Đối với những ai có ý định khắc phục khuyết điểm với kỹ thuật bắt vít niềng răng thì không nên bỏ qua bài viết này. Đây là kỹ thuật giúp quá trình niềng răng diễn ra nhanh chóng và đạt hiệu quả tốt hơn. Cùng Nha khoa Hanseoul tìm hiểu bắt vít niềng răng là gì, những đối tượng nào cần thực hiện công cụ kỹ thuật này.
1 Thế nào là cắm vít niềng răng?
Cắm vít niềng răng hay còn được gọi là minivis – Đây là một khí cụ chỉnh nha đặc biệt đang được sử dụng phổ biến trên thị trường hiện nay nhằm giúp hỗ trợ trong quá trình niềng răng. Minivis có cấu tạo theo hình xoắn ốc, có kích thước nhỏ với đường kính là 1,4mm – 2mm, chiều dài từ 6mm – 12mm và được làm bằng chất liệu titanium đảm bảo an toàn với sức khỏe, có độ tương thích cao và không gây kích ứng hay làm ảnh hưởng đến niêm mạc và các răng liền kề.

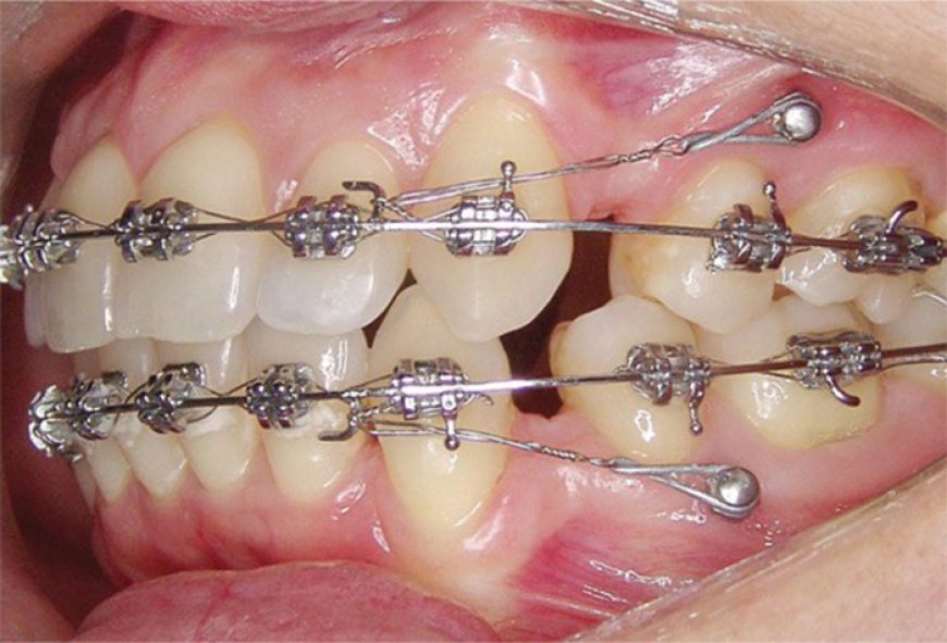
Bắt vít niềng răng cho bệnh nhân
Tuy nhiên, không phải bất kỳ ca chỉnh nha nào cũng cần cắm vít niềng răng mà chỉ trong một số trường hợp đặc biệt thì bác sĩ sẽ đặt minivis vào xương hàm của người niềng với mục đích tạo điểm neo chặn cố định nhất, giúp hỗ trợ giúp các răng còn lại trên cung hàm dịch chuyển về đúng vị trí như ý muốn.
2 Công dụng của việc cắm vít niềng răng
- Cắm vít niềng răng nhằm tạo lực giúp các răng không bị xô lệch về phía trước hoặc phía sau, cải thiện tình trạng hô và sai khớp cắn sâu của người bệnh.
- Đóng vai trò là điểm neo vững chắc để kết nối với bộ khí cụ chỉnh nha. Việc này tạo điều kiện thuận lợi cho bác sĩ di chuyển các răng còn lại về đúng vị trí trên cung hàm và điều chỉnh khớp cắn chuẩn hơn.
- Giúp ngắn thời gian niềng răng từ 3 đến 9 tháng. Ví dụ, nếu bình thường phải mất khoảng 18 đến 36 tháng để hoàn thành thì nếu có sự hỗ trợ của minivis thì bạn có thể rút ngắn xuống chỉ còn từ 12 – 24 tháng.

- Việc cắm vít niềng răng tạo điều kiện thuận lợi để bác sĩ kiểm soát cũng như tạo lực kéo ổn định lên những răng bị mọc lệch.
- Hạn chế tối đa các biến chứng xấu có thể xảy ra sau khi điều trị cười hở lợi cho người bệnh.
- Kéo khít khoảng trống của răng số 4 bị nhổ để tạo khoảng trống cho răng di chuyển về đúng vị trí, từ đó, tăng khả năng bồi lấp khoảng trống trên cung hàm trong quá trình niềng răng.
3 Các trường hợp nào cần cắm vít niềng răng?
Như đã chia sẻ ở trên chỉ có một số trường hợp đặc biệt được các bác sĩ chỉ định cắm vít:
- Trường hợp xương hàm quá cứng: Với những ai gặp tình trạng này sẽ bị khó khăn trong việc di chuyển răng trong quá trình niềng, khó sắp xếp để răng có thể đều và đẹp, mất thời gian để hoàn thành hơn. Ngoài ra, các chỗ trống do răng nhổ tạo cũng khó bị lấp một cách đầy hơn. Vì vậy, cắm vít niềng răng được coi là giải pháp tối ưu nhất để kéo khít các khoảng trống của răng sau khi nhổ, đồng thời đẩy nhanh thời gian bồi lấp khoảng trống của cung hàm làm tăng hiệu quả.
- Trường hợp răng bị hô, vẩu nặng: Với các trường hợp này thì việc cắm vít niềng răng sẽ giúp tạo neo cố định, tăng lực kéo mạnh và ổn định để kéo răng lùi vào bên trong một cách nhanh chóng, làm giảm độ hô của răng. Chính vì vậy, nếu chỉ sử dụng mắc cài mà không bắt vít, răng của bạn có thể sẽ cần thời gian rất lâu để di chuyển về đúng vị trí đẹp nhất.

- Trường hợp cười hở lợi, trồi răng dài, thân ngắn: Theo các bác sĩ, việc bắt vít trong trường hợp này sẽ giúp kéo răng thẳng dần, chỉnh hàm ở tỷ lệ tương đối và giúp khớp cắn trở về đúng tỷ lệ. Ngoài ra, cắm vít niềng răng còn làm lún các trồi răng, cải thiện tính thẩm mỹ cho khuôn mặt, giúp bạn tự tin hơn.
- Trường hợp bị mất răng: Trường hợp bị mất răng là một trong những trường hợp cần để cắm vít. Ví dụ như răng số 6 cần cắm vít để hỗ trợ quá trình niềng răng, chỉnh nha diễn ra suôn sẻ, thuận lợi và nhanh chóng hơn bao giờ hết.
4 Cắm vít niềng răng có đau hay không?
Cắm minivis là kỹ thuật đưa dị vật vào xương hàm nên chắc chắn khó tránh được cảm giác đau nhức. Tuy nhiên, bạn đừng quá lo lắng về điều này, bởi khi cấy vít vào xương hàm thì bác sĩ sẽ gây tê cục bộ, bạn sẽ hoàn toàn không còn cảm thấy đau dữ dội mà chỉ thấy hơi tê tê.
Tuy nhiên, bạn cần chú ý là khi thuốc dần tê tan hết thì bạn sẽ bắt đầu cảm thấy hơi đau nhức, hiện tượng này rất bình thường, bạn có thể yên tâm nhé. Và, để giảm đau, bác sĩ sẽ kê đơn thuốc phù hợp nhất dành cho bạn. Bạn chỉ cần uống thuốc đủ liều, nghe theo hướng dẫn, chỉ định của bác sĩ là cảm giác đau nhức sẽ nhanh chóng biến mất. Thông thường, sau khi bắt vít, cảm giác đau nhức sẽ chỉ kéo dài trong 1 ngày.

Mức độ đau nhức do cắm vít của từng người cũng khác nhau, tùy thuộc vào từng cơ địa của mỗi người. Trong trường hợp bệnh nhân có xương hàm mềm, xốp thì sẽ ít đau hơn. Ngược lại, nếu bệnh nhân có xương quá cứng thì bạn có thể sẽ bị đau hơn một chút hoặc sưng má, xước má,…. nhưng diễn ra nhanh chóng.
5 Quy trình cắm vít niềng răng không đau tại Nha khoa Hanseoul
Cắm vít niềng răng cần được diễn ra theo đúng quy trình và kỹ thuật để bệnh nhân không cảm thấy đau đớn cũng như loại bỏ biến chứng xấu nhất có thể. Sau đây là quy trình cắm vít niềng răng không đau tại Nha khoa Hanseoul, cụ thể:
Bước 1: Các bác sĩ chụp X-Quang khảo sát cấu trúc phần xương hàm cũng như giải thích cho bệnh nhân hiểu lý do cần cắm vít niềng răng và gây tê niêm mạc.
Bước 2: Bác sĩ tại Nha khoa Hanseoul sử dụng các dụng cụ chuyên dụng xoáy vít vào trong xương hàm, giữ vít ổn định theo kiểu neo giữ cơ học và ổn định sinh học giúp quá trình cắm vít diễn ra nhanh chóng, khá đơn giản.

Trước và sau khi niềng răng tại nha khoa Hanseoul
Thời gian cắm vít niềng răng sẽ diễn ra chỉ trong khoảng 5 đến 10 phút. Sau khi hết thuốc tê, bạn sẽ cảm thấy đau và khó chịu một chút nhưng tình trạng này chỉ diễn ra chỉ trong 1 buổi hoặc 1 ngày đầu tiên sau khi thực hiện. Trong trường hợp xương bạn cứng thì sẽ bị đau nhiều hơn.
Bạn đang lo lắng cắm vít niềng răng bị đau? Yên tâm khi bạn lựa chọn niềng răng ở Nha khoa Hanseoul, có thể sẽ hạn chế được tối đa tình trạng đau nhức,, ê buốt. Lý do chúng tôi lại khẳng định được như trên, bởi:
- Đến Nha khoa Hanseoul bạn sẽ được hỗ trợ bởi 100% bác sĩ tốt nghiệp tại các trường Đại học danh tiếng trong và ngoài nước. Tất cả các bác sĩ đã được đào tạo qua các khóa học chuyên sâu về niềng răng, chỉnh nha. Với những kỹ năng và tay nghề cao, kinh nghiệm dày dặn – Các bác sĩ tại Hanseoul sẽ thực hiện cắm vít niềng răng một cách nhẹ nhàng, hạn chế tối đa tình trạng đau nhức ở bất kỳ giai đoạn thực hiện nào.
- Khác với các cơ sở khác, tại Nha khoa Hanseoul – Chỉnh nha được phân chia thành một chuyên khoa riêng và có một đội ngũ bác sĩ chuyên sâu trong lĩnh vực này. Vì vậy, khi bạn tới làm dịch niềng răng, chỉnh nha bạn sẽ được đặt lịch với các bác sĩ riêng chuyên về niềng răng chứ không phải thông qua các bác sĩ nha khoa khám tổng quát.
- Những kĩ thuật niềng răng, chỉnh nha hàng đầu hiện nay đã được áp dụng thành công tại Nha khoa Hanseoul, điều này nhằm giúp hạn chế nhổ răng, kĩ thuật cấy minivis giúp thời gian dịch chuyển răng diễn ra nhanh chóng hơn.
- Hiểu rõ những nguy hại do việc sử dụng mắc cài không đảm bảo, không đúng quy chuẩn, hay không rõ nguồn gốc, xuất xứ gây ra. Nha khoa Hanseoul cam kết mỗi bộ mắc cài sử dụng cho khách hàng đều là hàng chính hãng, có thương hiệu trên thị trường. Bạn sẽ được tận mắt kiểm tra và check mã vạch sản phẩm trước khi thực hiện.
Cắm vít niềng răng là kỹ thuật cải tiến nhằm giúp quá trình niềng răng diễn ra thuận lợi và hiệu quả hơn. Cắm vít không hề đau như lời đồn đâu bạn nhé, hãy mạnh dạn đến nha khoa Hanseoul được thăm khám, nghe theo sự chỉ định của bác sĩ để có một kết quả tốt nhất. Chúc các bạn thực hiện niềng răng thành công!





