Cao răng là một trong những vấn đề mà bất kỳ ai cũng gặp phải. Mặc dù cao răng không ảnh hưởng gì đến sức khỏe răng miệng nhưng nếu để lâu không làm sạch, nó sẽ tạo điều kiện thuận lợi để vi khuẩn phát triển. Vì vậy, cần phải lấy cao răng định kỳ để ngăn ngừa các bệnh lý răng miệng nguy hiểm. Cùng tìm hiểu chi tiết hơn về giá lấy cao răng và thời gian lấy cao răng định kỳ.

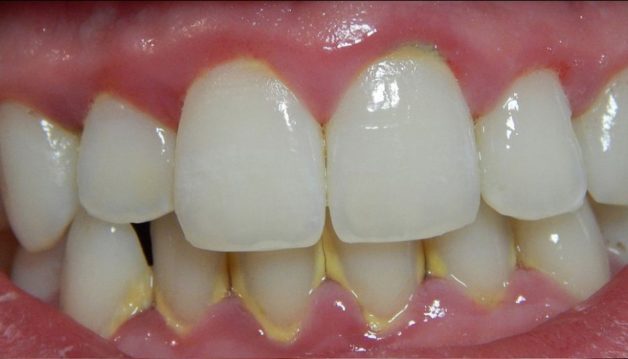
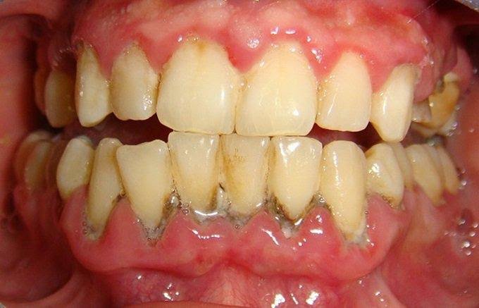
Hình ảnh cao răng bám đầy răng bệnh nhân
1 Tại sao phải lấy cao răng định kỳ?
Theo khuyến cáo của các bác sĩ chuyên khoa, để đảm bảo sức khỏe răng miệng, việc lấy cao răng nên được thực hiện định kỳ 1 -2 lần/năm. Điều này sẽ đem đến nhiều lợi ích cho sức khỏe như:
- Hạn chế nguy cơ mắc các bệnh lý răng miệng: cao răng là nơi trú ngụ của rất nhiều vi khuẩn có hại – chúng chính là nguyên nhân hàng đầu gây ra các bệnh lý như sâu răng, tụt lợi, viêm nha chu, mòn men răng,…
- Răng trắng sáng hơn: một trong những nguyên nhân khiến răng bị xỉn màu chính là các mảng bám cao răng. Việc loại bỏ cao răng sẽ mang lại một hàm răng sáng bóng và tăng tính thẩm mỹ cho cả khuôn mặt.

- Bảo vệ răng và xương hàm khỏe mạnh: vi khuẩn tích tụ trong cao răng theo thời gian sẽ xâm nhập vào sâu bên trong gây hư hỏng nướu và các tổ chức răng từ đó dẫn đến tiêu xương hàm và khiến răng bị lung lay, nguy hiểm hơn sẽ gây ra tình trạng mất răng hàng loạt.
- Loại bỏ hơi thở có mùi hôi hiệu quả: cao răng tích tụ quá dày sẽ khiến quá trình vệ sinh răng miệng trở nên khó khăn hơn. Vi khuẩn tích tụ nhiều sẽ gây ra mùi hôi khó chịu ở khoang miệng. Vì thế, để giữ được hơi thở luôn thơm tho, hãy loại bỏ các mảng bám cao răng.
- Phòng ngừa các bệnh liên quan: có thể bạn chưa biết nhưng vi khuẩn trong cao răng có thể là nguyên nhân gây nên các bệnh về tim mạch, viêm amidan, viêm họng,…
2 Lấy cao răng có đau không?
Lấy cao răng chỉ là những tác động bên ngoài giúp loại bỏ toàn bộ lớp cao răng và không để lại bất cứ ảnh hưởng nghiêm trọng nào đến sức khỏe. Đối với những ai thuộc tuýp răng nhạy cảm, trong quá trình cạo sẽ cảm thấy hơi ê buốt nhẹ nhưng tình trạng này sẽ tự biến mất sau khoảng 12 – 36 tiếng.
Một số trường hợp khác thì thấy chân răng chảy máu trong lúc lấy cao răng. Tuy nhiên, bạn không cần phải lo lắng vì đây chỉ là một biểu hiện bình thường do lớp căng quá dày và bám sâu vào chân răng nên khi lấy cao răng sẽ tác động nhẹ tới phần nướu.
Sau khi lấy cao răng, bạn nên lưu ý một số điều sau để hạn chế ảnh hưởng đến phần chân răng vừa mới vệ sinh, cụ thể:
- Không nên sử dụng các loại thực phẩm, đồ uống quá lạnh hoặc quá nóng.

- Tuyệt đối không được hút thuốc lá hoặc sử dụng các loại đồ uống có màu đậm như cà phê, trà, nước sinh tố,…
- Tuân thủ theo đúng chỉ dẫn của bác sĩ nếu sức khỏe răng miệng của bạn không được tốt.
3 Giá lấy cao răng là bao nhiêu?
Hiện nay, đa số các phòng khám nha khoa hoặc bệnh viện đều có dịch vụ lấy cao răng. Tuy nhiên, trước khi đưa ra quyết định, bạn nên tìm hiểu kỹ càng về địa chỉ và đảm bảo đó là cơ sở uy tín để thực hiện. Chi phí lấy cao răng thường không cố định mà phụ thuộc vào các yếu tố khác nhau như:
- Độ dày của cao răng: bác sĩ sẽ xác định mức chi phí lấy cao răng dựa trên số lượng cao răng nhiều hay ít ở mỗi bệnh nhân. Theo đó, những người có vôi răng ít và không mắc các bệnh lý răng miệng sẽ có chi phí lấy cao răng thấp hơn. Ngược lại, những người có cao răng hình thành nhiều với những mảng bám dày, cứng sẽ có giá thành cao hơn. Ngoài ra, nếu cao răng gây ra các bệnh lý răng miệng như sâu răng, viêm nha chu, viêm nướu,… thì bệnh nhân cũng phải tiến hành điều trị những bệnh lý này nên chi phí cũng sẽ cao hơn.

- Cơ sở nha khoa lấy cao răng: mỗi nha khoa sẽ có mức giá lấy cao răng khác nhau. Những địa chỉ uy tín, có đầu tư trang thiết bị và máy móc hiện đại, đội ngũ bác sĩ tay nghề giỏi sẽ có chi phí lấy cao răng các cơ sở có công nghệ lạc hậu.
4 Quy trình lấy cao răng tại Nha khoa Hanseoul
Tại Nha khoa Hanseoul, quy trình lấy cao răng được các bác sĩ chuyên khoa thực hiện theo đúng các bước như sau:
- Bước 1: Khách hàng sẽ được thăm khám, kiểm tra tổng quát sức khỏe răng miệng miễn phí. Trường hợp phát hiện các bệnh lý, bác sĩ sẽ tư vấn phương pháp điều trị cụ thể.
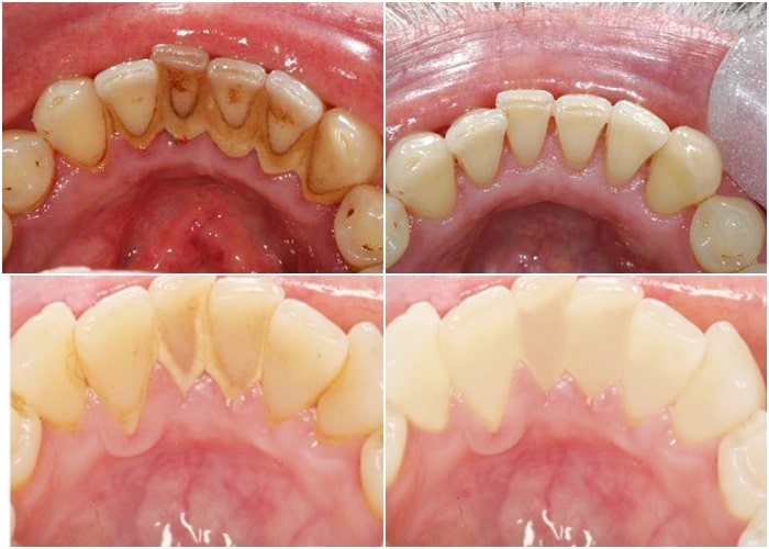
- Bước 2: Bác sĩ sẽ tiến hành lấy sạch sẽ toàn bộ các mảng bám cao răng trên bề mặt răng, quanh quanh cổ răng và cả bên dưới nướu. Thời gian lấy cao răng thường dao động từ 15 – 20 phút tùy vào tình trạng cụ thể của mỗi người.
- Bước 3: Sau khi hoàn tất công đoạn lấy cao răng, bác sĩ sẽ bắt đầu đánh bóng bề mặt răng bằng các dụng cụ chuyên dụng nhằm giúp răng của bạn sáng bóng và hạn chế sự tích tụ của các mảng bám sau này.
- Bước 4: Bác sĩ sẽ kiểm tra lại một lần nữa xem cao răng đã được loại bỏ hoàn toàn hay chưa. Bước kiểm tra này sẽ là bước cuối cùng của quy trình lấy cao răng.
5 Lấy cao răng không đau tại Nha khoa Hanseoul
Nha khoa Hanseoul hiện nay được biết đến là một trong những địa chỉ nha khoa uy tín hàng đầu Việt Nam với các dịch vụ đều được áp dụng công nghệ hiện đại và có mức giá hợp lý. Khách hàng khi đến lấy cao răng tại Hanseoul sẽ được thực hiện bằng máy Piezotome cam kết không đau nhức, không chảy máu và khắc phục được mọi nhược điểm của các phương pháp cũ. Với công nghệ này, các mảng bám cao răng sẽ được loại bỏ sạch sẽ và nhanh chóng, hạn chế tối đa tình trạng vụn thức ăn bám vào nướu răng và hiệu quả lâu dài.
Không chỉ áp dụng công nghệ mới cho dịch vụ lấy cao răng, khách hàng khi đến nha khoa sẽ được trải nghiệm dịch vụ chất lượng quốc tế với:
- Hệ thống phòng nha khang trang, rộng rãi và thoáng đãng, mang lại cảm giác thoải mái nhất cho khách hàng khi đến điều trị.
- Lấy cao răng được thực hiện theo đúng quy trình, luôn đảm bảo yếu tố vô trùng để tránh tình trạng lây nhiễm chéo trong quá trình thực hiện.

- Đội ngũ bác sĩ tay nghề giỏi, có kinh nghiệm chuyên môn nhiều năm và có thời gian tu nghiệp tại nước ngoài sẽ trực tiếp thăm khám và tư vấn dịch vụ lấy cao răng, đảm bảo hiệu quả cao, an toàn và thời gian thực hiện nhanh chóng.
Với những thông tin trên, chắc hẳn các bạn đã hiểu rõ hơn về giá lấy cao răng và quy trình lấy cao răng được thực hiện như thế nào. Mọi người nên chủ động đi lấy cao răng và kiểm tra răng miệng định kỳ để đảm bảo sức khỏe răng miệng tốt. Liên hệ với Nha khoa Hanseoul theo số điện thoại 0939 090 581 để được tư vấn chi tiết hơn về dịch vụ lấy cao răng.





