Sau khi mất răng, rất nhiều người lo lắng có thể mình sẽ bị tiêu xương hàm. Tuy nhiên, không phải ai cũng biết tiêu xương hàm là gì? Nguyên nhân và những ảnh hưởng đến sức khỏe khi bị tiêu xương hàm ra sao? Bài biết này sẽ giúp bạn có thêm thông tin cần thiết về tiêu xương hàm.
1 Thế nào là tiêu xương hàm?
Theo các bác sĩ nha khoa, tiêu xương hàm còn gọi là bệnh tiêu xương ổ răng, gồm cả trường hợp tiêu xương răng hàm trên và tiêu xương răng hàm dưới. Nó xảy ra khi mật độ và chất lượng xương hàm bị giảm sút do nhiều nguyên nhân, khiến nướu bị teo lại, gương mặt bị méo, lão hóa, chảy xệ và ảnh hưởng rất nhiều tới khớp cắn.
2 Các nguyên nhân gây tiêu xương hàm
Nguyên nhân gây tiêu xương hàm thường là do mất răng hoặc bị viêm nha chu:
- Khi bị mất răng, chân răng không còn tạo khoảng trống trên xương hàm. Từ đó, không còn sự tác động của lực nhai nữa dẫn đến quá trình tiêu xương. Chỉ 3 tháng sau khi mất răng, mật độ xương hàm đã bắt đầu suy giảm. Trong khoảng 12 tháng đầu tiên, có khoảng 25% xương hàm ở vị trí răng mất sẽ tiêu biến và sau khoảng 3 năm, xương hàm sẽ bị tiêu biến tới 45 – 60%.
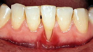
- Nếu bị viêm nha chu, chân răng sẽ lộ ra ngoài do nướu bị viêm gây ra hiện tượng tụt lợi. Từ đó sẽ dẫn tới tình trạng xương và dây chằng bao bọc quanh răng bị tiêu hủy dần, khiến răng không còn chỗ dựa gây nên tiêu xương hàm.

3 Tiêu xương hàm ảnh hưởng như thế nào đến sức khỏe?
Tiêu xương hàm thường bị bỏ qua do khi bắt đầu mất rang nó không xảy ra ngay lập tức mà phải mất một thời gian sau. Do không có triệu chứng hay biểu hiện rõ rang nên nhiều người xem nhẹ mức độ nguy hiểm của nó đối với sức khỏe.
Thực tế, tiêu xương hàm gây ra khá nhiều biến chứng nặng nề. Nó làm xương hàm tiêu biến khiến độ rộng và chiều cao của thành xương bị giảm một cách đáng kể, từ đó không thể nâng đỡ được nướu, gây tụt nướu, làm bờ nướu mỏng dần, tạo cơ hội cho vi khuẩn phát triển nhiều hơn, gây đau đầu, suy giảm sức khỏe nghiêm trọng, thậm chí gây nhiễm trùng huyết.
Mặt khác, người bệnh còn đối mặt với nguy cơ các răng kế cận vị trí mất răng bị xô lệch, có nguy cơ lung lay và gãy rụng do hiện tượng tiêu xương hàm khiến xương hàm bị tụt thấp, hàm răng có xu hướng đổ về phía khoảng trống.
Đồng thời, tiêu xương hàm cũng dẫn tới tình trạng lệch khớp cắn khiến người bệnh gặp khó khăn nhai khi ăn. Về mặt thẩm mỹ, hiện tượng tiêu xương hàm sẽ khiến xương hàm dưới bị ngắn hơn. Khi xương hàm bị tiêu biến tới 60% sẽ gây ra tình trạng các dây chằng và cơ mặt hóp vào trong, dấu hiệu lão hóa trên mặt biểu hiện rõ ràng hơn và hậu quả là gương mặt người bệnh sẽ bị teo nhỏ và già nua.
Nếu không phát hiện sớm và điều trị kịp thời, tiêu xương hàm có thể gây lệch khớp cắn, méo miệng, ảnh hưởng rất xấu tới sức khỏe.
Mặt khác, tiêu xương hàm còn ảnh hưởng đến quá trình điều trị sau này. Cụ thể, sau khi bị mất răng, nếu không cải thiện kịp thời thì xương hàm sẽ bị tiêu biến dần. Điều này sẽ khiến cho tỷ lệ lẫn chất lượng của xương bị giảm sút và làm ảnh hưởng đến quá trình phục hình răng với phương pháp trồng răng Implant. Lúc này, nếu muốn cấy Implant thì người bệnh cần được ghép xương, tốn rất nhiều chi phí điều trị.

4 Những dạng tiêu xương hàm khi người bệnh bị mất răng
Nếu bạn mất răng vì tai nạn hoặc vì tuổi già nếu bạn không trồng răng kịp thời thì có thể sẽ dẫn đến tình trạng tiêu xương hàm.
Các dạng tiêu xương hàm thường gặp là:
Tiêu xương hàm chiều ngang: Độ rộng của xương hàm tại vị trí mất răng sẽ bị thu hẹp lại và vùng xương ở gần đó sẽ giãn ra rồi dần xâm lấn sang khoảng trống xương mới bị tiêu. Việc này sẽ khiến cho những răng kế cận bị xô lệch mất tính thẩm mỹ và khiến cho người bệnh mất đi sự tự tin khi giao tiếp.
Tiêu xương theo chiều dọc: Phần xương hàm nằm ở phía bên dưới nướu sẽ bị tiêu lõm xuống và có phần trũng sâu hơn so với các vùng xương hàm xung quanh. Lâu dần, vùng nướu ở nơi bị tiêu xương sẽ teo nhỏ lại.
Tiêu xương ở xoang: Khi hàm trên bị mất răng thì các đỉnh xoang sẽ có dấu hiệu tràn xuống. Độ rộng của các xoang cũng sẽ tăng dần lên theo thời gian.
Tiêu xương toàn bộ: Thường xảy ra khi bị mất nhiều răng ở cả 2 hàm. Trường hợp này rất dễ để phát hiện vì trên khuôn mặt sẽ có những thay đổi rõ rệt. Khuôn miệng bị hõm vào và xuất hiện nhiều nếp nhăn hơn.
Hạ thấp xương hàm: Nếu tình trạng tiêu xương hàm không được điều trị kịp thời thì sẽ ảnh hưởng đến các ống thần kinh ở bên dưới.
5 Lời khuyên của nha sĩ để phòng tránh tiêu xương hàm
Nếu bạn có bất cứ dấu hiệu nào bị bệnh về răng hàm mặt, nhất là trường hợp bị mất răng thì bạn phải đối diện với nguy cơ tiêu xương, hủy hoại xương hàm mặt. Hãy nhanh chóng đến khám ở những cơ sở chuyên khoa Răng Hàm Mặt tin cậy để được tư vấn và điều trị sớm, tránh những biến chứng nguy hiểm. Đồng thời nên chăm sóc răng cẩn thận tại nhà bằng cách:
– Chải răng 2-3 lần/ngày bằng bàn chải lông mềm sau mỗi bữa ăn hoặc sáng/tối.
– Sử dụng thêm nước súc miệng để đảm bảo cặn bẩn được loại bỏ khỏi khoang miệng.
– Dùng chỉ nha khoa thay cho tăm.
– Tới nha sĩ khám rang định kỳ 6 tháng/lần.
– Lựa chọn phục hình răng mất bằng cách cấy Implant hoặc làm răng ngay sau khi mất răng.





