0.1 Tình trạng trước khi làm răng sứ
Sau khi thăm khám, bác sĩ ghi nhận tình trạng răng của khách hàng Bùi Anh Dim như sau:- Hai răng cửa trên có dấu hiệu xỉn màu, ngả tối và không đồng đều màu với răng kế cận.
- Thân răng bị mòn, hình thể ngắn, mất tỉ lệ thẩm mỹ.
- Viền nướu quanh cùi răng có hiện tượng thâm nhẹ, ảnh hưởng đến tính tự nhiên của nụ cười.

Khi giao tiếp hoặc cười, phần răng cửa lộ rõ khuyết điểm, khiến khách hàng cảm thấy thiếu tự tin về thẩm mỹ.
0.2 Lập kế hoạch điều trị – Giải pháp răng sứ thẩm mỹ cá nhân hóa
Sau khi phân tích tình trạng và nhu cầu của khách hàng, bác sĩ HanSeoul đã đưa ra phác đồ phục hình thẩm mỹ toàn diện:
- Phục hình 2 răng cửa bằng răng sứ toàn sứ cao cấp, đảm bảo độ trong tự nhiên, tương thích sinh học tốt.
- Lấy dấu kỹ thuật số 3D bằng máy quét hiện đại, cho phép thiết kế răng chuẩn xác đến từng micromet.
- Phân tích dáng răng – màu răng – nụ cười, giúp mô phỏng kết quả trước khi thực hiện.
- Điều chỉnh viền nướu nhẹ nhàng để đạt được tỷ lệ nướu – răng hài hòa.
- Gắn răng sứ và hiệu chỉnh khớp cắn, đảm bảo vừa khít, ăn nhai thoải mái, không cộm cấn.
0.3 Bác sĩ phục hình chuyên sâu trực tiếp thực hiện
Ca phục hình của anh Dim được trực tiếp thực hiện bởi bác sĩ chuyên khoa phục hình thẩm mỹ tại HanSeoul – người có nhiều năm kinh nghiệm trong lĩnh vực thẩm mỹ nụ cười và phục hình sứ cao cấp.
Bác sĩ đảm bảo từng giai đoạn đều được kiểm soát chặt chẽ:
- Từ khâu mài răng tối thiểu, bảo tồn mô răng thật tối đa.
- Đến thử sứ, điều chỉnh khớp cắn, màu sắc và độ phản sáng phù hợp với gương mặt khách hàng.

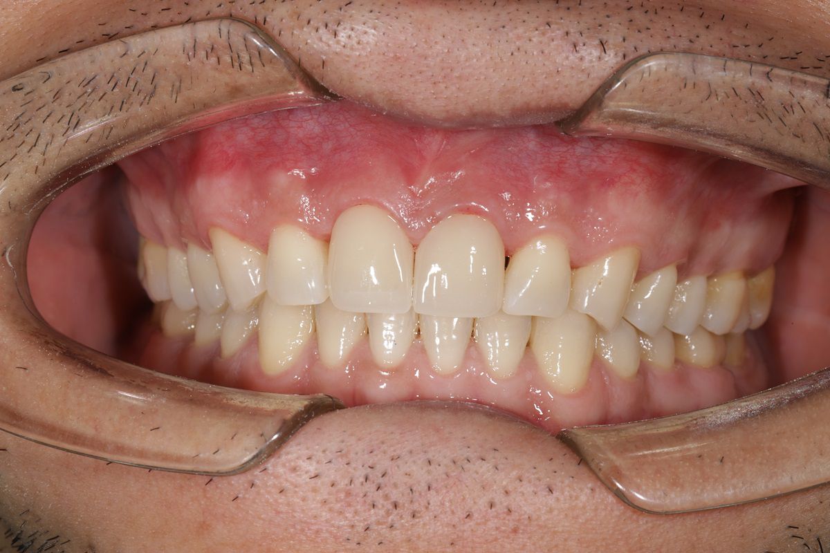
0.4 Kết quả sau điều trị – Nụ cười rạng rỡ tự nhiên
Sau khi hoàn thiện răng sứ, khách hàng Bùi Anh Dim đạt được kết quả vượt mong đợi:- Hai răng cửa được phục hình đều đẹp, màu sắc tự nhiên hòa hợp với toàn hàm.
- Viền nướu khỏe, hồng hào, không còn sạm hay lộ chân răng.
- Khớp cắn ổn định, cảm giác ăn nhai thoải mái.
- Gương mặt tổng thể cân đối hơn, nụ cười hài hòa và tươi sáng rõ rệt.

Cảm nhận của khách hàng
“Trước đây mình khá tự ti, đặc biệt là khi giao tiếp với người khác. Sau khi làm răng sứ ở HanSeoul, mình thật sự bất ngờ với kết quả. Răng đều, trắng tự nhiên mà không bị giả. Bác sĩ tư vấn kỹ và thao tác rất nhẹ nhàng. Mình hoàn toàn hài lòng!”





