- 1 – Răng số 8 là răng nào?
- 2 – Vị trí răng số 8 ở đâu?
- 3 – Biến chứng do răng số 8 gây ra:
- 4 – Khi nào cần nhổ răng số 8?
- 4.1 1 Những trường hợp phải nhổ răng số 8
- 4.2 2 – Trường hợp không cần nhổ răng số 8
- 5 – Các phương pháp nhổ răng số 8 hiện nay
- 5.1 1 – Nhổ răng khôn bằng phương pháp truyền thống
- 5.2 2 – Nhổ răng khôn bằng sóng siêu âm Piezotome
- 6 – Nhổ răng số 8 có đau không?
- 7 – Nha khoa Hanseoul nhổ răng khôn uy tín
- 8 – Sau khi nhổ răng số 8 cần lưu ý gì không?
Răng số 8 là một loại răng thuộc nhóm răng hàm, tuy nhiên loại răng này không sở hữu chức năng gì, mà ngược lại còn gây nên những biến chứng xấu, ảnh hưởng đến sức khỏe của nhiều người khi mọc răng số 8. Vậy vị trí răng số 8 ở đâu và những điều cần biết về răng 8 là gì? Mời bạn cùng Nha khoa Hanseoul tìm hiểu thông qua bài viết dưới đây nhé!
1 – Răng số 8 là răng nào?
Răng số 8 hay còn được gọi là răng khôn, thuộc nhóm răng hàm của hàm răng. Với một người có 32 chiếc răng thì sẽ có 4 chiếc răng số 8. Nhưng trên thực tế ghi nhận, một người thường có 2 răng khôn hoặc không có chiếc răng khôn nào. Rất hiếm khi gặp trường hợp bệnh nhân có 3 răng khôn hoặc trường hợp có 4 răng khôn.

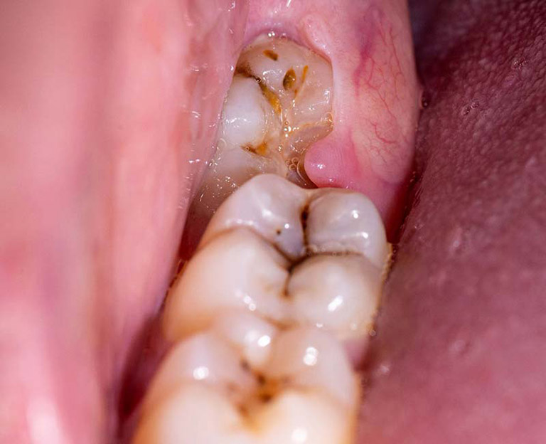
2 – Vị trí răng số 8 ở đâu?
Răng số 8 mọc sau cùng trong 4 góc hàm răng khi xương hàm đã phát triển đầy đủ răng. Mặc dù chúng không mang chức năng gì, tuy nhiên không phải trường hợp nào cũng được chỉ định nhổ răng số 8. Nó còn phụ thuộc vào yếu tố răng có phát triển bất thường hay không? có gây ra biến chứng gì ảnh hưởng tới sức khỏe hay không, mà bác sĩ nha khoa sẽ chỉ định nhổ răng 8 cho bạn.
3 – Biến chứng do răng số 8 gây ra:
Răng số 8 có thể gây ra một số những biến chứng sau đây:
- Tạo thành những ổ viêm nhiễm tại những vùng mọc răng.
- Gây xâm lấn, ảnh hưởng đến răng số 7 nằm bên cạnh, khiến cho chân răng bị lung lay, có thể dẫn đến tiêu xương và thậm chí có thể dẫn đến rụng răng.
- Tạo thành những khối u, ổ mủ, u nang ở vùng xương hàm, tích tụ những ổ vi khuẩn, tốn kém nhiều chi phí khi chữa trị.
- Nguy hiểm hơn khi răng mọc sai vị trí, chèn ép các đầu nút hệ thần kinh, gây ra tình trạng rối loạn về phản xạ và cảm giác.
4 – Khi nào cần nhổ răng số 8?
4.1 1 Những trường hợp phải nhổ răng số 8
Răng số 8 gây ra những biến chứng đau răng, gây u nang và có thể tái phát nhiễm trùng và gây xâm lấn, ảnh hướng đến những chiếc răng bên cạnh nó.
Ở giữa răng số 8 và răng số 7 có khe hở, dễ bị giắt, kẹt lại thức ăn thừa và sự nhồi nhét thức ăn sẽ gây nên các bệnh về răng nướu.
Không có răng số 8 mọc lên ở hàm răng đối diện ăn khớp khiến răng số 8 mọc trồi lên đâm vào lợi hàm răng đối diện, gây lở loét lợi nên cần phải nhổ răng.

Trường hợp không cần nhổ răng và cần nhổ răng 8
Hình dạng của răng số 8 bất thường dị dạng, tiềm ẩn những nguy cơ gây sâu răng, viêm nha chu, viêm lợi…
Răng số 8 có thể là nguyên nhân của các căn bệnh toàn thân.
4.2 2 – Trường hợp không cần nhổ răng số 8
Răng không (răng số 8) mọc thẳng, không bị kẹt ở mô xương và phần nướu, răng mọc không gây biến chứng có hại gì.
Bệnh nhân mắc phải các bệnh lý mãn tính như bệnh về tim mạch, đái tháo đường không tự chủ, rối loạn chức năng đông máu…
Răng số 8 có liên quan tới một số cấu trúc quan trọng như xoang hàm, đầu nút dây thần kinh.
5 – Các phương pháp nhổ răng số 8 hiện nay
Hiện nay có 2 phương pháp nhổ răng khôn phổ biến để khách hàng có thể lựa chọn tùy theo tình trạng cơ thể và khả năng tài chính:
5.1 1 – Nhổ răng khôn bằng phương pháp truyền thống
Đây là phương pháp ra đời đầu tiên giúp điều trị hiệu quả tình trạng biến chứng do răng khôn gây ra. Mặc dù phương pháp nhổ răng truyền thống có chi phí tương đối thấp, nhưng nếu như không được nhổ răng an toàn với dụng cụ như: kìm, dao rạch, bẩy được sấy vô trùng, vô khuẩn và đội ngũ bác sĩ có tay nghề cao thì người bệnh có thể sẽ bị chảy máu kéo dài, nhiễm trùng và đau đớn. Chính vì những nguyên nhân đó mà người bệnh cần vô cùng cẩn trọng xem xét các yếu tố khi chọn lựa một cơ sở phòng khám nha khoa để thực hiện nhổ răng số 8.

Nhổ răng 8 bằng phương pháp truyền thống
5.2 2 – Nhổ răng khôn bằng sóng siêu âm Piezotome
Nhổ răng khôn bằng sóng siêu âm Piezotome là phương pháp được ra đời và áp dụng tại các cơ sở phòng khám nha khoa uy tín hiện nay. Phương pháp này giúp khắc phục những khuyết điểm của phương pháp truyền thống và người bệnh có thể tin tưởng khi nhổ răng khôn. Với việc sử dụng mũi khoan siêu mỏng và mảnh tác động nhẹ nhàng đẻ bóc tách phần nướu và lấy răng khôn ra ngoài, sau đó khóa mạch máu nhanh chóng bằng sóng siêu âm. Phương pháp Piezotome được coi là một bước nhảy mới trong việc áp dụng công nghệ tiên tiến, hiện đại và mang đến những lợi ích to lớn trong lĩnh vực răng hàm mặt nói chung và dịch vụ nhổ răng số 8 nói riêng.
6 – Nhổ răng số 8 có đau không?
Với sự ra đời của máy nhổ răng khôn siêu âm Piezotome thì việc nhổ răng khôn ngày nay hoàn toàn không gây đau đớn gì cho người bệnh vì đã được tiêm tê tại chỗ và nhẹ nhàng lấy răng không ra khỏi xương hàm. Tuy nhiên, để việc nhổ răng khôn diễn ra an toàn và không gây biến chứng gì, người bệnh cần cân nhắc, lưu ý thêm các yếu tố sau đây: Cơ sở nha khoa thực hiện có đầy đủ giấy phép hoạt động của bộ y tế không? Bác sĩ thực hiện có chứng chỉ nghề nghiệp và có tay nghề chuyên môn không? Hệ thống trang bị, thiết bị tại cơ sở thực hiện có đảm bảo và cập nhật xu hướng hiện đại không?…

7 – Nha khoa Hanseoul nhổ răng khôn uy tín
Được thành lập từ năm 2006 bởi Thạc sĩ – Bác sĩ Trần Việt Hà, Nha khoa Hanseoul tự hào khi là địa điểm tin chọn hàng đầu của quý khách hàng trên địa bàn Hà Nội và các tỉnh thành Việt Nam. Hơn 15 năm kinh nghiệm với phương châm làm việc bằng cả trái tim sẽ luôn là bàn tay “vàng” chăm sóc sức khỏe răng miệng của mọi nhà. Ở đây quy tụ những bác sĩ nha khoa nhân tài tốt nghiệp chính quy từ Đại học Y Hà Nội; hệ thống cơ sở vật chất và trang thiết bị nha khoa hiện đại nhập khẩu từ Hàn Quốc và Châu Âu – cái nôi của ngành nha khoa thế giới.
8 – Sau khi nhổ răng số 8 cần lưu ý gì không?
Sau khi nhổ răng không xong, bác sĩ nha khoa sẽ tiến hành cầm máu bằng bông gạc và chăm sóc răng khôn hậu phẫu thuật. Đây là một trong những yếu tố quan trọng giúp bệnh nhân tránh khỏi những tình trạng nhiễm trùng và các rủi ro không mong muốn có thể xảy ra. Vì thế, sau khi nhổ răng số 8 các khách hàng cần lưu ý những điểm sau đây:
- Ngậm giữ bông gạc sau phẫu thuật ít nhất 30 phút. Nếu sau 30 phút vẫn còn chảy máu thì người bệnh tiếp tục ngậm gạc và thay gạc mới sau mỗi 20 phút một lần.
- Sử dụng thuốc giảm đau đúng liều theo chỉ định của bác sĩ nha khoa

Phòng khám nha khoa quốc tế Hanseoul
- Lúc mới nhổ răng, tránh sử dụng ống hút. Lực hút mạnh sẽ làm tác động đến mô nướu, có thể làm cục máu đông tan ra khiến vết thương sau nhổ răng lâu lành hơn.
- Chú ý nên dùng những thực phẩm mềm, tránh đồ ăn có nhiệt độ quá lạnh hoặc quá nóng, đồ ăn quá dai cứng và dễ để lại vụn như: bánh quy, đồ chiên giòn…vì khi vụn thức ăn rơi vào huyệt răng nếu không vệ sinh kỹ càng sẽ dễ dẫn đến tình trạng viêm nhiễm, nguy hiểm hơn là nhiễm trùng máu.
- Kiêng tuyệt đối những thói quen độc hại cho sức khỏe răng miệng như: thuốc lá, bia rượu, cồn…Kiêng vận động mạnh, những môn thể thao mạnh như bóng đá, bơi lội, quần vợt…
- Ngay sau khi nhổ răng, người bệnh không nên đánh răng ngay mà chỉ nên súc miệng nhẹ nhàng bằng nước muối sinh lý pha loãng.
Qua bài viết trên, hy vọng rằng Nha khoa Hanseoul đã cung cấp đầy đủ thông tin chi tiết về vị trí răng số 8 ở đâu. Nếu quý khách hàng có thắc mắc về loại răng này, hay muốn đặt lịch thăm khám, vui lòng liên hệ qua hotline 0939 090 581 của chúng tôi để được hỗ trợ sớm nhất nhé!





