Hối hận khi trồng implant giá rẻ là một thực tế xảy ra với rất nhiều bệnh nhân bởi kết quả không được như ý muốn, mặt khác còn mang lại các biến chứng nặng nề. Do đó, trước khi có ý định cấy implant răng và để không bao giờ có suy nghĩ hối hận khi trồng implant bạn hãy tham khảo ngay những thông tin sau đây từ nha khoa Hanseoul nhé.
1 Các lý do khách hàng hối hận khi trồng Implant giá rẻ
Dưới đây là những lý do phổ biến mà khách hàng cảm thấy hối hận khi trồng implant:
Hối hận khi trồng Implant vì kết quả không như ý
Kết quả được coi là không như ý muốn của bệnh nhân có thể liên quan đến hình dáng chiếc răng implant, màu sắc mão sứ sau khi lắp hoặc vị trí của Implant không đúng trên cung hàm.
Khi xảy ra một trong những vấn đề nêu trên, chắc chắn khách hàng nào cũng sẽ cảm thấy thật tồi tệ và thất vọng, hối hận khi đã quyết định trồng răng implant.
Hối hận khi trồng Implant vì quá đau, khó chịu sau khi cấy
Trồng răng implant là một quá trình phức tạp, đòi hỏi tay nghề chuyên môn cao của bác sĩ thực hiện và khi hàm răng bị tác động thì chắc chắn sẽ gây đau đớn, khó chịu ít nhiều trong và sau khi phẫu thuật.

Nhờ công nghệ hiện đại, máy móc trang thiết bị tân tiến và đặc biệt là bàn tay khéo léo của bác sĩ sẽ giúp khách hàng bớt cảm giác đau đớn hơn rất nhiều. Tuy nhiên, tại một số cơ sở nha khoa kém chất lượng, vật tư y tế cũng như trang thiết bị không đảm bảo sẽ làm cho bệnh nhân trải qua những cảm giác tồi tệ sau ca mổ. Hoặc bác sĩ không dặn dò kỹ lưỡng về việc chăm sóc, chú trọng khi ăn uống hay vệ sinh răng miệng.
Chưa kể, nếu trụ Implant không tích hợp với xương hàm, bị đào thải, nhiễm trùng thì tình trạng đau đớn, sưng tấy còn trở nên nghiêm trọng hơn rất nhiều.
Hối hận khi trồng Implant vì chức năng ăn nhai suy giảm
Trong nhiều trường hợp, bệnh nhân sẽ cảm thấy thật khó để ăn nhai sau khi trồng implant, cảm giác ăn nhai không thật, gượng gạo. Điều này xảy ra khi implant không phù hợp với xương hàm của bệnh nhân, không thể tương thích dẫn đến chức năng ăn nhai suy giảm.
Đặc biệt, nếu implant không tích hợp sẽ dẫn đến nhiều hệ quả nghiêm trọng, trong đó có giảm khả năng cắn và nghiền nát thức ăn.
Bên cạnh đó, sự không ổn định của Implant có thể dẫn đến khó khăn khi nhai và ảnh hưởng đến chức năng ăn uống của khách hàng.
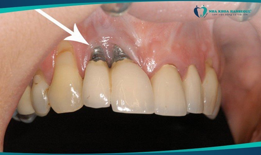
Viêm quanh trụ Implant
Đây là lý do khiến cho nhiều khách hàng cảm thấy vô cùng hối hận khi trồng implant. Viêm quanh trụ Implant là tình trạng viêm nhiễm xảy ra xung quanh khu vực cấy ghép có thể dẫn đến nguy cơ đào thải.
Nếu không được điều trị kịp thời và hiệu quả, tình trạng trên có thể gây nhiễm trùng, làm tiêu xương xung quanh trụ Implant, trụ có thể rơi ra ngoài.

Nguyên nhân chính của nguyên nhân này phần lớn là do cách vệ sinh và chăm sóc răng miệng không đúng cách của bệnh nhân sau khi cấy ghép Implant.
Để tránh tình trạng viêm quanh trụ Implant, bệnh nhân cần thực hiện vệ sinh miệng đúng cách và tuân thủ các hướng dẫn của bác sĩ.
2 Giải pháp cho những ai hối hận sau khi trồng implant
Điều trị viêm quanh trụ Implant
Đây là việc bắt buộc phải làm càng sớm càng tốt để tránh những biến chứng nặng nề hơn có thể xảy ra như mất xương hàm và thậm chí là đào thải trụ Implant.
Một số phương pháp xử lý tình trạng viêm quanh trụ Implant tại phòng khám nha:
Làm sạch răng miệng chuyên sâu: Đây chính là bước để loại bỏ mảng bám và chất bẩn xung quanh Implant. Nha sĩ sẽ sử dụng các công cụ chuyên dụng để vệ sinh sâu vùng quanh Implant và loại bỏ mảng bám, vôi và ổ vi khuẩn gây viêm.
Chống vi khuẩn: Sử dụng thuốc chống vi khuẩn có thể được chỉ định để kiểm soát tình trạng viêm nhiễm trụ implant.
Thay đổi thói quen chăm sóc răng miệng: Tùy từng trường hợp mà bác sĩ sẽ yêu cầu bệnh nhân thay đổi các thói quen chăm sóc răng miệng hàng ngày, bao gồm cách đánh răng, sử dụng chỉ nha khoa, chế độ ăn uống và lịch hẹn định kỳ để theo dõi tình trạng Implant.
Sửa chữa hoặc thay thế Implant
Nếu trụ Implant bị cấy ghép sai vị trí, không tương thích hay có chất lượng kém thì việc sửa chữa hoặc thay thế trụ mới sẽ được chỉ định cho bệnh nhân.
Để biết chính xác phương pháp điều trị nào phù hợp thì cần thăm khám chi tiết và tham khảo ý kiến của nha sĩ chuyên nghiệp về implant.
3 Cách hạn chế rủi ro khi cấy ghép răng Implant
Tìm hiểu kỹ về quy trình trồng Implant
Đây chắc chắn là việc cần làm đầu tiên để hạn chế rủi ro khi cấy ghép implant để tránh hối hận về sau.
Một số điểm cần lưu ý khi tìm hiểu về quy trình trồng Implant:
Công nghệ và phương pháp: Để không phải hối hận khi trồng implant, mọi người cần tìm hiểu thật kỹ về công nghệ cấy răng và phương pháp mà nha khoa thực hiện có phải phổ biến, thông dụng trên thị trường hay không. Mọi người cũng nên nắm được ưu, nhược điểm để đưa ra những lựa chọn phù hợp.

Tìm hiểu kỹ về quy trình, đơn vị nha khoa uy tín để tránh rùi ro về trồng implant giá rẻ
Chuẩn bị cấy implant: Kiểm tra sức khỏe kỹ càng trước khi cấy, chụp X-quang, kế hoạch điều trị cùng bác sĩ…
Quy trình cấy ghép Implant: bao gồm một số bước như tiêm tê, nhổ răng hỏng, mở cắt nướu, khoan lỗ xương, chèn Implant vào xương hàm…
Quy trình chăm sóc và vệ sinh sau khi trồng Implant: chế độ và cách ăn uống phù hợp cũng như chăm sóc vệ sinh miệng đúng cách.
Biến chứng và rủi ro có thể xảy ra
Chọn lựa nha khoa uy tín
Lựa chọn nha khoa uy tín để cấy ghép implant là điều vô cùng quan trọng để bạn không phải hối hận khi trồng implant.
Một cơ sở nha khoa uy tín sẽ đảm bảo quá trình cấy ghép Implant được diễn ra thuận lợi, suôn sẻ. Mặt khác, đội ngũ bác sĩ phụ trách tay nghề cao, cơ sở vật chất hiện đại, giá cả rõ ràng và chế độ chăm sóc khách hàng trước – trong – và sau khi cấy cũng cần được đảm bảo.
Để lựa chọn cơ sở nha khoa uy tín để trồng răng Implant, bạn hãy dựa vào một số tiêu chí dưới đây:
Uy tín trên thị trường.
Cơ sở vật chất khang trang, thiết bị và công nghệ hiện đại.
Chuyên môn, kinh nghiệm của đội ngũ bác sĩ dày dặn.
Cách tư vấn dịch vụ và chế độ chăm sóc khách hàng tốt.
Giá cả công khai minh bạch và các gói dịch vụ trồng Implant cụ thể.
Cảm nhận, phản hồi từ những khách hàng đã làm dịch vụ trước đó.
Lựa chọn trụ Implant đảm bảo
Đây cũng là yếu tố tiên quyết giúp bạn tránh được sự hối hận sau khi cấy implant. Hiện nay trên thị trường có rất nhiều loại trụ implant, trong đó có hàng chính hãng, hàng trôi nổi kém chất lượng cũng nhiều mà khách hàng khó có thể phân biệt được.
Lựa chọn một loại trụ uy tín, chất lượng có nguồn gốc xuất xứ rõ ràng sẽ giúp quá trình cấy implant đảm bảo an toàn và hiệu quả lâu dài, hạn chế được rủi ro và biến chứng có thể xảy ra.
Hãy hỏi rõ về nguồn gốc, chế độ bảo hành rõ ràng cùng hợp đồng cấy implant chi tiết.
Tuân thủ chỉ dẫn của bác sĩ về chế độ ăn uống và chăm sóc sau khi cấy implant
Đây là việc cực kỳ quan trọng để bảo tồn chiếc răng implant được bên đẹp, lâu dài, đảm bảo chức năng ăn nhai và thẩm mỹ.
Chế độ ăn uống lành mạnh và cân đối. Tránh những thức ăn cứng, nóng hoặc lạnh quá mức trong khoảng thời gian đầu mới cấy trụ implant, tránh thức uống có ga, đồ ngọt, thuốc lá và cồn.
Vệ sinh miệng hàng ngày sau khi trồng Implant. Chải răng tối thiểu hai lần mỗi ngày bằng bàn chải mềm và kem đánh răng chứa fluoride. Sử dụng chỉ nha khoa để làm sạch khoảng không gian giữa các răng và Implant. Hãy sử dụng nước súc miệng chứa chất kháng vi khuẩn.
Kiểm tra định kỳ sau trồng Implant
Sau khi cấy implant, bạn cần tuân thủ lịch hẹn tái khám với nha sĩ để đảm bảo trụ implant tích hợp hoàn hảo với xương hàm hoặc kịp thời phát hiện ra bất cứ biến chứng, vấn đề có thể nào.
Đồng thời, bác sĩ cũng sẽ tư vấn và hướng dẫn kỹ càng cách chăm sóc chiếc răng Implant, vệ sinh miệng sau kiểm tra sao cho đúng cách để kéo dài tuổi thọ implant.
Ngoài ra, nếu bạn gặp phải bất cứ vấn đề nào trong quá trình sử dụng implant như chảy máu hay đau nhức thì có thể đến ngay nha khoa để được kiểm tra và xử lý kịp thời.
Với những thông tin trên đây, hy vọng mọi người đã nắm được một số nguyên nhân cơ bản dẫn đến việc cảm thấy hối hận khi trồng implant. Hầu hết, nguyên nhân đều là do lựa chọn trụ kém chất lượng, tay nghề bác sĩ kém, nha khoa không uy tín…và chế độ chăm sóc chưa đúng sau khi cấy.
Vì vậy, mọi người cần trang bị đầy đủ các kiến thức cần thiết cho mình trước khi quyết định cấy trụ implant nhé





