Nhổ răng khôn từ lâu đã trở thành cái tên khá quen thuộc đối với nhiều người. Bởi người trường thành ai cũng sẽ mọc răng khôn, tuy không mọc cùng thời điểm, cùng cách mọc nhưng phần lớn những chiếc răng khôn lại không phát triển “khôn” như tên gọi của nó. Răng khôn thường hay mọc lệch, mọc nghiêng, mọc chồng lên răng số 7 hoặc răng mọc ngầm, đam ngang nhằm phá hủy chân răng số 7,…Những trường hợp như vậy, nhổ răng khôn chính là giải pháp điều trị dứt điểm, đem lại sức khỏe răng miệng tốt nhất cho bạn.
Bài viết dưới đây sẽ cung cấp cho bạn những thông tin hữu ích về răng khôn cũng như gợi ý cho bạn địa chỉ nhổ răng khôn uy tín ở quận Hoàng Mai, Hà Nội.
1 Răng khôn là gì? Mọc ở đâu?
Răng khôn còn được gọi bởi nhiều cái tên khác nhau như răng số 8, răng cấm hay răng cối thứ 3. Răng khôn mọc ở vị trí trong cùng của mỗi bên hàm, khi xương hàm đã phát triển hoàn chỉnh và đã mọc đầy đủ hết các răng khác.

Răng khôn thường bắt đầu mọc trong độ tuổi từ 18 đến 25. Thời gian mọc răng có thể kéo dài vài tháng tới vài năm mới hoàn thành. Khi răng khôn bắt đầu mọc sẽ có những biểu hiện như: đau nhức răng, sưng má, phù nề nướu,..gây khó khăn trong quá trình ăn nhai và giao tiếp.
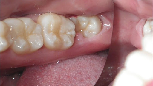
2 Răng khôn mọc lệch về phía trước và mọc ngầm
Không giống như những chiếc răng khác trên hàm răng, răng khôn thường chỉ mọc khi chúng ta đã trưởng thành, khôn lớn, xương hàm đã phát triển hoàn thiện. Cấu trúc xương lúc này đã cứng và chắc nên khi một chiếc răng mọc lên sẽ gây ra tình trạng đau nhức kéo dài, sưng má, thậm chí là sốt cao gây ra nhiều biến cố nguy hiểm. Đáng nhắc tới là tình trạng răng mọc ngầm và răng mọc lệch, chồng lên răng khác.
Dấu hiệu nhận biết răng khôn mọc lệch, răng khôn mọc ngầm là:
- Răng mọc lệch về phía trước: đây là trường hợp thường gặp nhất của răng khôn mọc lệch. Phương mọc của răng khôn nghiêng về răng số 7 góc 45 độ. Hầu hết trường hợp răng khôn mọc lệch hàm trên đều có thể nhổ được, ngược lại với răng khôn hàm dưới thường khó nhổ hơn.

- Răng khôn mọc ngầm: đây là trường hợp ít gặp nhưng cũng nhiều người bị. Phương mọc của răng khôn nghiêng về răng số 7 góc 90 độ, răng không lộ bên ngoài lợi vì thế không thể quan sát bằng mắt thường, bệnh nhân phải kiểm tra răng bằng cách chụp X-quang mới biết được. So với răng khôn mọc lệch, răng khôn mọc ngầm gây nhiều đau đớn hơn và bắt buộc phải loại bỏ. Răng này còn hay gọi là răng cối thứ ba hoặc răng khôn bị lợi trùm.

Với sự phát triển của y học hiện đại thì việc nhổ răng khôn hiện nay khá dễ dàng và an toàn. Tuy nhiên, bệnh nhân cần lựa chọn một nơi uy tín, bác sỹ chuyên môn giỏi nhiều kinh nghiệm cũng như hệ thống cơ sở vật chất đạt chuẩn để quá trình nhổ răng được diễn ra thuận lợi, hiệu quả.
3 Địa chỉ nhổ răng khôn uy tín, an toàn ở Hoàng Mai
Nhổ răng khôn tuy là một tiểu phẫu nhỏ nhưng cũng cần chọn một nơi đáng tin cậy để thực hiện. Hàm răng của chúng ta có mối liên hệ mật thiết với hệ thần kinh, đặc biệt là răng số 8, do đó, quá trình nhổ răng khôn cần thực hiện phải thật đúng kỹ thuật, bác sĩ phải có chuyên môn cao, hệ thống cơ sở y tế phải đảm bảo vô trùng, đầy đủ thiết bị để xử lý những phản ứng liên quan khi thực hiện nhổ răng khôn.
Bài viết này giới thiệu cho bạn Nha Khoa Hanseoul – địa chỉ nhổ răng khôn uy tín ở Hoàng Mai, Hà Nội. Nha Khoa Hanseoul được đánh giá cao trong lĩnh vực chăm sóc sức khỏe răng miệng và được nhiều người tin tưởng khi làm răng tại đây, với những ưu điểm sau:
- Đội ngũ các Bác sĩ, điều dưỡng tay nghề cao, có kinh nghiệm lâu năm trong nghề. Hầu hết các bác sĩ đề tốt nghiệp đại học Y Hà Nội, từng làm ở bệnh viện Bạch Mai, bệnh viện Răng Hàm Mặt TW,..Nổi bật, Thạc sỹ – Bác Sỹ Trần Việt Hà đã tu nghiệp ở Seoul Hàn Quốc.
- Trang thiết bị hiện đại, không gian phòng khám rộng lớn, không khí thoải mái cho mỗi khách hàng khi chăm sóc sức khỏe cho răng miệng tại đây.
- Quy trình thăm khám tổng quát đạt chuẩn quốc tế, điều kiện vô trùng trong quá trình nhổ răng khôn đạt chuẩn bộ y tế.
- Máy móc, vật liệu được nha khoa sử dụng đề được nhập khẩu từ thương hiệu OSstem Hàn Quốc, Thụy Sỹ, Đức, Mỹ.
- 99.99% khách hàng phản hồi hài lòng khi nhổ răng khôn tại đây.
4 Bảng giá nhổ răng khôn tại Nha Khoa Hanseoul
Chi phí nhổ răng khôn phụ thuộc vào nhiều yếu tố, nổi bật là từ phương pháp nhổ răng và độ khó của theo cấp độ của ca nhổ. Bạn có thể tham khảo bảng giá nhổ răng khôn tại Nha Khoa Hanseoul dưới đây:

5 Những lưu ý cần thực hiện khi nhổ răng khôn
Sau khi nhổ răng khôn, bạn cần có những lưu ý trong quá trình vệ sinh, chăm sóc sức khỏe răng miệng cũng như có chế độ ăn uống hợp lý (nên ăn gì, không nên ăn gì) để đảm bảo quá trình hồi phục vết thương sau nhổ một cách tốt nhất, bạn nên:
- Sau khi nhổ răng bạn nên hạn chế nói chuyện cũng như hạn chế hoạt động cơ hàm, tránh trường hợp phải tác dụng lực mạnh làm ảnh hưởng tới vết nhổ, làm vỡ cục máu đông, gây chảy máu.
- Tuyệt đối không chạm ngón tay vào vết thương, không đẩy lưỡi vào vết nhổ, không dùng tăm để lấy vụn thức ăn. Bạn nên súc miệng nhẹ để vụn thức ăn rơi ra ngoài theo dòng nước.
- Hạn chế ho mạnh, hắt hơi hay xì mũi vì hành động này sử dụng nhiều cơ hàm ảnh hưởng tới vết thương vùng răng mới nhổ, sẽ khiến bạn đau nhức, lâu lành thương.
- Bạn có thể chườm lạnh rồi chườm nóng theo chỉ định của bác sĩ để giảm sưng và giảm đau nhức.
- Súc miệng nhẹ nhàng bằng nước muối sau mỗi bữa ăn và trước khi đi ngủ. Bạn có thể đánh răng sau 24h sau khi nhổ và cần tránh chải răng vào vị trí vết thương.
- Chế độ ăn uống và nghỉ ngơi phù hợp: Tránh những đồ ăn quá nóng hoặc quá lạnh, ăn uống nhiều loại hoa quả có kháng sinh tự nhiên như táo, nho …Ngủ sớm dậy sớm và hạn chế hoạt động mạnh trong 1 tuần đầu.
- Nếu thấy vết thương có bất kỳ điều gì bất thường, hãy liên hệ ngay với bác sĩ để kiểm tra lại và điều trị kịp thời.
Trên đây là những thông tin hữu ích xoay quanh về chủ đề nhổ răng khôn, gợi ý địa chỉ nhổ răng khôn uy tín tại quận Hoàng Mai, Hà Nội. Hãy liên hệ ngay với Nha Khoa Hanseoul qua số điện thoại 0939 090 581 để được thăm khám và tư vấn nhổ răng khôn tốt nhất nhé!





