Trồng răng implant là một kỹ thuật phục hình răng hiện đại và được rất nhiều người tin tưởng lựa chọn để thực hiện thay thế răng đã mất. Tuy nhiên, chi phí để thực hiện làm răng giả bằng phương pháp này không hề rẻ. Chính vì vậy mà có rất nhiều địa chỉ nha khoa quảng cáo phô trương với hình thức trồng răng implant miễn phí hay giá rẻ để thu hút khách hàng. Vậy thì, có nên làm răng implant với giá rẻ, miễn phí hay không?
1 Trồng răng implant miễn phí giá rẻ, nên hay không nên?
Trồng răng implant là kỹ thuật dùng một trụ bằng implant cấy ghép vào xương hàm để thay thế chiếc chân răng đã mất, đồng thời hỗ trợ việc nâng đỡ mão răng sứ hoặc cầu răng. Một chiếc răng implant hoàn chỉnh đầy đủ sẽ bao gồm một thân trụ implant, mão răng sứ và một khớp nối Abutment dùng để kết nối hai phần còn lại ở hai đầu. Đa số các răng sứ và trụ răng sứ đều được nhập khẩu trực tiếp từ nước ngoài công thêm việc phương pháp này đòi hỏi và yêu cầu nhiều kỹ thuật phức tạp nên giá thành thực hiện khá cao.

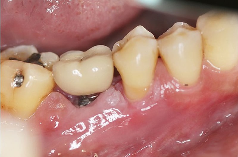
Hình ảnh trồng răng implant giá rẻ
Do vậy, nên khi nhìn thấy những quảng cáo như trồng răng implant miễn phí giá rẻ thì bạn cần đặc biệt lưu ý. Bởi vì răng không chỉ ảnh hưởng đến khả năng ăn nhai mà còn ảnh hưởng nhiều đến thẩm mỹ hài hòa của toàn khuôn mặt. Ngoài ra, việc trồng răng không đảm bảo sẽ làm ảnh hưởng rất nhiều tới chất lượng cuộc sống và quá trình sinh hoạt sau này. Do vậy, thay vì để ý và quan tâm quá nhiều đến giá thành thì bạn hãy quan tâm đến chất lượng hàng đầu nhé.
Với kỹ thuật trồng răng implant miễn phí tại các cơ sở nha khoa thì đa số sẽ thực hiện bởi các sinh viên khoa răng hàm mặt mới ra trường, đang đi thực tập hoặc những bác sĩ chưa có nhiều kinh nghiệm lâm sàng, muốn nâng cao tay nghề thực tế.
Ngoài ra, việc trồng răng implant giá rẻ cũng có thể là do cơ sở dùng trang thiết bị lạc hậu, trụ răng không đảm bảo chất lượng, điều kiện vô trùng – vô khuẩn không tốt…Tất cả những điều này có thể sẽ khiến bạn gặp phải những biến chứng nguy hiểm. Có một số biến chứng xảy ra chỉ là tạm thời nhưng cũng có thể ảnh hưởng lâu dài tới sức khỏe người bệnh, điển hình như:
- Tổn thương dây thần kinh răng dưới
- Chảy máu hậu phẫu thuật
- Nhiễm trùng sau khi trồng răng
- Viêm nhiễm răng nướu và chảy máu ở chân răng
- Đau nhức âm ỉ kéo dài…
XEM THÊM
- Sau khi nhổ răng bao lâu thì trồng Implant là tốt nhất?
- Có nên trồng răng implant không? Lời khuyên từ đội ngũ bác sĩ tại nha khoa Hanseoul
Do vậy, với thắc mắc có nên trồng răng implant miễn phí hay không thì câu trả lời là: không. bạn nên tìm hiểu thông tin và thăm khám ở những địa chỉ nha khoa trồng răng implant uy tín có mức chi phí hợp lý với những loại vật liệu tốt để đảm bảo an toàn với sức khỏe người dùng.
2 Những lưu ý cần nhớ khi trồng răng implant
Trồng răng implant là một phương pháp có khá nhiều ưu điểm như là: răng có tuổi thọ cao, được trồng lên y như răng thật, đạt hiệu quả thẩm mỹ tối đa…Tuy nhiên đây cũng là một phương pháp tác động trực tiếp tới nướu nên để đảm bảo sự an toàn, bạn cần lưu ý những điều sau đây:
- Trước khi thực hiện trồng răng bạn cần tìm hiểu thật kỹ càng các địa chỉ nha khoa thực hiện, ưu tiên những cơ sở nha khoa được nhiều người review, đánh giá tốt cùng với đội ngũ bác sĩ giàu kinh nghiệm thăm khám, thực hiện.
- Hãy truyền đạt rõ tình trạng răng miệng của bản thân cùng những mong muốn sau khi trồng răng implant để bác sĩ có thể tư vấn và chỉ định phương pháp phù hợp nhất cho bạn.
- Trong quá trình thực hiện cấy ghép implant, bạn hãy tuân thủ đúng như những hướng dẫn của nha sĩ để đảm bảo kết quả trồng răng implant tốt nhất, không gặp những sai sót hoặc rủi ro không đáng có xảy ra.

Trồng răng implant cho bệnh nhân bác sĩ Hà Hanseoul
- Tình trạng đau nhức sau khi trồng răng implant là bình thường. Lúc này bạn có thể chườm đá hoặc dùng thuốc theo chỉ dẫn của bác sĩ để làm giảm cơn đau buốt, khó chịu.
- Nếu tình trạng đau kéo dài kèm theo sưng nướu, chảy máu thì bạn hãy đến ngay cơ sở nha khoa thực hiện để được xử lý và tránh xảy ra những biến chứng nguy hiểm.
- Việc vệ sinh răng miệng đúng cách theo hướng dẫn của nha khoa, ăn thức ăn mềm lỏng, không sử dụng đồ ăn quá lạnh hoặc quá nóng. Không hút thuốc lá sau khi trồng răng implant là rất quan trọng.
- Cuối cùng bạn không nên tin vào những lời quảng cáo trồng răng giá rẻ, miễn phí thổi phồng trên những nền tảng mạng xã hội để tránh tiền mất tật mang bạn nhé.
Trồng răng implant miễn phí thực tế có thể gây ra những biến chứng nguy hiểm do tay nghề bác sĩ thực hiện, cùng với vật liệu sử dụng không đảm bảo. Do đó, bạn hãy đến những cơ sở nha khoa uy tín để được đội ngũ bác sĩ chuyên khoa có tay nghề cao thực hiện bạn nhé.
3 Điều kiện đảm bảo trồng răng implant hiệu quả là gì?
Điều quan trọng nhất để có thể phục hình răng mang lại hiệu quả tốt nhất là bạn nên lựa chọn một địa chỉ trồng răng uy tín với chất lượng đảm bảo, cùng đội ngũ bác sĩ nha khoa có kinh nghiệm lâm sàng dày dặn. Có như vậy thì bạn mới có thể bảo đảm được kết quả trồng răng implant tốt nhất.

Phòng khám nha khoa quốc tế Hanseoul cơ sở vật chất hiện đại
Trồng răng implant là kỹ thuật phục hình răng tương đối phức tạp nên nó đòi hỏi cơ sở y tế tại phòng khám nha khoa thực hiện cần đáp ứng đầy đủ các tiêu chí về kiến thức chuyên môn, tay nghề lâm sàng của bác sĩ cùng với trang thiết bị, công nghệ hỗ trợ trong quá trình cấy ghép implant. Chính vì thế, để đạt được kết quả trồng răng implant an toàn và hiệu quả thì bạn nên lựa chọn địa chỉ nha khoa uy tín, có giấy phép hoạt động từ bộ y tế cấp, trang thiết bị đảm bảo tiêu chuẩn quốc tế.
4 Trồng răng implant ở đâu uy tín?
Kỹ thuật trồng răng implant cần được thực hiện trong môi trường hoàn toàn vô trùng – vô khuẩn, phòng phẫu thuật riêng biệt để tránh tình trạng nhiễm trùng chéo. Phải được thực hiện bởi bác sĩ chuyên khoa giàu kinh nghiệm cùng với sự hỗ trợ đầy đủ của trang thiết bị, máy móc hiện đại nhất. Như vậy mới có thể đảm bảo sự thành công cho ca phẫu thuật, đạt được hiệu quả ăn nhai cũng như tính thẩm mỹ cho khuôn miệng và gương mặt.
Chính vì vậy trước khi trồng răng implant bạn cần phải lựa chọn được một địa chỉ uy tín để thực hiện. Nha khoa Hanseoul là một trong những nha khoa hàng đầu thực hiện trồng răng implant tốt nhất tại Hà Nội, nhận được sự tin tưởng, hài lòng của rất nhiều khách hàng.

Nha khoa Hanseoul được thành lập từ năm 2006, sau hơn 16 năm không ngừng phát triển, Hanseoul đã trở thành một trong những lựa chọn hàng đầu của nhiều khách hàng khi đi trồng răng implant.
Đội ngũ bác sĩ tại Nha khoa Hanseoul đều là các bác sĩ chuyên khoa Răng Hàm Mặt tốt nghiệp chính quy từ trường Đại học Y Hà Nội – nơi đào tạo những nhân tài, bác sĩ giỏi hàng đầu của cả nước.
Nha khoa Hanseoul sử dụng công nghệ cấy ghép implant từ các quốc gia nổi tiếng về lĩnh vực nha khoa như Hàn Quốc, Đức, Thụy Sĩ, Mỹ với chất liệu Titanium không lẫn tạp chất, có khả năng tích hợp hoàn hảo với xương hàm và tuyệt đối không làm ảnh hưởng, xâm lấn tới các răng kề cạnh. Với phương châm “làm việc bằng cả trái tim”, sự tận tâm trong hành trình chăm sóc khách hàng, mạng lại cho khách hàng cảm giác thoải mái như ở nhà, giống như ngôi nhà thứ hai chăm sóc sức khỏe răng miệng của bạn và người thân.
Để hẹn lịch thăm khám và tư vấn miễn phí, quý khách hàng vui lòng liên hệ qua tổng đài 0939 090 581 của Nha khoa Hanseoul để được hỗ trợ tốt nhất nhé!





