70 tuổi, từng mất răng vì tai nạn – giờ đây chú Vinh đã tìm lại nụ cười nhờ trồng răng implant tại HanSeoul. “Thẩm mỹ đẹp hơn, nói chuẩn hơn hẳn!” – chú vui mừng chia sẻ. Hành trình tìm lại nụ cười của chú chính là minh chứng rõ nhất cho chất lượng tại HanSeoul.
Một tai nạn nhỏ, một hệ lụy lớn
Ở tuổi 70, chú Lương Quốc Vinh (Hải Phòng) không ngờ rằng một tai nạn năm xưa lại ảnh hưởng lâu dài đến sức khỏe răng miệng của mình. Chiếc răng cửa bị lung lay sau cú ngã dần trở nên yếu đi. Một lần vô tình ăn đồ cứng, chiếc răng ấy đã vỡ ra hoàn toàn.
“Ngày xưa bị ngã nên răng lung lay, sau một thời gian ăn đồ cứng vào làm răng vỡ hẳn” – chú Vinh kể lại.
Mất răng khiến chú gặp khó khăn khi ăn nhai. Đồng thời còn ảnh hưởng đến giao tiếp hàng ngày. Lời nói không còn tròn vành rõ chữ, chú dần trở nên tự ti, ngại trò chuyện với mọi người xung quanh. 
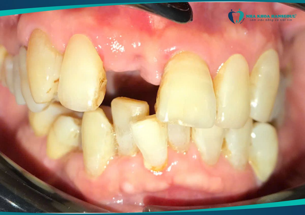
Tình trạng mất răng cửa của chú Vinh trước khi điều trị
Quyết định vượt 1675km để tìm lại nụ cười
Dù ở Hải Phòng, chú Vinh vẫn quyết định bay vào Sài Gòn thăm gia đình và tranh thủ tìm giải pháp phục hình răng. Sau khi nghe nhiều người giới thiệu về trồng răng implant tại HanSeoul, chú đã đặt niềm tin vào đây.
“Chú vào Sài Gòn chơi với gia đình, nghe nha khoa này được mọi người tín nhiệm nên đến khám và quyết định cắm implant.”
Sau khi thăm khám kỹ lưỡng, bác sĩ Hải (Nha khoa Hanseoul) nhận thấy chú bị tiêu xương do mất răng lâu ngày. Điều này khiến việc trồng răng Implant trở nên phức tạp hơn, đòi hỏi phải ghép xương trước để đảm bảo độ vững chắc cho trụ Implant.
Hành trình trồng răng implant với công nghệ Hansafe
Chú Vinh chia sẻ:
“Bác sĩ bảo phải ghép xương, chú đồng ý luôn vì xương quan trọng nhất. Chú quyết định ghép xương và cắm trụ Implant Hàn Quốc.”
Điều bất ngờ là quá trình điều trị diễn ra nhẹ nhàng, không đau đớn như chú từng lo sợ. Nhờ ứng dụng công nghệ HanSafe – phương pháp Implant lành thương nhanh, an toàn cho người lớn tuổi, chú Vinh đã hoàn thành ca phẫu thuật một cách suôn sẻ.
Chỉ sau một thời gian ngắn, chú Vinh đã có thể cảm nhận rõ sự thay đổi:
“Sau khi lắp răng, chú thấy thẩm mỹ tốt hơn, nói chuyện lời nói chuẩn hơn.”
Trồng răng implant không chỉ khôi phục chức năng ăn nhai mà còn giúp chú tự tin giao tiếp. Đặc biệt, chú nhấn mạnh rằng không hề đau trong suốt quá trình điều trị, điều mà nhiều người thường e ngại khi nghĩ đến trồng răng Implant.

Chú Vinh thực hiện phục hình răng cửa với công nghệ implant Hansafe
Lời khuyên từ chú Vinh: Đừng chần chừ khi mất răng!
Với kinh nghiệm của mình, chú Vinh gửi lời nhắn nhủ đến những ai đang gặp tình trạng tương tự:
“Chú khuyên mọi người phải bảo vệ hàm răng của mình, tránh để tình trạng như chú. Nếu mất răng thì nên kiểm tra ngay. Phương án tốt nhất là trồng răng implant để chống tiêu xương.”
Chú cũng không ngần ngại chấm 10/10 điểm cho chất lượng dịch vụ tại Nha khoa HanSeoul. Từ đội ngũ bác sĩ tận đến công nghệ, giúp chú lấy lại nụ cười một cách hoàn hảo nhất.

Chú Vinh rất hài lòng với trải nghiệm trồng răng implant tại Hanseoul
Hành trình từ chiếc răng vỡ do tai nạn đến nụ cười hoàn hảo của chú Vinh không chỉ là câu chuyện về sự kiên trì, mà còn là minh chứng rõ ràng nhất cho chất lượng trồng răng Implant tại Nha khoa HanSeoul. Câu chuyện của chú Vinh là lời khẳng định – lựa chọn HanSeoul chính là bước đầu tư đúng đắn cho sức khỏe răng miệng lâu dài.
Bạn đang tìm kiếm giải pháp phục hình răng mất vĩnh viễn, bền chắc và thẩm mỹ tự nhiên? Trồng răng Implant tại HanSeoul với công nghệ HanSafe chính là lựa chọn hoàn hảo dành cho bạn! Đừng để mất răng ảnh hưởng đến cuộc sống của bạn! Hãy inbox ngay Nha khoa Hanseoul.





