Không chỉ là cải thiện răng, đó còn là hành trình tìm lại sự tự tin, rạng rỡ và niềm vui khi được thoải mái mỉm cười mỗi ngày.
0.1 Tình trạng trước khi làm răng sứ
Sau khi thăm khám tổng quát, bác sĩ ghi nhận tình trạng răng của khách hàng Hồ Thị Tâm như sau:
-
Răng xỉn màu, ngả vàng nặng, xuất hiện mảng bám cũ ở viền nướu.
-
Một số răng mòn cổ, rìa răng không đều, hình thể kém cân xứng.
-
Viền nướu sưng nhẹ, không đồng màu, ảnh hưởng đến tổng thể nụ cười.
Khi cười, phần răng lộ rõ các khuyết điểm, khiến khuôn mặt trông thiếu sáng và thiếu tự tin.

0.2 Giải pháp được thiết kế riêng – Bọc sứ thẩm mỹ chuẩn cá nhân hoá
Sau khi thăm khám và phân tích tổng thể khuôn mặt, bác sĩ Hanseoul đã tư vấn cho chị Tâm lựa chọn phục hình răng sứ cao cấp, với phác đồ được cá nhân hóa theo tỉ lệ khuôn miệng và màu da.
- Mô phỏng trước hình dáng, màu sắc răng bằng phần mềm 3D.
- Đảm bảo độ khít sát, chuẩn khớp cắn, không gây cộm hay ê buốt.
- Răng sứ có độ trong tự nhiên, phản sáng giống răng thật.
- Giữ được độ bền và màu trắng sáng lâu dài theo thời gian.

Bác sĩ đồng thời cân chỉnh lại tỉ lệ cười để hài hòa với khuôn mặt, giúp gương mặt chị Tâm trở nên tươi sáng và trẻ trung hơn.
0.3 Quá trình thực hiện – Nhẹ nhàng, không đau
Chỉ sau vài buổi hẹn, toàn bộ quá trình bọc sứ được hoàn thiện.
Nhờ ứng dụng công nghệ scan mẫu hàm 3D, bác sĩ chỉ cần thao tác tinh gọn, đảm bảo:
- Không mài răng quá mức, bảo tồn mô răng tối đa.
- Quy trình nhẹ nhàng – không gây đau hay ê buốt.
- Kết quả chính xác đến từng chi tiết nhỏ.
0.4

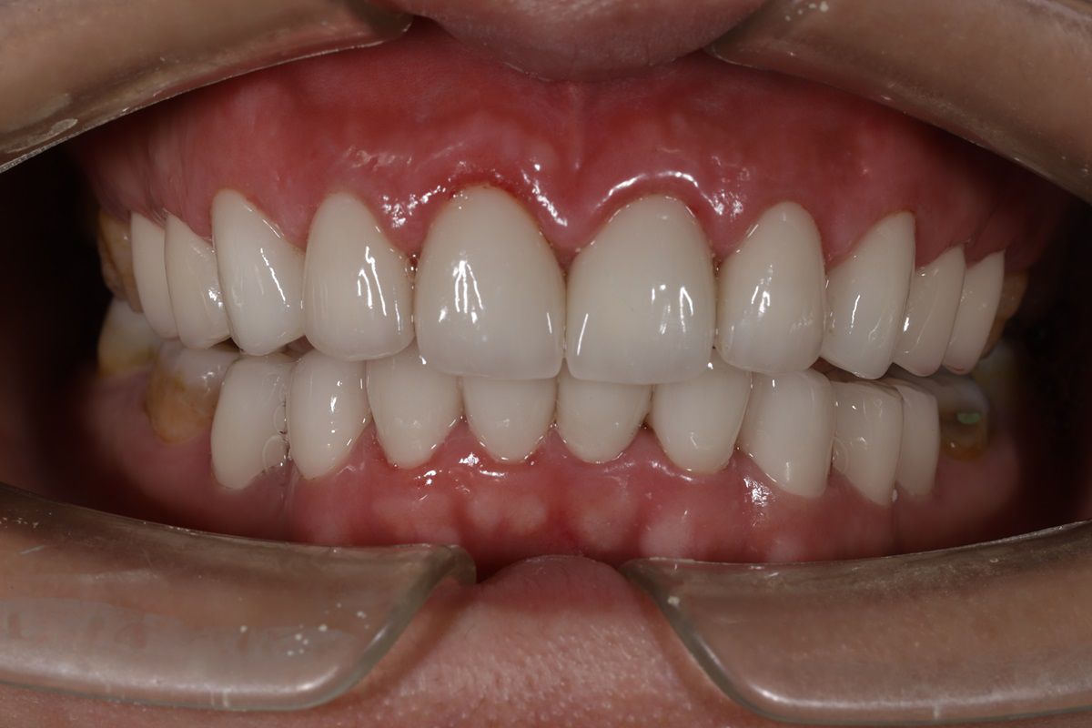
0.5 Kết quả sau khi bọc sứ
Khi nhìn lại nụ cười của mình sau hoàn thiện, chị Tâm quá bất ngờ với kết quả:
- Hàm răng đều đặn, sáng tự nhiên và rất thật.
- Khuôn mặt tươi tắn, đường nét cười mềm mại hơn.
- Cảm giác ăn nhai tự nhiên, không khác gì răng thật.
Từ người phụ nữ ngại cười vì sợ “kém duyên”, giờ chị đã tự tin nở nụ cười rạng rỡ trong mọi khoảnh khắc.
0.6 Chia sẻ từ khách hàng
“Điều khiến mình ấn tượng nhất ở Hanseoul là bác sĩ cực kỳ tinh tế. Không chỉ làm cho răng đẹp, mà còn giúp gương mặt mình hài hòa hơn. Giờ mình cười thoải mái lắm, ai gặp cũng khen trẻ ra mấy tuổi!”






