- 1 Răng sứ có bền không? Bọc răng sứ ở đâu an toàn
- 2 Đối tượng nào nên bọc răng sứ?
- 2.1 Răng bị nhiễm màu nặng
- 2.2 Răng bị vỡ, sứt mẻ
- 2.3 Răng hỏng, chết tủy
- 2.4 Răng bị hô, vẩu
- 2.5 Răng thưa, hở kẽ
- 2.6 Răng mọc lệch, lộn xộn
- 2.7 Bị mất răng
- 3 Bọc răng sứ ở đâu an toàn tại quận Cầu Giấy
- 3.1 Các loại răng sứ
- 3.2 Tay nghề của bác sĩ
- 3.3 Công nghệ sử dụng hiện đại
- 4 Bảng giá bọc răng sứ mới nhất năm 2023 tại Nha Khoa Hanseoul
Bọc răng sứ có bền không? Bọc răng sứ giữ gìn đẹp được bao lâu? Bọc răng sứ ở đâu an toàn? Hay bọc răng sứ sau bao lâu phải làm lại? …là những thắc mắc của rất nhiều người khi quan tâm về chủ đề bọc răng sứ. Trong bài viết dưới đây chúng tôi sẽ giải đáp cho bạn đầy đủ thông tin về bọc răng sứ và độ bền và cũng như những lưu ý để giữ gìn sự bền đẹp, gia tăng tuổi thọ cho răng sứ.
1 Răng sứ có bền không? Bọc răng sứ ở đâu an toàn
Trước khi tìm hiểu bọc răng sứ có bền không, bạn cũng cần có kiến thức đầy đủ về răng sứ cũng như quy trình làm răng sứ để đưa ra quyết định chính xác nhất.
Bọc răng sứ là một trong những biện pháp phục hình thẩm mỹ cho răng phổ biến nhất hiện nay. Tóm tắt quy trình thực hiện: Bác sĩ sẽ sử dụng một lớp vỏ bằng vật liệu sứ có hình dáng, kích thước và màu sắc tương tự răng thật để bọc quanh răng gốc.

2 Đối tượng nào nên bọc răng sứ?
2.1 Răng bị nhiễm màu nặng
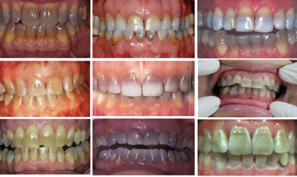
Thông thường khi phụ nữ có thai sử dụng quá nhiều thuốc kháng sinh sẽ gây ảnh hưởng tới quá trình phát triển răng của thai nhi. Do đó, đứa trẻ sinh ra có thể bị nhiễm màu kháng sinh ở răng làm mất thẩm mỹ.

Hình ảnh răng bị nhiễm màu nặng
Một số nguyên nhân làm răng xỉn màu khác như: hút thuốc lá lâu ngày, quá trình ăn uống,…Khi đó, phương pháp tẩy trắng răng thông thường không thể cải thiện được mà phải nhờ đến phương pháp bọc răng sứ – giải pháp tối ưu nhất để bạn có một hàm răng trắng đẹp.
2.2 Răng bị vỡ, sứt mẻ
Thói quen sinh hoạt hằng ngày như, dùng răng để khui nắp bia, dùng răng để cắn vật cứng hoặc do bị ngã,..khiến răng bị sứt mẻ, gãy vỡ làm ảnh hưởng xấu tới sức khỏe và tính thẩm mỹ của răng miệng. Lúc này, việc bọc răng sứ là phương án tốt nhất để khôi phục lại tình trạng răng vốn có.
2.3 Răng hỏng, chết tủy
Những chiếc răng khi đã bị chết tủy sẽ bị giòn và dễ gãy, vỡ. Bạn nên bọc răng sứ để tạo một lớp bảo vệ bên ngoài giúp bảo tồn răng thật bên sau khi đã chữa tủy răng.

Hình ảnh răng sâu dẫn tới chết tủy
2.4 Răng bị hô, vẩu
Trong những trường hợp bị hô, vẩu nhẹ bạn có thể bọc răng sứ thay vì phải niềng răng – mất một quá trình dài và đau đớn. Bọc răng sứ ở trường hợp này, chỉ cần mài lớp men răng bên ngoài rồi làm răng sứ ép vào cho đều với các răng còn lại.
Ưu điểm của phương pháp này là thời gian điều trị nhanh chóng, răng đẹp ngay sau khi thực hiện khoảng vài giờ.
2.5 Răng thưa, hở kẽ
Những trường hợp răng bị thưa nhiều không thể khắc phục bằng phương pháp hàn trám răng, hay miếng hàn quá dày gây cảm giác không chân thật, dễ bong tróc,.. lúc này bọc răng sứ sẽ giải quyết trường hợp răng thưa một cách hiệu quả.

Hình ảnh răng thưa hở kẽ
2.6 Răng mọc lệch, lộn xộn
Tình trạng răng mọc lộn xộn không chỉ làm mất đi tính thẩm mỹ mà còn làm tăng nguy cơ gây ra các bệnh lý về răng miệng phát triển. Khi lựa chọn niềng răng sẽ mất nhiều thời gian, do đó giải pháp tốt nhất cho những bạn không có thời gian mà muốn kết quả điều trị nhanh chóng, hiệu quả thì nên chọn phương pháp bọc răng sứ. Bọc răng sứ giúp răng đều và đẹp như mong muốn.
2.7 Bị mất răng
Phục hồi răng bị mất bằng phương pháp làm cầu răng sứ mang lại một hàm răng đẹp, chức năng ăn nhai tốt, che lấp đi khoảng chống mắt răng và tránh được những biến chứng do mất răng gây ra.
Làm cầu răng có ưu điểm giá thành rẻ. Tuy nhiên, hiện nay với sự phát triển của khoa học hiện đại đã phát minh ra kỹ thuật trồng răng Implant để thay thế vĩnh viễn cho phần răng thật bị mất. Bởi ưu điểm bảo hành vĩnh viễn, làm một lần – đẹp trọn đời, nhiều người đã lựa chọn trồng răng Implant hơn là làm cầu răng sứ.
3 Bọc răng sứ ở đâu an toàn tại quận Cầu Giấy
Bọc răng sứ là phương pháp có ở nhiều địa chỉ nha khoa và bệnh viện. Tuy nhiên đẻ bọc răng sứ an toàn và hiệu quả thì bạn cần tìm một địa chỉ đáng tin cậy khi thực hiện. Để đánh giá một nơi bọc răng sứ có an toàn và chất lượng không bạn có thể dựa vào các yếu tố sau:
3.1 Các loại răng sứ
Hiện nay có hai dòng răng sứ được sử dụng phổ biến là: răng sứ kim loại và răng toàn sứ (răng sứ toàn phần). Theo lời khuyên của nhiều chuyên gia và bác sĩ thì bạn nên lựa chọn răng toàn sứ sẽ tốt nhất.

Hình ảnh các dạng răng sứ đẹp
Ưu điểm của răng toàn sứ: Có màu sắc trong, bóng tự nhiên như răng thật, độ bền cao, không xuất hiện tình trạng thâm đen viền chân răng vì hoàn toàn không chứa kim loại hay hợp kim. Ngoài ra, răng toàn sứ được làm 100% từ chất liệu sứ cao cấp nên đảm bảo an toàn tuyệt đối cho người sử dụng.
3.2 Tay nghề của bác sĩ
Kết quả bọc răng sứ phụ thuộc nhiều vào tay nghề, chuyên môn cũng như kinh nghiệm của bác sĩ. Vì vậy, bạn cần cân nhắc lựa chọn một nha khoa có uy tín lâu năm, đầy đủ giấy tờ và bằng cấp.
Các bác sĩ giỏi sẽ đảm bảo kỹ thuật mài răng chính xác, kiểm soát tốt được mọi tình huống có thể xảy ra trong quá trình điều trị, không gây xâm lấn ảnh hưởng đến cấu trúc bên trong răng.
3.3 Công nghệ sử dụng hiện đại
Bên cạnh hai yếu tố trên, công nghệ tiên tiến hiện đại chính là trợ thủ đắc lực giúp quá trình bọc răng sứ thành công, chính xác, an toàn, hiệu quả. Chính vì thế, bọc răng sứ sẽ đảm bảo an toàn nếu lựa chọn đúng loại răng sứ và thực hiện ở địa chỉ nha khoa an toàn chất lượng với đội ngũ bác sĩ giỏi.
Giải đáp về những thắc mắc bọc răng sứ ở đâu an toàn tại quận Cầu Giấy, Hà Nội thì chúng tôi gợi ý với bạn về Nha Khoa Hanseoul với kinh nghiệm hơn 15 năm bọc răng sứ uy tín an toàn ở Hà Nội, nổi tiếng với Thạc sỹ – Bác sỹ Trần Việt Hà đã tu nghiệp tại Seoul, Hàn Quốc. Hơn nữa trang thiết bị sử dụng trong nha khoa đều nhập khẩu trực tiếp từ Hàn Quốc (OSstem) và châu Âu (Đức, Mỹ, Thụy Sỹ).
4 Bảng giá bọc răng sứ mới nhất năm 2023 tại Nha Khoa Hanseoul
Chi phí bọc răng sứ, bọc răng sứ giá bao nhiêu là vấn đề được nhiều người quan tâm. Tuy nhiên chi phí bọc răng sứ phụ thuộc vào nhiều yếu tố như: loại răng sứ sử dụng, công nghệ sử dụng, tay nghề bác sĩ của mỗi địa chỉ nha khoa. Bạn có thể tham khảo bảng giá bọc răng sứ của Nha Khoa Hanseoul TẠI ĐÂY
Nếu bạn cần tư vấn thêm về dịch vụ bọc răng sứ, hãy liên hệ qua hotline 0939 090 581 hoặc đến trực tiếp địa chỉ Nha Khoa Hanseoul để được hỗ trợ tốt nhất nhé!





