- 1 Lý do tẩy trắng răng là phương pháp được nhiều người lựa chọn?
- 2 Các nguyên nhân gây ra tình trạng răng ngả màu
- 2.1 Các nguyên nhân gây nhiễm màu ở bề mặt răng:
- 2.2 Các nguyên nhân gây nhiễm màu bên trong răng:
- 3 Tẩy trắng răng có gây hại không?
- 4 Những cách tẩy trắng răng phổ biến hiện nay ở Việt Nam
- 4.1 Tẩy trắng răng tại nha khoa
- 4.2 Tẩy trắng răng tại nhà bằng máng
- 5 Tẩy trắng răng bị chết tủy
- 6 Tẩy trắng răng ở đâu uy tín tại quận Thanh Xuân
Tẩy trắng răng là phương pháp thẩm mỹ nha khoa giúp bạn khắc phục nhược điểm răng bị ố vàng, xỉn màu,..đem lại sự tự tin và nụ cười rạng rỡ khi giao tiếp. Vậy, có những cách nào để tẩy trắng răng hay không, quá trình tẩy trắng răng cần lưu ý những gì, cùng theo dõi nội dung bài viết sau đây để được giải đáp bạn nhé.
1 Lý do tẩy trắng răng là phương pháp được nhiều người lựa chọn?
bản chất của phương pháp tẩy trắng răng là dùng các chất oxy hóa (Carbamide Peroxide, tẩy trắng răng tại nhà hoặc Hydrogen Peroxide, tẩy trắng răng tại phòng nha) và năng lượng ánh sáng để tạo ra phản ứng oxy hóa làm cắt đứt các chuỗi phân tử màu sắc trong ngà răng, giúp răng trắng sáng hơn so với tình trạng ban đầu. Công nghệ tẩy trắng răng ra đời đã giải quyết được nhu cầu của nhiều người, mong muốn cải thiện độ trắng sáng của hàm răng để tăng vẻ đẹp thẩm mỹ của gương mặt và lấy lại sự tự tin trong giao tiếp.

Tẩy trắng răng là phương pháp hầu hết mọi người có thể sử dụng được, tuy nhiên kết quả tẩy trắng răng có mang lại hiệu quả cao hay không lại phụ thuộc vào nhiều yếu tố. Trong đó, điều quan trọng nhất là cần xác định được nguyên nhân gây ra tình trạng xỉn màu ở răng, mức độ ngả màu ở răng có nghiêm trọng không, từ đó lựa chọn được những phương pháp tẩy trắng răng phù hợp với từng tình trạng của răng.
2 Các nguyên nhân gây ra tình trạng răng ngả màu
Có rất nhiều nguyên nhân gây ra tình trạng răng xỉn màu, ố vàng….Nhưng phân loại thì có 2 nhóm chính gây nhiễm màu răng như sau:
2.1 Các nguyên nhân gây nhiễm màu ở bề mặt răng:
- Những đồ ăn, thức uống có màu đậm: cà phê, rượu vang, sô cô la, nước hoa quả..
- Quá trình vệ sinh răng miệng, đánh răng không đúng cách, chưa loại bỏ sạch hết các mảng bám
- Người sử dụng thuốc lá lâu năm (thuốc lá điện tử, thuốc lào, shisha,..)

Hình ảnh răng nhiễm Flour
2.2 Các nguyên nhân gây nhiễm màu bên trong răng:
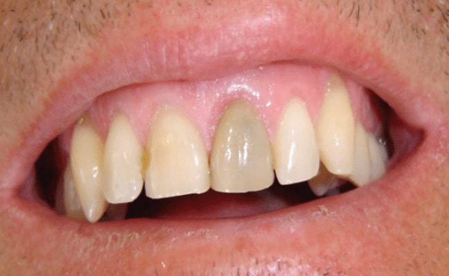
- Do sử dụng kháng sinh Tetracycline khi còn nhỏ hoặc trong lúc mẹ mang thai sử dụng thuốc kháng sinh khiến thai nhi sinh ra bị nhiễm màu răng một phần hoặc toàn bộ.
- Sử dụng kem đánh răng có hàm lượng Flour quá cao hoặc nguồn nước sử dụng bị nhiễm Fluor.
- Tính di truyền và độ tuổi: độ mỏng hay dày của men răng có tính di truyền, men răng mỏng dễ.

Hình ảnh răng nhiễm kháng sinh Tetracycline
3 Tẩy trắng răng có gây hại không?
Mặc dù là một phương pháp phục hình thẩm mỹ phổ biến, nhưng vẫn còn khá nhiều người thắc mắc rằng tẩy trắng răng có gây hại không, có làm mòn men răng không, làm răng yếu đi không?
Các nghiên cứu lâm sàng cho thấy rằng, nếu như thực hiện đúng kỹ thuật, thuốc tẩy trắng đảm bảo chất lượng thì tẩy trắng răng hoàn toàn không có hại đối với cơ thể cũng như không gây ảnh hưởng tới men răng và cấu trúc răng.
Những trường hợp tẩy trắng răng tại nhà thì cần được hướng dẫn và có giám sát bởi bác sĩ. Bởi khi sử dụng loại thuốc tẩy trắng răng kém chất lượng hoặc thực hiện không đúng kỹ thuật có thể làm ảnh hưởng nghiêm trọng đến răng.
Dù là lựa chọn tẩy trắng ở đâu đi chăng nữa, bạn cũng nên chú ý đến nguồn gốc của thuốc tẩy trắng được sử dụng. Thuốc sử dụng phải có tem nhãn kiểm định chất lượng, nguồn gốc và xuất xứ rõ ràng.
Không nên sử dụng thuốc không có nguồn gốc vì nó có thể tác động xấu đến nướu và răng miệng. Trường hợp nếu không may, thuốc đi vào đường tiêu hóa và sẽ có nguy cơ làm tổn thương bộ phận này.
4 Những cách tẩy trắng răng phổ biến hiện nay ở Việt Nam
4.1 Tẩy trắng răng tại nha khoa
Tẩy trắng răng tại nha khoa có ưu điểm: nhanh chóng, an toàn, dễ dàng thấy được kết quả ngay cả với những trường hợp răng nhiễm màu do kháng sinh Tetra, fluor,…Sau khi thăm khám kiểm tra, các bác sĩ sẽ lựa chọn phương án tẩy trắng răng thích hợp cho tình trạng răng của bạn.

Phương pháp chiếu đèn Lazer để tẩy trắng răng
Trước khi thực hiện tẩy trắng răng, bác sĩ sẽ bảo vệ môi, nướu và sử dụng thuốc chống ê buốt. Sau đó bác sĩ sử dụng thuốc tẩy trắng có nồng độ 35 – 37% kết hợp với ánh sáng năng lượng để tẩy trắng răng.
4.2 Tẩy trắng răng tại nhà bằng máng
Bác sĩ sẽ thực hiện lấy dấu răng để làm một cặp khay đeo tẩy trắng phù hợp cho răng của bạn. Khay hay máng đeo tẩy trắng đảm bảo lưu giữ một lượng thuốc vừa đủ và dễ dàng sử dụng, bạn có thể dễ dàng thực hiện ở nhà. Ngoài ra, vật liệu để làm máng đeo là trong suốt, giúp bạn thoải mái làm việc và nói chuyện như bình thường.
Thuốc tẩy trắng tại nhà thường sẽ có nồng độ 10 -15% peroxide, đạt vào máng và đeo mỗi ngày 6 – 8 giờ. Phần răng được tiếp xúc với thuốc sẽ trở nên trắng sau 2 – 3 ngày. Tuy nhiên, cần thực hiện đủ liệu trình 7 ngày để màu răng được duy trì lâu bền.
5 Tẩy trắng răng bị chết tủy
Có một số trường hợp răng bị chết tủy và nhiễm màu sâu vào cấu trúc răng, vì thế không thể tẩy trắng từ bề mặt răng mà phải được xử lý từ bên trong ống tủy.

Hình ảnh răng bị chết tủy
Bác sĩ trám lót tại vị trí thích hợp nhằm che các ống ngà ở vùng cổ răng tránh tình trạng thuốc tẩy trắng tiếp xúc với nướu gây viêm đau. Sau đó tiến hành đặt thuốc tẩy trắng vào buồng tủy và trám tạm lại. Thuốc tẩy trắng được thay mới mỗi tuần cho đến khi răng đạt được độ trắng mong muốn thì thuốc sẽ được lấy ra, vệ sinh buồng tủy và đặt vào đó canxi hydroxit. Sau 2 tuần đặt canxi hydroxide thì răng của bạn sẽ được trám thẩm mỹ vĩnh viễn.
6 Tẩy trắng răng ở đâu uy tín tại quận Thanh Xuân
Nha Khoa Hanseoul không chỉ mang đến cho bệnh nhân một hàm răng mới, đảm bảo chức năng ăn nhai tốt và tính thẩm mỹ cao, mà còn hướng đến sức khỏe lâu dài và sự hài lòng tuyệt đối của mỗi bệnh nhân khi điều trị tại nha khoa. Thông điệp làm việc bằng cả trái tim, kiến tạo nên những nụ cười trọn vẹn, hạnh phúc cho người Việt, nha khoa Hanseoul được đánh giá là nơi tẩy trắng răng uy tín nhất ở quận Thanh Xuân, thành phố Hà Nội.
Nếu bạn quan tâm đến dịch vụ tẩy trắng răng có thể tham khảo bảng giá tẩy trắng răng mới nhất 2022 ở Nha Khoa Hanseoul sau đây:
Ở nha khoa Hanseoul đang có chương trình ưu đãi cuối năm hấp dẫn dành cho dịch vụ tẩy trắng răng, hãy đến ngay địa chỉ nha khoa hoăc liên hệ trực tiếp qua số điện thoại 0939 090 581 để biết thêm thông tin chi tiết bạn nhé!





