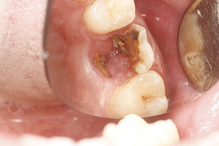
Răng số 8 bị sâu vỡ là có thể xảy ra ở bất cứ người trưởng thành nào. Do răng số 8 nằm ở vị trí sâu bên trong cùng của hàm, rất khó vệ sinh và ảnh hưởng nhiều tới sức khỏe răng miệng. Vậy đâu là nguyên nhân khiến răng số 8 bị sâu vỡ và có nên nhổ răng số 8 bị sâu không? Cùng nha khoa Hanseoul tìm hiểu qua bài viết dưới đây để có lời giải đáp chi tiết nhất.
1 Nguyên nhân gây ra tình trạng răng số 8 bị sâu vỡ
Răng số 8 khi mọc nằm ở vị trí cuối cùng của cung hàm, thường có 4 răng số 8 (2 cái hàm trên và 2 cái hàm dưới). Răng số 8 thường bị mọc lệch, mọc ngầm và có nhiều chân răng, gây ra rất nhiều vấn đề khiến người bệnh khó chịu như đau nhức, hôi miệng, viêm nhiễm.
Đồng thời, việc vệ sinh răng miệng ở khu vực răng số 8 thường không được đảm bảo khiến thức ăn dễ mắc kẹt lại và tích tụ vi khuẩn gây hại.
Việc răng số 8 bị sâu vỡ có rất nhiều nguyên nhân, đa số do tác động từ việc ăn uống và vệ sinh hàng ngày. Dưới đây là các nguyên nhân phổ biến nhất của tình trạng này:
- Chấn thương: đây là tình huống hiếm gặp vì thông thường khi bệnh nhân đến thăm khám, đa số răng số 8 đã bị vỡ, mẻ hơn 50% do hàm trên và hàm dưới cùng tác động một lực quá lớn.
- Ăn đồ quá cứng: các loại thực phẩm như kẹo cứng, nước đá,… là một trong những yếu tố xúc tác khiến răng số 8 bị sâu vỡ. Vì răng số 8 ở vị trí khuất nên bệnh nhân thường không nhìn rõ tình trạng răng để tránh ăn những loại đồ ăn này.

- Thiếu canxi: đây chính là nguyên nhân chính gây vỡ răng số 8. Thực tế, không chỉ răng số 8 mà việc thiếu hụt canxi còn là tiền đề cho các vấn đề của cả hàm răng. Vì vậy, ngay từ nhỏ, chúng ta cần chú ý bổ sung đầy đủ loại chất này để đảm bảo sự phát triển ổn định của răng miệng.
- Nghiến răng: việc lặp lại thường xuyên thói quen này sẽ tạo nên cọ xát và làm mòn men răng từ đó khiến vi khuẩn dễ dàng xâm nhập hơn và nhanh chóng ăn sâu vào tủy.
2 Tác hại của răng số 8 bị sâu vỡ
- Thân răng bị phá hủy, răng bị vỡ, mẻ và chỉ còn lại phần chân răng ảnh hưởng lớn đến chức năng ăn nhai.
- Răng khi bị nứt, phần lợi sẽ lan vào bên trong hốc sâu răng và bị sưng lên, gây đau nhức và chảy máu khi ăn nhai khiến tình trạng viêm nhiễm dễ xảy ra.

- Sâu răng số 8 nếu không được chữa trị kịp thời có thể sẽ lây lan sang những chiếc răng hàm lân cận – đây đều là những chiếc răng có vai trò quan trọng đối với chức năng ăn nhai.
- Răng số 8 bị vỡ tạo ra khe hở trên răng, trở thành nơi tích tụ mảng bám và thức ăn thừa, gây hôi miệng.
- Răng số 8 khi bị sâu vỡ gây ra đau nhức, khó chịu và ảnh hưởng rất nhiều đến cuộc sống sinh hoạt hàng ngày.
- Trường hợp răng số 8 bị sâu nghiêm trọng, sâu răng ăn vào tủy có thể gây ra viêm chóp răng hoặc áp xe xương ổ răng.
3 Giải pháp xử lý khi răng số 8 bị sâu vỡ
Lời khuyên hữu ích nhất dành cho bạn khi bị sâu vỡ răng số 8 đó là, hãy đến bệnh viện hoặc các cơ sở nha khoa để thăm khám và tư vấn phương hướng xử lý phù hợp nhất. Nếu như các răng khác của cung hàm bị sâu vỡ, bác sĩ sẽ ưu tiên việc bảo tồn răng thật và tìm ra giải pháp tối ưu để không phải nhổ răng thì đối với răng số 8, đa số trường hợp đều được chỉ định nhổ bỏ.
Thực tế, việc nhổ bỏ răng số 8 không gây bất kỳ ảnh hưởng nào bởi đây là chiếc răng không có chức năng ăn nhai. Ngoài ra, răng số 8 khi được nhổ bỏ sẽ giúp hạn chế tối đa các biến chứng nguy hiểm có thể xảy ra sau này và tránh nguy cơ lây lan sâu răng sang các răng lân cận.

Một số trường hợp răng số 8 bị sâu vỡ không cần tiến hành nhổ bỏ để điều trị mà có thể lựa chọn trám răng hoặc bọc sứ để phục hình. Tuy nhiên, chiếc răng đó phải đảm bảo điều kiện mọc thẳng hoặc chỉ sâu ở mức độ nhẹ.
4 Các bước nhổ răng số 8 bị sâu vỡ
Việc nhổ bỏ răng số 8 đòi hỏi kỹ thuật nhổ phức tạp hơn các răng thông thường. Quy trình nhổ răng số 8 phải được đảm bảo thực hiện theo các bước như sau:
- Bước 1: Đầu tiên, bác sĩ sẽ cần thăm khám để hiểu rõ tình trạng bạn đang mắc phải đồng thời đưa ra chẩn đoán có nên nhổ bỏ hay không. Sau đó, bác sĩ sẽ quyết định phương pháp nhổ và thông báo đến khách hàng.
- Bước 2: Vệ sinh răng miệng sạch sẽ – đây là bước quan trọng trong mọi cuộc phẫu thuật giúp đảm bảo độ an toàn cho răng miệng, tránh lây lan sang các vùng khác.
- Bước 3: Tiêm thuốc tê để giúp bệnh nhân không bị đau đớn trong quá trình nhổ. Vì răng số 8 thường có nhiều răng chân nên thời gian nhổ diễn ra tương đối lâu và cần kỹ thuật khó để có thể lấy ra toàn bộ chân răng.
- Bước 4: Tiến hành nhổ răng khôn bằng máy sóng siêu âm Piezotome. Đây là phương pháp nhổ răng số 8 tiên tiến nhất hiện nay, giúp giảm thiểu đau nhức ở mức tối đa và không gây biến chứng sau khi nhổ.
- Bước 5: Bác sĩ sẽ vệ sinh lại răng miệng sau khi nhổ và hướng dẫn bệnh nhân cách chăm sóc phục hồi tại nhà.
5 Nha khoa Hanseoul – địa chỉ điều trị răng số 8 bị sâu vỡ uy tín
Điều trị sâu răng khôn và nhổ răng khôn là một kỹ thuật khó, đòi hỏi bác sĩ phải có tay nghề cao, kinh nghiệm tốt và thiết bị, máy móc hỗ trợ hiện đại. Do đó, việc tìm kiếm địa chỉ nha khoa uy tín để tư vấn và điều trị hiệu quả là việc vô cùng quan trọng.
Trong suốt nhiều năm hoạt động, nha khoa Hanseoul luôn được khách hàng đánh giá cao về chất lượng dịch vụ. Mọi vấn đề về răng số 8, trong đó có sâu răng số 8 đều được giải quyết nhanh chóng, hiệu quả, nhẹ nhàng và an toàn.

Nha khoa Hanseoul sử dụng máy sóng siêu âm Piezotome để thực hiện nhổ răng số 8 và luôn tuân thủ các tiêu chuẩn vô trùng giúp quá trình nhổ răng khôn diễn ra an toàn, tránh biến chứng và tình trạng nhiễm trùng, lây nhiễm chéo có thể xảy ra. Bên cạnh đó, dịch vụ chăm sóc khách hàng cũng luôn được khách hàng đánh giá cao vì sự nhiệt tình, chu đáo của tất cả các nhân viên tại phòng khám.
Trên đây là những thông tin về nguyên nhân, tác hại và cách xử lý răng số 8 bị sâu vỡ. Nếu có bất kỳ dấu hiệu nào bất thường, hãy liên hệ ngay với nha khoa Hanseoul theo số hotline 0939 090 581 để được thăm khám và đưa ra biện pháp xử lý kịp thời.





