- 1 Review trồng răng implant tại bệnh viện răng hàm mặt TPHCM
- 2 Điểm nổi bật của trồng răng Implant so với phương pháp truyền thống
- 3 Trường hợp nào thì phù hợp để trồng răng implant
- 4 Quy trình các bước trồng răng implant ở bệnh viện răng hàm mặt TP.HCM
- 5 Bảng giá trồng răng Implant mới nhất 2022 – Hanseoul
- 6 Đặt lịch trồng răng Implant ở Hanseoul
Trồng răng implant là một trong những giải pháp đạt hiệu quả tối ưu nhất cho những người bị mất răng, thiếu răng, móm răng. Ở nước ta hiện nay, phương pháp này đã và đang ngày càng được áp dụng phổ biến trong thẩm mỹ nha khoa tại các phòng khám nha khoa và bệnh viện răng hàm mặt. Tuy nhiên thì nhiều người hiện nay vẫn còn rất băn khoăn và lo lắng rằng không biết cấy ghép implant an toàn có tốt không và sẽ mang lại những ưu điểm gì? Vậy hãy cùng Nha Khoa Hanseoul tham khảo qua bài Review trồng răng implant ở bệnh viện răng hàm mặt TP.HCM sau đây:
1 Review trồng răng implant tại bệnh viện răng hàm mặt TPHCM
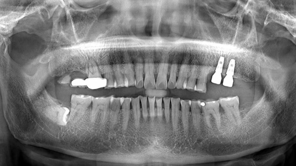
Hiện nay, kỹ thuật cấy ghép implant là một kỹ thuật giúp phục hồi chiếc răng bị mất một cách hoàn hảo, với kỹ thuật tiên tiến hiện đại bậc nhất hiện nay. Được nhiều người dân Việt Nam biết đến và đã, đang, sẽ sử dụng phương pháp này trong trường hợp mất răng. Nguyên tắc của phương pháp này là cấy chân răng giả vào xương hàm của bệnh nhân bị mất răng. Rồi sau đó một thời gian khi chân răng dính vào xương hàm thì nha sĩ sẽ chụp phần răng sứ lên trên vừa khít với khoảng trống răng mất, vừa đảm bảo khả năng ăn nhai và hiệu quả thẩm mỹ.

Các chân răng implant được cố định một cách chắc chắn trong xương hàm nhờ quá trình trụ được tích hợp với xương. Nhờ vậy mà răng sau khi trồng tạo được lực nhai khá tốt sau khi điều trị. Kỹ thuật cấy ghép implant giúp khắc phục hiệu quả tối đa tình trạng bị mất một răng hay nhiều răng hay mất răng toàn bộ. Với các bệnh nhân bị mất nhiều răng thì lựa chọn phương pháp implant chính là tốt nhất, hiệu quả nhất. Bởi nó giúp phục hồi phần chân răng đã mất, người bệnh không cần đeo hàm giả, răng chắc khỏe hơn cả răng thật, tự do ăn nhai thoái, răng đều đẹp tự tin mang lại sự cân đối hài hòa cho gương mặt.
2 Điểm nổi bật của trồng răng Implant so với phương pháp truyền thống
Ưu điểm của kỹ thuật trồng răng implant so với các phương pháp trồng răng giả truyền thống đó là:
- Không cần mài các răng kề cạnh để làm bệ đỡ
- Phục hồi được cho cả răng đã mất chân răng, trụ răng
- Độ bền và hiệu quả, bảo hành đến trọn đời
- Sự thẩm mỹ khi quan sát như răng thật
- Lực ăn nhai của răng chắc khỏe, không cần hạn chế ăn nhai như cầu răng sứ hay trám răng.
- Giữ được nguyên vẹn kết cấu xương hàm và tránh được biến chứng tiêu xương, hóp má thái dương, thái dương lõm, làm mất cân đối gương mặt, ảnh hưởng tới tướng số vận mệnh.

Để đảm bảo tính an toàn cho chính mình, thì bạn cần phải lựa chọn cấy ghép implant ở các cơ sở uy tín chất lượng. Một nơi có đội ngũ bác sĩ thực hiện kiến thức chuyên môn cao, bề dày kinh nghiệm, đã từng thực hiện thành công nhiều ca cấy ghép implant thực tế. Trang thiết bị sử dụng trong nha khoa phải liên tục được cải tiến, cập nhật những phương pháp mới nhất, tiên tiến, hiện đại. Bệnh viện răng hàm mặt TP.HCM sẽ là lựa chọn an toàn bạn có thể cân nhắc.
3 Trường hợp nào thì phù hợp để trồng răng implant
Cấy ghép implant – trồng răng implant có thể thực hiện ở các trường hợp bệnh nhân bị mất một răng, nhiều răng, hoặc cả hàm. Và yêu cầu đảm bảo những điều kiện sau đây:
- Bệnh nhân đã đủ tuổi trưởng thành – trên 18 tuổi: khi mà cấu trúc xương hàm răng và các mô xương đã phát triển hoàn thiện và dần ổn định, không mắc các bệnh gì mãn tính.
- Nếu có các bệnh lý kèm theo thì cần được thăm khám tổng quát và điều trị dứt điểm các bệnh lý nha khoa khác thì mới được chỉ định cấy ghép implant.
- Bệnh nhân có khả năng đáp ứng kinh phí thực hiện cấy ghép implant
- Trường hợp các bệnh nhân có tình trạng mất cả chân răng thì phương pháp này chính là sự lựa chọn hoàn hảo nhất.
4 Quy trình các bước trồng răng implant ở bệnh viện răng hàm mặt TP.HCM
Nếu bạn đang băn khoăn không biết quy trình thăm khám diễn ra thế nào thì bạn có thể tham khảo quy trình khám và điều trị thực hiện cấy ghép implant cơ bản như sau:
- Đầu tiên bạn sẽ được nha sĩ thăm khám và tư vấn về nguy cơ của các bệnh lý kèm theo nếu có
- Chụp CT và khảo sát kết quả thông qua phần mềm thông minh

- Các bác sĩ chẩn đoán và đưa ra kế hoạch điều trị phù hợp cho bệnh nhân
- Với những bệnh nhân đã bị tiêu xương hàm thì bác sĩ có thể sẽ lắp xương hàm bổ sung cho bạn trước khi tiến hành cấy trụ implant
- Tiến hành cấy ghép một trụ implant titanium vào xương hàm, thông thường gồm 4 trụ (2 trụ phí trước được cấy ghép thẳng và 2 trụ phía sau được cấy ghép nghiêng).
- Bước cuối, bác sĩ nha khoa sẽ lắp răng sứ lên phía trên và tạo hình răng hoàn hảo vừa khít khoảng trống răng bị mất.
5 Bảng giá trồng răng Implant mới nhất 2022 – Hanseoul
Trồng răng implant có 2 thành phần chính trong quy trình cấy ghép đó là trụ implant titanium và phẫn mão sứ (răng sứ). Giá cả hay chi phí thực hiện sẽ của 2 thành phần này sẽ quyết định tổng chi phí cho một liệu trình trồng răng.
Tùy thuộc vào loại trụ implant, nhà sản xuất trụ và loại vật liệu răng sứ bệnh nhân lựa chọn sẽ có mức giá khác nhau. Trụ implant ở bệnh viện răng hàm mặt TP.HCM sẽ có giá từ 15 triệu đến 44 triệu, còn mão răng sứ dao động từ 1,5 triệu đến 9 triệu đồng. Ngoài ra bạn có thể cần trả thêm những chi phí dịch vụ xét nghiệm liên quan như chụp CT, xét nghiệm máu…
Bảng giá dịch vụ trồng răng implant tại bệnh viện răng hàm mặt TP.HCM bạn có thể tham khảo:
Chụp phim Panorama – 150.000 đồng
Chụp CT – Scanner – 1.000.000 đồng đến 1.500.000 đồng

Cấy ghép trụ BioHorizons – 18.100.000 đồng
Nâng sàn xoang – 15.000.000 đồng
Trụ Implant MIS 7.14 – 15.000.000 đồng
Trụ Implant NEO, Dentist – 15.000.000 đồng
Trụ Implant Osstem – 15.000.000 đồng đến 18.000.000 đồng
Trụ Implant HI TEC – 18.000.000 đồng
Trụ Implant Ritter- 18.000.000 đồng
Trụ Implant MIS – 18.000.000 đồng đến 20.000.000 đồng
Trụ Implant Nobel – 22.000.000 đồng
Trụ Implant Straumann Standard – 25.000.000 đồng
Trụ Implant Straumann Active – 28.000.000 đồng
Tuy nhiên, đối với những khách hàng không thuận tiện để đến thành phố Hồ Chí Minh, thì bạn hoàn toàn có thể lựa chọn một cơ sở nha khoa uy tín nổi tiếng nhiều năm trong lĩnh vực trồng răng – cấy ghép implant đó chính là Nha Khoa Hanseoul:
Nha Khoa Hanseoul với hơn 15 năm kinh nghiệm trong lĩnh vực cấy ghép. Là một nha khoa nức tiếng, trong đó có nhiều bác sĩ đang làm việc tại đây đã tốt nghiệp Đại Học Y Hà Nội, Nổi bật có bác sĩ Hà và bác sĩ Gấm đã có bằng thạc sĩ chuyên ngành cấy ghép implant tại Pháp. Đặc biết, Thạc sỹ – Bác sĩ Trần Việt Hà đã tu nghiệp chuyên ngành cấy ghép implant ở Seoul – Hàn Quốc.
6 Đặt lịch trồng răng Implant ở Hanseoul
Để tiết kiệm thời gian thăm khám và điều trị, bạn có thể đặt lịch trước thông qua website hoặc hotline 0939 090 581 của Nha Khoa Hanseoul.
Nhân dịp cuối năm, tại nha khoa Hanseoul có nhiều chương trình ưu đãi hấp dẫn về các dịch vụ niềng răng, tẩy trắng răng, bọc răng sứ, trồng răng implant. Với phương châm làm việc chăm sóc sức khỏe răng miệng của khách hàng – làm việc bằng cả trái tim thì Hanseoul mong muốn rằng sẽ mang lại nụ cười tự tin, hàm răng chắc khỏe trắng sáng cho hàng triệu người việt.





