ĐẶT LỊCH TƯ VẤN
Hãy để lại thông tin, Nha khoa Hanseoul sẽ tư vấn nhanh chóng phương pháp niềng phù hợp nhất với bạn

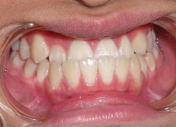
Răng hô chìa

Răng móm

Răng thưa

Khớp cắn chéo

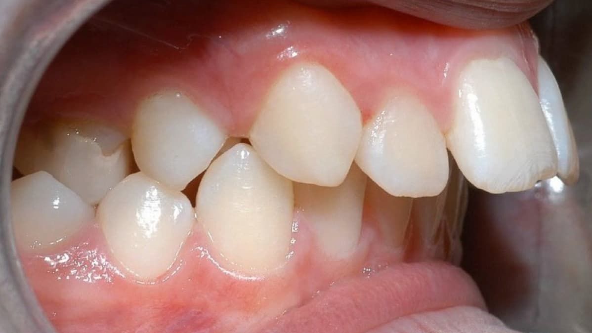
Răng chen chúc, khấp khểnh

Tốt nghiệp Bác sĩ chuyên khoa Răng Hàm Mặt, Đại học Y Hà Nội (2003 – 2009)
Bảo vệ luận văn Thạc sĩ, Bác sĩ nội trú Bệnh viện (2010 – 2013)
Tốt nghiệp DIU chuyên ngành Chính nha & Phục hình thẩm mỹ, Đại học Bordeaux 2 – Cộng hòa Pháp (2012)
Bác sĩ nội trú Răng Hàm Mặt tại Bệnh viện Bạch Mai
Trưởng khoa Chỉnh nha tại Hệ thống Nha khoa Quốc tế HanSeoul
Hoàn thành trên 5000 ca chỉnh nha lâm sàng
Chứng chỉ hành nghề khám, chữa bệnh chuyên ngành Răng Hàm Mặt do Bộ Y tế cấp
Chuyên gia chỉnh nha với hơn 15 năm kinh nghiệm, chuyên điều trị các ca sai khớp cắn, răng hô – móm – khấp khểnh phức tạp
Được bệnh nhân tin tưởng nhờ sự tận tâm, trách nhiệm và kết quả điều trị thẩm mỹ, chuẩn khớp cắn

Máy Scan Trios 3Shape: Thiết bị lấy dấu kỹ thuật số hàng đầu Đan Mạch, cho hình ảnh 3D chính xác

CT Conebeam 3D: Cho phép bác sĩ quan sát chi tiết cấu trúc xương hàm, cung răng... 3 chiều, để lập kế hoạch niềng chính xác
_09h32.jpg)

NHA KHOA HANSEOUL sẽ liên hệ bạn trong vòng 10 phút
Thời gian làm việc (trừ ngày lễ/tết)
Thứ 2 - 7: 8h00 - 19h00
Chủ nhật: 8h00 - 17h30
Liên hệ hotline: 0904.768.577 để được tư vấn miễn phí