đối tác chiến lược của các thương hiệu vật tư y tế nổi tiếng thế giới như 3M của Mỹ, Osstem của Hàn Quốc, nha khoa Hanseoul luôn mong muốn đem đến dịch vụ nha khoa chuẩn quốc tế với mức giá hợp lý cho người Việt.
Nha khoa Hanseoul với hơn 15 năm kinh nghiệm nha khoa, quy tụ các bác sĩ hàng đầu và công nghệ, vật tư tiên tiến sẵn sàng tư vấn và điều trị mọi vấn đề nha khoa cho bạn và gia đình.
Liên hệ với Hanseoul để đặt lịch thăm khám, chụp X-quang hoàn toàn miễn phí và hưởng những ưu đãi tốt nhất!





