- 1 Cao răng được hiểu như thế nào?
- 2 Có nên lấy cao răng không? Việc này mang lại lợi ích gì?
- 3 Chi phí lấy cao răng đắt hay rẻ? Hết bao nhiêu tiền?
- 4 Quy trình lấy cao răng tại nha khoa chuẩn Quốc tế được thực hiện ra sao?
- 4.1 Bước 1: Thăm khám và tư vấn phương án điều trị hiệu quả, phù hợp
- 4.2 Bước 2: Vệ sinh răng miệng sạch sẽ trước khi thực hiện lấy cao răng
- 4.3 Bước 3: Tiến hành lấy cao răng bằng công nghệ hiện đại, tiên tiến
- 4.4 Bước 4: Đánh bóng và kết thúc quá trình thực hiện
- 5 Lưu ý cách sóc răng sau khi lấy cao răng
- 6 Nha khoa Quốc tế Hanseoul – Địa chỉ lấy cao răng uy tín ở Hà Nội
- 6.1 Sử dụng công nghệ lấy cao răng tiên tiến, gấp đôi hiệu quả, rút ngắn thời gian
- 6.2 Đội ngũ y bác sĩ chuyên nghiệp thực hiện nhẹ nhàng, không đau
- 6.3 Hệ thống trang thiết bị hiện đại nhất trên thị trường trong giới nha khoa
Cao răng là một chất lắng cặn của muối vô cơ, chất này bám chắc vào bề mặt răng và bên dưới mép lợi. Đây chính là tác nhân gây ra một số vấn đề đối với sức khỏe răng miệng ở mỗi người. Vậy có nên lấy cao răng không? Cần lấy cao răng khi nào? Hãy cùng Nha khoa Hanseoul tìm hiểu chi tiết hơn qua nội dung bài viết sau đây nhé!
1 Cao răng được hiểu như thế nào?
Những mảng bám, mảnh vụn thức ăn thừa trong khoang miệng, bị giắt vào kẽ răng nếu không được loại bỏ thường xuyên sẽ bị vôi hóa và thành cao răng. Nếu như cao răng thường có màu trắng đục hoặc vàng nhạt thì cao răng huyết thanh lại có màu đỏ thẫm do bị nhiễm máu từ các bệnh lý như: viêm chân răng, viêm nha chu,viêm nướu,…

Thông thường, cao răng sẽ bám chắc vào bề mặt răng hoặc dưới vị trí mép lợi, gây khó khăn trong việc vệ sinh răng miệng hàng ngày. Đây chính là môi trường thuận lợi để các vi khuẩn có hại xâm nhập, phát triển mạnh mẽ và gây ra các tình trạng răng miệng như:
– Khiến hơi thở của bạn có mùi hôi khó chịu, gây mất tự tin
– Khiến phá hủy men răng nếu để lâu ngày
– Khiến sâu răng, rụng răng
– Xảy ra tình trạng viêm lợi, viêm nướu, viêm nha chu,…
– Ê buốt, chảy máu chân răng thường xuyên
– Rất dễ bị tụt lợi
– Gây ra viêm tủy răng
Đa phần, cao răng được hình thành từ những thói quen vệ sinh răng miệng kém khoa học, không đúng cách. Đồng thời, việc sử dụng nhiều thực phẩm có chứa đường, tính axit cao hay sử dụng đồ uống có cồn, có ga,… cũng khiến cho tốc độ hình thành cao răng trở nên dễ dàng và nhanh chóng hơn. Bởi vậy, các bác sĩ luôn khuyến cáo mọi người cần vệ sinh răng miệng khoa học để loại bỏ, ngăn ngừa mảng bám trên răng.
2 Có nên lấy cao răng không? Việc này mang lại lợi ích gì?
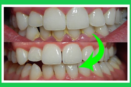
Cao răng là một trong những bệnh lý về răng miệng phổ biến, làm mất thẩm mỹ và gây ra nhiều vấn đề như: đau nhức chân răng, hôi miệng, ê buốt, viêm nướu,… Vì vậy, việc lấy cao răng là điều rất cần thiết. Dưới đây là những lợi ích từ việc lấy cao răng mang lại mà bạn có thể chưa biết:
- Ngăn ngừa chảy máu chân răng: Những mảng bám quanh chân răng sẽ tích tụ rất nhiều vi khuẩn, gây khó khăn trong việc vệ sinh răng miệng mỗi ngày. Từ đó, cao răng sẽ làm cho vùng nướu, lợi dễ bị viêm nhiễm và chảy máu chân răng. Việc lấy cao răng định kỳ là cách giúp chân răng được thông thoáng và ngăn chặn được tình trạng bệnh răng miệng.

- Phòng tránh các bệnh lý về răng miệng: Khi lớp cao răng được hình thành, chúng sẽ thu hút một số loài vi khuẩn có hại như: Veillonella, Actinomyces, Capnocytophaga hay Streptococcus (vi khuẩn gây ra sâu răng). Và nếu không sớm được làm sạch, loại bỏ triệt để thì các chủng vi khuẩn này sẽ xâm nhập và gây ra nhiều vấn đề khác mà bạn không muốn: hôi miệng, có mùi khó chịu, viêm nướu, áp xe, v.v.
- Lấy cao răng giúp răng của bạn trở nên trắng sáng hơn: Thông thường cao răng sẽ có màu vàng hoặc nặng hơn là màu nâu, màu đen. Khi có quá nhiều mảng bám cao răng sẽ vô tình khiến nụ cười của bạn sẽ trở nên mất thẩm mỹ và kém duyên hơn khi trò chuyện, giao tiếp. Không những vậy, vôi răng cũng dễ bị nhiễm màu nên khi sử dụng các đồ ăn sẫm màu, các đồ uống như trà hay cà phê thì chúng sẽ nhanh chóng chuyển qua màu đậm hơn, gây mất thẩm mỹ nhiều hơn bình thường.
3 Chi phí lấy cao răng đắt hay rẻ? Hết bao nhiêu tiền?
Hiện nay, chi phí lấy cao răng sẽ có sự chênh lệch ở các cơ sở nha khoa. Tại Nha khoa Hanseoul, chỉ với giá 200.000 đồng, bạn sẽ được các bác sĩ lấy cao răng, đánh bóng nhanh chóng, hiệu quả bằng công nghệ hiện đại nhất trên thế giới. Chính vì vậy, đến Hanseoul lấy cao răng định kỳ không chỉ giúp bạn có một hàm răng khỏe mạnh, sáng bóng mà còn tiết kiệm chi phí, trải nghiệm dịch vụ chuẩn quốc tế.
4 Quy trình lấy cao răng tại nha khoa chuẩn Quốc tế được thực hiện ra sao?
4.1 Bước 1: Thăm khám và tư vấn phương án điều trị hiệu quả, phù hợp
Thăm khám là bước quan trọng đầu tiên để các bác sĩ xác định được mức độ cao răng của bệnh nhân. Từ kết quả thăm khám, các bác sĩ sẽ đưa ra lời khuyên và phương án điều trị cụ thể, chi tiết nhất.
4.2 Bước 2: Vệ sinh răng miệng sạch sẽ trước khi thực hiện lấy cao răng
Ở bước này, các bác sĩ sẽ sử dụng dung dịch y tế chuyên dụng trong nha khoa để vệ sinh răng miệng trước khi thực hiện loại bỏ cao răng hoàn toàn.

Việc này sẽ giúp làm lộ ra phần cao răng cần lấy, hạn chế nguy cơ cao răng còn sót lại. Đồng thời, đảm bảo môi trường sạch khuẩn trước khi lấy cao răng.
4.3 Bước 3: Tiến hành lấy cao răng bằng công nghệ hiện đại, tiên tiến
Để việc lấy cao răng đạt kết quả cao nhất, bác sĩ sẽ thực hiện cạo vôi răng trên toàn bộ hàm răng. Các mảng bám răng ở mặt trước, sau, đường viền nướu, các kẽ răng,.. sẽ được loại bỏ, làm sạch hoàn toàn một cách nhẹ nhàng, không đau, không chảy máu.
4.4 Bước 4: Đánh bóng và kết thúc quá trình thực hiện
Tại nha khoa Quốc tế Hanseoul sẽ có thêm bước đánh bóng răng cho bệnh nhân mà không phải ở nha khoa nào cũng thực hiện. Bước này sẽ giúp răng bạn bóng sáng hơn, loại bỏ nốt những mảng bám còn sót lại trên răng và hỗ trợ ngăn ngừa các mảng bám quay trở lại trong thời gian dài.
Thông thường, quá trình lấy cao răng sẽ diễn ra trong khoảng thời gian từ 15-20 phút/ ca tùy trình trạng răng miệng của mỗi người.
5 Lưu ý cách sóc răng sau khi lấy cao răng
Sau khi lấy cao răng, nướu và men răng rất nhạy cảm nên cần được chăm sóc với một chế độ đặc biệt trong khoảng từ 3 đến 4 ngày. Các bác sĩ tại Nha khoa Quốc tế Hanseoul cho biết, để bảo vệ răng miệng ngăn ngừa sự tấn công của vi khuẩn và mảng bám, cao răng, bệnh nhân cần chăm sóc răng theo những lưu ý dưới đây:
- Cần chải răng nhẹ nhàng với bàn chải lông mềm, chải đều khắp các mặt răng.
- Vệ sinh răng miệng đều đặn 2 đến 3 lần mỗi ngày, vào lúc trước khi đi ngủ, sau khi ăn, sau khi thức dậy.
- Hạn chế chải răng quá lâu trên 2 phút bởi điều này có thể làm mòn men răng.
- Để loại bỏ thức ăn thừa trong kẽ răng sau khi ăn, bạn có thể sử dụng chỉ nha khoa hoặc máy tăm nước để làm sạch.

- Ăn uống với những thực phẩm lành mạnh, nhiều rau xanh, trái cây tươi để tăng cường chất xơ, Hạn chế ăn những thức ăn chứa nhiều dầu mỡ, nhiều đường và có tính axit cao.
- Không nên hút thuốc, uống rượu bia hay đồ uống có cồn, ga,.. bởi trong chúng có chứa nhiều chất gây hại cho sức khỏe răng miệng của bạn.
- Thăm khám sức khỏe răng miệng định kỳ hoặc khi phát hiện các dấu hiệu bất thường như chảy máu, sưng nướu, mưng mủ… thì nên đến nha khoa để được kiểm tra kịp thời.
6 Nha khoa Quốc tế Hanseoul – Địa chỉ lấy cao răng uy tín ở Hà Nội
Một địa chỉ nha khoa uy tín cần đáp ứng được đầy đủ các tiêu chí về độ an toàn, hiệu quả, được thực hiện bằng công nghệ tiên tiến cũng như bác sĩ giàu kinh nghiệm thực chiến. Tất cả những yếu tố này đều được đáp ứng đầy đủ tại Nha khoa Hanseoul – Được khách hàng đánh giá là địa chỉ lấy cao răng Hà Nội uy tín nhất trên thị trường.
6.1 Sử dụng công nghệ lấy cao răng tiên tiến, gấp đôi hiệu quả, rút ngắn thời gian
Tại Nha khoa Hanseoul, dịch vụ lấy cao răng luôn đi đầu trong việc áp dụng công nghệ siêu âm mới nhất trên thị trường nay. Qua đó, các mảng bám sẽ được loại bỏ nhanh chóng, sạch sẽ, an toàn.
6.2 Đội ngũ y bác sĩ chuyên nghiệp thực hiện nhẹ nhàng, không đau
Khách hàng đến lấy cao răng tại Nha khoa Hanseoul sẽ được các nha sĩ giàu kinh nghiệm trực tiếp thăm khám, điều trị. Đảm bảo thực hiện các bước đúng quy trình diễn ra nhẹ nhàng, không đau, không chảy máu.

Lấy cao răng tại nha khoa Hanseoul
6.3 Hệ thống trang thiết bị hiện đại nhất trên thị trường trong giới nha khoa
Bên cạnh sử dụng công nghệ tiên tiến, việc đầu tư vào máy móc, thiết bị hiện đại sẽ góp phần giúp bác sĩ thực hiện lấy cao răng hiệu quả hơn. Tại Nha khoa Hanseoul, trước khi lấy cao răng thì bác sĩ sẽ kiểm tra răng miệng một lượt để xác định rõ vấn đề răng miệng bệnh nhân gặp phải để đưa ra phương án điều trị phù hợp, hiệu quả nhất.
Tất cả máy móc thăm khám hỗ trợ Nha khoa Hanseoul lấy cao răng đều chất lượng cao, nhập khẩu từ nước ngoài nên đảm bảo cho bác sĩ thao tác nhẹ nhàng, chính xác.
Trải qua 15 năm hoạt động, đến nay đã có hàng nghìn khách hàng đến lấy cao răng tại Nha khoa Hanseoul và đều là khách hàng thường xuyên tại Hà Nội.
Nha khoa Hanseoul tự hào là một địa chỉ lấy cao răng Hà Nội uy tín với mức chi phí rẻ mà chất lượng cao. Trong trường hợp mọi người vẫn còn băn khoăn về việc lấy cao răng thì có thể liên hệ ngay với nha khoa qua số hotline 0939.090.581 các bác sĩ sẽ tư vấn cụ thể và chi tiết hơn từng khách hàng.





