Bọc răng sứ thẩm mỹ là giải pháp phục hình răng được nhiều người ưa chuộng giúp khắc phục các khuyết điểm về răng như răng xỉn màu, răng khấp khểnh, răng bị nứt, vỡ,… đồng thời bảo vệ sức khỏe răng miệng cũng như đảm bảo tính thẩm mỹ cao. Bài viết dưới đây của Nha khoa Hanseoul sẽ giúp bạn hiểu rõ hơn về kỹ thuật này.
1 Bọc răng sứ thẩm mỹ là gì?
Bọc răng sứ thẩm mỹ là phương pháp được sử dụng nhằm phục hình những chiếc răng bị khiếm khuyết bằng vật liệu sứ, giúp mang lại hàm răng đều đẹp và khôi phục chức năng ăn nhai như bình thường. Để thực hiện phương pháp này, trước hết, bác sĩ sẽ mài nhẹ răng có khiếm khuyết để làm cùi răng, sau đó lắp mão răng sứ lên trên.
Phần mão được lắp này được làm sứ cao cấp, có độ trong và màu sắc trắng sáng rất giống với răng thật, vừa có tác dụng cải thiện thẩm mỹ vừa giúp bảo vệ răng thật trước các tác nhân gây hại.
Hiện nay, có 2 phương pháp làm răng sứ được sử dụng rộng rãi:
- Dán sứ: sử dụng mặt dán làm bằng lớp răng sứ mỏng nguyên khối để dán lên mặt trước của răng thật, phù hợp với những người có cung răng đều và đẹp sẵn.

- Bọc sứ: sử dụng răng sứ để chụp lên trên phần răng thật đã được mài thành cùi răng.

Các dáng răng sứ được yêu thích nhất hiện nay:
- Dáng tự nhiên
- Dáng vuông
- Dáng Korea
- Dáng răng thỏ
- Dáng tròn đều
- Dáng răng khểnh
- Dáng thỏ nhẹ
2 Ai nên bọc răng sứ thẩm mỹ?
Bọc răng sứ thẩm mỹ được chỉ định trong các trường hợp sau:
- Răng bị nhiễm màu nặng do nhiễm Fluor hoặc sử dụng kháng sinh Tetracycline.
- Những người có bệnh lý thiểu sản men (men răng yếu) hoặc tạo men bất toàn (quá trình tạo men răng không được hoàn thiện).
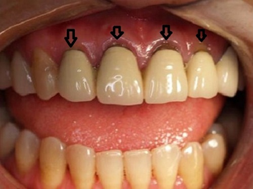
Hình ảnh những trường hợp nên bọc răng sứ
- Những người bị sâu răng nặng, bị mất răng, răng khấp khểnh, lệch lạc nhẹ, răng mẻ, răng thưa,…
- Những người không có thời gian niềng răng.
3 Quy trình bọc răng sứ thẩm mỹ
Để đạt hiệu quả cao, an toàn và độ bền lâu dài, quy trình bọc răng sứ thẩm mỹ phải được tiến hành khép kín theo đúng chuẩn trình tự các bước như sau:
- Bước 1: Thăm khám, chụp phim X-quang, tư vấn và lên phác đồ điều trị
- Bước 2: Gây tê và mài răng để tạo hình cùi răng
- Bước 3: Lấy dấu mẫu hàm của bệnh nhân và thiết kế răng sứ dựa trên dấu mẫu hàm đã lấy
- Bước 4: Gắn răng tạm thời cho bệnh nhân trong quá trình chờ đợi tạo răng sứ.
- Bước 5: Thực hiện bọc mão răng sứ phục hình và hẹn lịch tái khám để kiểm tra tình trạng răng.
4 Một số vấn đề có thể xảy ra sau khi bọc răng sứ thẩm mỹ
Tay nghề của bác sĩ và việc chăm sóc răng sứ tại nhà có ảnh hưởng rất lớn đến bộ bền đẹp của răng sứ. Nếu không được làm đúng cách, trong quá trình sử dụng, răng sứ có thể gặp các vấn đề sau:
- Răng bị đen viền nướu: đây là một trong những vấn đề thường thấy nhất sau khi bọc răng sứ. Tình trạng này xảy ra khi tuổi thọ của răng đã đạt đến ngưỡng cao nhất. Những người gặp tình trạng này thường là những người lựa chọn dòng răng sứ kim loại với cấu tạo phần khung được làm từ kim loại nên có độ bền không cao. Theo thời gian, trong môi trường khoang miệng, răng sẽ xảy ra phản ứng gây đen viền nướu. Để khắc phục tình trạng này, bạn hãy lựa chọn răng sứ hoàn toàn bằng sứ để có độ tương thích cao, tuổi thọ dài và đảm bảo độ cứng chắc để ăn nhai cũng như đảm bảo tính thẩm mỹ, không bị đen viền nướu ngay cả khi sử dụng trong thời gian dài.

- Bị cộm, cấn: hiện tượng này xảy ra do mão sứ được sản xuất với kích thước quá dày hoặc do mài cùi răng sai cách khiến tỷ lệ giữa răng thật và mão sứ không được đảm bảo, làm gia tăng nguy cơ bị hở chân răng. Việc sử dụng mão sứ chất lượng kém hoặc gắn lệch có thể khiến bạn bị lệch khớp hàm và gây khó khăn cho việc ăn nhai.
- Răng bị ê buốt: tình trạng này có thể gia tăng khi sử dụng các loại đồ ăn quá nóng hoặc quá lạnh. Một số nguyên nhân có thể dẫn đến tình trạng có thể kể đến như sau:
- Răng thật bị mài với kích thước quá lớn ảnh hưởng đến tủy răng phía trong.
- Kỹ thuật bọc răng sứ không đúng cách khiến diện tích răng thật bị mất nhiều và làm lộ ngà răng.
5 Địa chỉ bọc răng sứ uy tín
Tay nghề bác sĩ, chất lượng răng sứ và công nghệ sử dụng là những yếu tố quan trọng nhất ảnh hưởng đến chất lượng của răng sứ sau khi bọc. Nếu bạn vẫn đang băn khoăn tìm kiếm một địa chỉ bọc răng sứ thẩm mỹ uy tín, hãy tham khảo ngay dịch vụ của Nha khoa Hanseoul.
- Phục vụ tận tâm, tư vấn tận tình: Nha khoa Hanseoul luôn đề cao tính cá nhân hóa để đảm bảo hiệu quả trong quá trình bọc răng sứ thẩm mỹ cho khách hàng. Mỗi khách hàng đến đây đều sẽ được bác sĩ phụ trách thăm khám và giải đáp mọi thắc mắc về quá trình phục hình răng. Trường hợp khách hàng mắc một số bệnh lý về răng miệng khác, Hanseoul cũng sẽ tư vấn điều trị triệt để trước khi bọc răng sứ.
- Đội ngũ nhân viên chuyên nghiệp: tất cả các bác sĩ tại Nha khoa Hanseoul đều là những người được đào tạo bài bản về nha khoa thẩm mỹ, 100% tốt nghiệp đại học chuyên ngành Răng Hàm Mặt và có thời gian tu nghiệp tại nước ngoài. Vì thế, khách hàng có thể hoàn toàn tin tưởng về tay nghề của các bác sĩ tại nha khoa.

Hình ảnh các bác sĩ tại nha khoa Hanseoul
- Công nghệ hiện đại, máy móc tiên tiến: hệ thống trang thiết bị được sử dụng tại Nha khoa Hanseoul đều được nhập khẩu hoàn toàn từ nước ngoài, được Bộ Y tế cấp phép và cập nhật theo từng năm. Ngoài ra, hệ thống vô trùng luôn được nha khoa đề cao để đảm bảo an toàn cho khách hàng. Các vật dụng y tế đều sẽ được sát khuẩn đầy đủ trước khi đem ra sử dụng cho khách hàng, hạn chế tối đa nguy cơ nhiễm khuẩn chéo trong quá trình thực hiện.
- Giá cả công khai, bảo hành lâu dài: Nha khoa Hanseoul áp dụng mức giá phù hợp, tương xứng với chất lượng dịch vụ. Mọi thông tin về chi phí và cách thanh toán sẽ được thông báo rõ ràng và minh bạch đến khách hàng và chỉ thực hiện bọc răng sứ khi khách hàng đã đồng ý với thỏa thuận. Đối với mỗi loại răng sứ, nha khoa sẽ có chế độ bảo hành khác nhau để khách hàng yên tâm sử dụng. Ngoài ra, nha khoa còn có chính sách trả góp để làm giảm tải gánh nặng tài chính cho khách hàng khi chưa có đủ kinh phí.
Bảng giá tham khảo bọc răng sứ thẩm mỹ tại Nha khoa Hanseoul:
| Tên dịch vụ | Đơn giá | Đơn vị tính | Thời gian bảo hành |
| Răng kim loại toàn phần | 1.000.000 | 1 Răng | |
| Răng kim loại Chrome Cobalt (Co-Cr) | 1.500.000 | 1 Răng | |
| Răng kim loại titanium phủ sứ | 3.000.000 | 1 Răng | 2 năm |
| Răng sứ toàn phần Katana (xuất xứ Nhật) | 4.000.000 | 1 Răng | 7 năm |
| Răng sứ toàn phần Zirconia ( xuất xứ Đức) | 5.000.000 | 1 Răng | 7 năm |
| Răng sứ toàn phần Cercon | 6.000.000 | 1 Răng | 7 năm |
| Răng sứ toàn phần Emax ( xuất xứ Đức) | 7.000.000 | 1 Răng | 10 năm |
| Răng sứ toàn phần Lava 3M ( xuất xứ Mỹ) | 10.000.000 | 1 Răng | 15 năm |
| Răng sứ veneer Emax | 8.000.000 | 1 Răng | 10 năm |
| Inlay- Onlay sứ Emax | 5.000.000 | 1 Răng | 10 năm |
Đến ngay Nha khoa Hanseoul để được thăm khám, tư vấn và lựa chọn dịch vụ bọc răng sứ thẩm mỹ an toàn, mang lại hàm răng trắng sáng, đều đẹp. Để được giải đáp thắc mắc về dịch vụ bọc răng sứ thẩm mỹ và đặt lịch khám tại Nha khoa Hanseoul, hãy liên hệ đến số hotline 0939 090 581.





