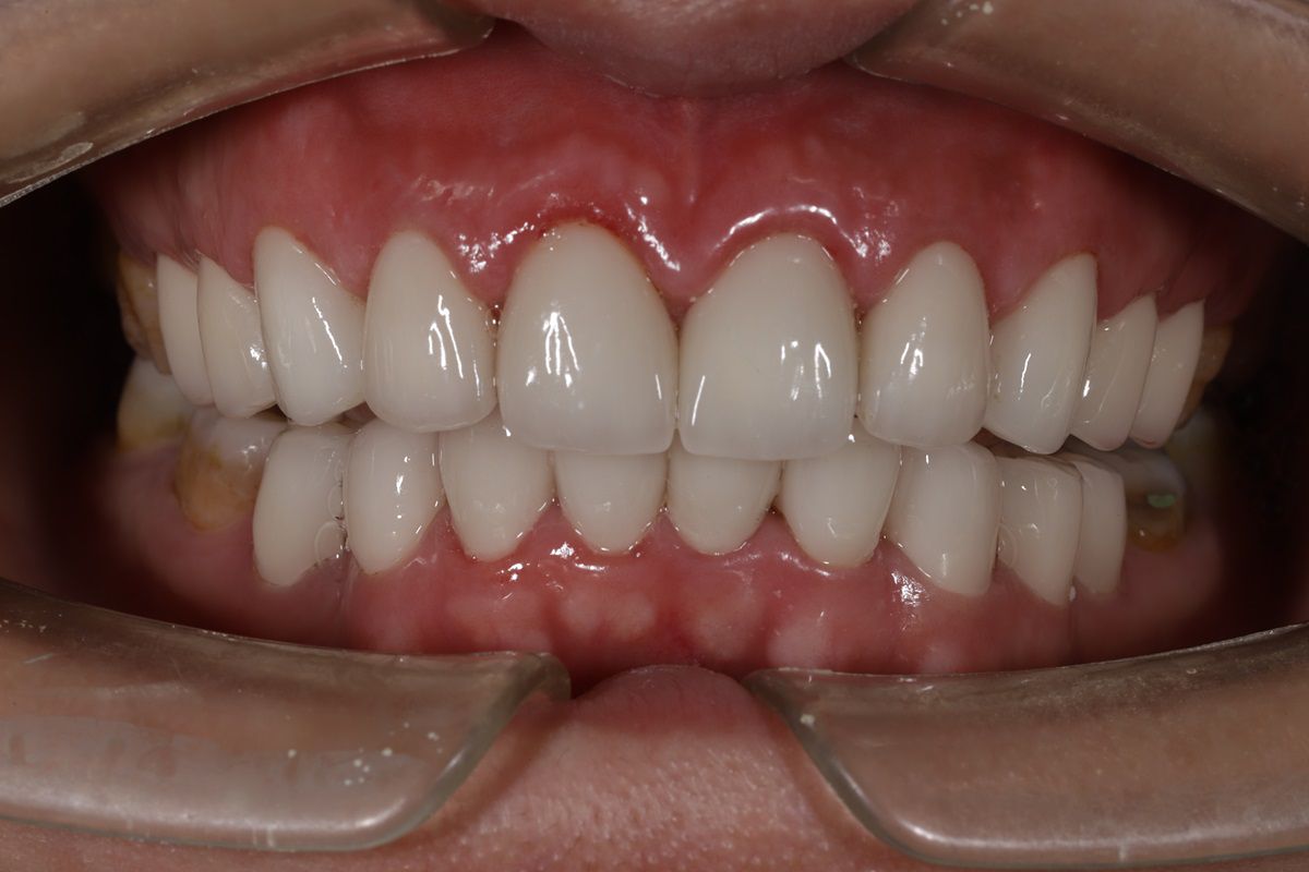
Khách hàng Hồ Thị Tâm thay đổi ngoạn mục sau bọc sứ

07/10/2025