- 1 Niềng răng mắc cài sứ là gì?
- 2 Phân loại niềng răng mắc cài sứ
- 2.1 Niềng răng mắc cài sứ truyền thống
- 2.2 Niềng răng mắc cài sứ tự buộc
- 3 Các loại dây cung thường sử dụng trong niềng mắc cài sứ
- 3.1 Dây cung trong
- 3.2 Dây kim loại
- 4 Niềng răng mắc cài sứ có tốt không
- 4.1 Ưu điểm nổi trội của phương pháp niềng răng mắc cài sứ
- 4.2 Nhược điểm của phương pháp niềng răng mắc cài sứ
- 5 Nên lựa chọn mắc cài sứ hay mắc cài kim loại?
- 6 Quy trình niềng răng mắc cài sứ tại nha khoa Hanseoul
- 7 Niềng răng mắc cài sứ giá bao nhiêu?
- 8 Lưu ý chăm sóc răng miệng trong quá trình niềng
- 9 Nha khoa Hanseoul cung cấp dịch vụ niềng răng mắc cài sứ uy tín
Giống như niềng răng mắc cài kim loại, niềng răng mắc cài sứ có cơ chế hoạt động tương tự, điểm khác biệt là mắc cài không phải làm từ kim loại mà bằng sứ. Bài viết này sẽ giúp bạn có thêm những kiến thức, thông tin hữu ích về niềng răng mắc cài sứ
1 Niềng răng mắc cài sứ là gì?
Niềng răng mắc cài sứ là kỹ thuật chỉnh nha sử dụng các mắc cài bằng chất liệu sứ cao cấp. Mắc cài sẽ kết hợp với dây cung, thun và các khí cụ chỉnh nha bổ trợ khác để kéo/siết răng, tạo lực ổn định chỉnh răng về đúng vị trí trên cung hàm.
Khi sử dụng phương pháp niềng răng mắc cài sứ, bạn có thể đỡ cảm thấy bất tiện hơn khi giao tiếp vì mắc cài sứ có màu sắc tương tự răng thật, không bị quá lộ khi quan sát như mắc cài kim loại.
Nhờ đặc điểm nổi bật này mà niềng răng bằng mắc cài sứ được rất nhiều khách hàng lựa chọn sử dụng hiện nay.

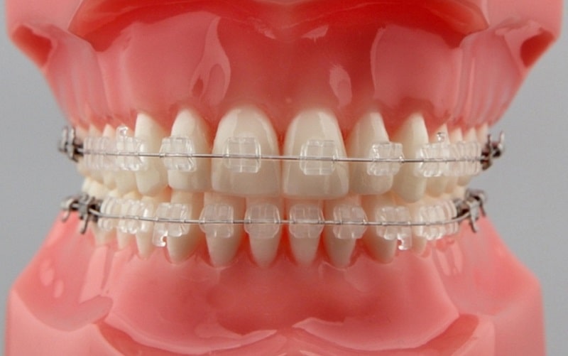
Hình ảnh niềng răng mắc cài sứ dây trong suốt
Nhờ đặc điểm nổi bật này mà niềng răng bằng mắc cài sứ được rất nhiều khách hàng lựa chọn sử dụng hiện nay
2 Phân loại niềng răng mắc cài sứ
2.1 Niềng răng mắc cài sứ truyền thống
Với phương pháp này, bác sĩ sẽ sử dụng hệ thống mắc cài và dây cung truyền thống để tạo lực đẩy các răng về đúng vị trí.
Mắc cài được làm từ sứ nguyên chất cao cấp được cố định trên răng và sử dụng thun nha khoa để buộc dây cung vào các rãnh mắc cài.

Hình ảnh niềng răng mắc cài sứ dây trong suốt
2.2 Niềng răng mắc cài sứ tự buộc
Đối với phương pháp niềng răng mắc cài sứ tự buộc, bác sĩ sẽ không cần dùng đến dây chun mà vẫn có thể tạo lực siết cho răng.
Về mặt cấu tạo, niềng răng mắc cài sứ tự buộc có cấu tạo gần giống với niềng răng mắc cài sứ thông thường, chỉ khác biệt ở chỗ mắc cài có chốt tự đóng hoặc dây cung có thể trượt tự động trong rãnh mắc cài mà không cần điều chỉnh.

Hình ảnh niềng răng mắc cài sứ tự buộc
Với phương pháp này, người dùng sẽ không cần lo lắng bị bung tuột dây cung và không cần thay dây thun
3 Các loại dây cung thường sử dụng trong niềng mắc cài sứ
Niềng răng trong nha khoa sử dụng rất nhiều loại dây cung khác nhau, tuy nhiên với niềng răng mắc cài sứ thì thường sử dụng nhất 2 loại sau đây:
3.1 Dây cung trong
Dây cung trong được tạo nên từ thép không gỉ nhưng bên ngoài sẽ được phủ thêm lớp sứ để tăng tính thẩm mỹ cho người sử dụng. Điều này giúp khách hàng cảm thấy thoải mái hơn khi giao tiếp.
Tuy nhiên, có một nhược điểm của loại dây cũng này đó là độ bền tương đối thấp, dễ vỡ. Khi hàm chịu áp lực ăn nhai lớn, dây cung sẽ dễ bị hư hỏng khi không may ăn phải đồ cứng.

Sử dụng dây cung trong suốt giúp người đối diện không nhận ra hệ thống niềng răng
Hiện nay, với công nghệ ngày càng phát triển thì trên thị trường đã xuất hiện thêm nhiều loại dây cung trong suốt có khả năng chịu lực tốt hơn
3.2 Dây kim loại
Dây kim loại được làm từ vật liệu là kim loại và được sử dụng phổ biến nhất hiện nay. Với ưu điểm chịu được lực lớn, dây kim loại vẫn là sự lựa chọn tối ưu cho người sử dụng nếu không muốn phải thay dây cung thường xuyên. Nhược điểm của nó là dễ dàng nhận thấy khi quan sát lúc cười hoặc giao tiếp, gây không thoải mái cho người sử dụng.
Để khắc phục nhược điều này, trên thị trường đã có loại dây cung kim loại màu trắng hoặc bạc để khách hàng có thêm sự lựa chọn
4 Niềng răng mắc cài sứ có tốt không
4.1 Ưu điểm nổi trội của phương pháp niềng răng mắc cài sứ
Niềng răng mắc cài sứ có mức độ phổ biến thấp hơn niềng răng mắc cài kim loại nên nhiều khách hàng vẫn còn băn khoăn liệu phương pháp này có thật sự tốt không. Tuy nhiên, khách hàng có thể hoàn toàn yên tâm vì bên cạnh tính thẩm mỹ và hiệu quả chỉnh nha, niềng răng mắc cài sứ còn có nhiều ưu điểm nổi bật khác:
- An toàn, không gây kích ứng: mắc cài sứ tại Nha khoa Hanseoul đều được làm từ sứ cao cấp, cam kết không gây kích ứng cho nướu và môi trường khoang miệng. So với chất liệu kim loại, chất liệu sứ mềm và trơn hơn nên sẽ hạn chế tối đa tình trạng trầy, xước khi sử dụng và đảm bảo khả năng ăn nhai tốt hơn.

Hình ảnh niềng răng mắc cài sứ dây kim loại
- Hiệu quả cao: niềng răng mắc cài sứ có khả năng điều chỉnh nhiều vấn đề về răng như hô, vẩu, móm, mọc lệch,… từ cấp độ dễ đến khó, hiệu quả tương tự như phương pháp niềng răng mắc cài kim loại.
- Tính thẩm mỹ cao: mắc cài sứ thường có màu trắng hoặc trong suốt rất gần với màu răng thật nên sẽ đỡ bị lộ hơn mắc cài kim loại, phù hợp với những người thường xuyên phải giao tiếp trong công việc.
4.2 Nhược điểm của phương pháp niềng răng mắc cài sứ
- Giá cao hơn niềng mắc cài kim loại
- Có thể bị đổi màu: Mắc cài được làm bằng sứ và có màu trắng sáng nên khả năng bị nhiễm màu do thực phẩm trong quá trình ăn uống là có xảy ra.
- Dễ vỡ: Với tác động ăn nhai lớn của 2 hàm rất dễ khiến mắc cài bị vỡ trong quá trình sử dụng.
5 Nên lựa chọn mắc cài sứ hay mắc cài kim loại?
Cùng xem bảng so sánh dưới đây để dễ dàng đưa ra lựa chọn niềng răng mắc cài sứ hay niềng răng mắc cài kim loại:
| Tiêu chí so sánh | Niềng răng mắc cài sứ | Niềng răng mắc cài kim loại |
| Độ hiệu quả | Cao | Cao |
| Tính thẩm mỹ | Tốt | Kém |
| Độ bền | Trung bình | Tốt |
| Thời gian chỉnh nha | 1 – 2 năm | 1 – 3 năm |
| Chi phí | 45.000.000 – 55.000.000 VNĐ | 30.000.000 – 45.000.000 VNĐ |
| Kết luận | Nên sử dụng niềng răng sứ nếu kinh tế cho phép | |
6 Quy trình niềng răng mắc cài sứ tại nha khoa Hanseoul
Tại Nha khoa Hanseoul, khách hàng sẽ được trải nghiệm dịch vụ niềng răng mắc cài sứ với quy trình chuẩn y khoa gồm 6 bước chính:
Bước 1: Khám tổng quát và tư vấn
Bước đầu tiên để thực hiện niềng răng mắc cài sứ đó là kiểm tra tổng quát tình trạng răng miệng của bạn, chụp X-quang để dựa vào đó đưa ra lộ trình niềng răng phù hợp cho khách hàng.
Bước 2: Điều trị tổng quát và lên phác đồ điều trị cụ thể
Bạn sẽ được các bác sĩ điều trị một số vấn đề về răng miệng (nếu có) như: sâu răng, lấy cao răng, viêm nha chu,… để không làm ảnh hưởng đến kết quả niềng răng. Sau đó, bác sĩ sẽ tiến hành phân tích tình trạng răng và vạch ra một phác đồ điều trị cụ thể. Khách hàng sẽ được tư vấn cụ thể về thời gian niềng, các giai đoạn niềng và hiệu quả dự kiến sau khi niềng.
Bước 3: Gắn khí cụ, lấy mẫu dấu răng chế tác mắc cài
Dựa trên các phân tích về tình trạng răng, các bác sĩ sẽ tiến hành gắn các loại khí cụ niềng răng để lấy mẫu răng, tách kẽ, gắn khâu,… rồi tạo ra một bản sao của hàm răng phục vụ cho việc thiết kế mắc cài và đối chiếu kết quả trước và sau khi niềng.
Bước 4: Gắn mắc cài, dây cung
Trước khi gắn mắc cài, dây cung, bạn sẽ được vệ sinh khoang miệng sau đó gắn cố định mắc cài sứ lên răng bằng keo dán nha khoa. Việc gắn mắc cài có thể kéo dài tới 2 tiếng do bác sĩ cần thực hiện tỉ mỉ, cẩn thận để không ảnh hưởng đến hiệu quả điều trị.
Bước 5: Tái khám định kỳ
Bạn sẽ cần tới nha khoa để tái khám định kỳ 3-6 tuần/lần để kiểm tra tình trạng niềng răng và điều chỉnh dây cung, mắc cài. Để đảm bảo hiệu quả niềng tốt, bạn nhớ tái khám đúng theo lịch hẹn của bác sĩ.
Bước 6: Tháo khí cụ niềng và đeo máng duy trì
Khi bác sĩ xác nhận toàn bộ răng đã được dịch chuyển về đúng vị trí và đạt kết quả như ý muốn, bạn sẽ được tháo hết dây cung, mắc cài và khí cụ. Tuy nhiên, bạn sẽ phải đeo máng duy trì thêm một thời gian để đảm bảo răng không bị di chuyển về vị trí ban đầu.
7 Niềng răng mắc cài sứ giá bao nhiêu?
Tùy vào mức độ, tình trạng của răng và phương pháp chỉnh nha mà chi phí niềng răng sẽ khác nhau. Dưới đây là bảng giá niềng răng mắc cài sứ tại Nha khoa Hanseoul bạn có thể tham khảo:
- Mắc cài sứ thường Clarity (3M-Mỹ) dao động từ 45 – 55 triệu

- Mắc cài sứ tự buộc Ultra (3M-Mỹ) dao động từ 55 – 65 triệu
8 Lưu ý chăm sóc răng miệng trong quá trình niềng
Việc chăm sóc răng miệng đóng một vai trò vô cùng quan trọng trong việc đảm bảo hiệu quả niềng và góp phần rút ngắn thời gian niềng. Vì vậy, khách hàng cần phải lưu ý những điều sau khi chăm sóc răng miệng tại nhà:
- Nên lựa chọn các loại thực phẩm mềm, dễ nhai, hạn chế các loại thực phẩm cứng, dai, chứa nhiều đường để răng không bị đau nhức và bung nút cài.
- Chải răng nhẹ nhàng, sạch sẽ, không để thức ăn bám lại trên răng nếu không sẽ gây ra các bệnh liên quan đến răng. Không chải răng mạnh tay vì sẽ có thể sẽ làm bung, vỡ, sút mắc cài ảnh hưởng đến quá trình niềng răng. Lưu ý làm sạch cả lưỡi và các vùng khác trong miệng bằng dụng cụ nạo lưỡi và nước súc miệng.
- Hạn chế vận động mạnh để tránh xảy ra va chạm và đề phòng rủi ro bị bung mắc cài.
9 Nha khoa Hanseoul cung cấp dịch vụ niềng răng mắc cài sứ uy tín
Tính đến nay, nha khoa Hanseoul đã giúp hơn 10.000 khách hàng có được nụ cười tỏa nắng với hàm răng đều, đẹp, tự tin hơn trong cuộc sống và công việc. 100% bác sĩ làm việc tại nha khoa Hanseoul đều được đào tạo bài bản chuyên sâu về lĩnh vực răng hàm mặt và có chứng chỉ hành nghề.
Ngoài ra, nha khoa Hanseoul còn hỗ trợ khách hàng trả góp hàng tháng với lãi suất 0% để bạn có thể yên tâm và thoải mái hơn trong việc thanh toán chi phí niềng răng. Vì thế, nếu bạn vẫn đang đắn đo, loay hoay tìm một địa chỉ niềng răng uy tín, hãy lựa chọn nha khoa Hanseoul.






