Cao răng (hay vôi răng) là những mảng bám tích tụ từ vụn thức ăn và các khoáng chất có trong nước bọt của khoang miệng. Cao răng được hình thành từ các mảng bám mỏng và dần dần dày lên với sự phát triển của vi khuẩn răng miệng.
Các chuyên gia nghiên cứu chỉ ra rằng vi khuẩn răng miệng chiếm tới 70% tỷ trọng lớp cao răng. Lấy cao răng định kỳ sẽ giúp ngăn chặn và phòng ngừa vi khuẩn xâm lấn làm tổn thương răng lợi.

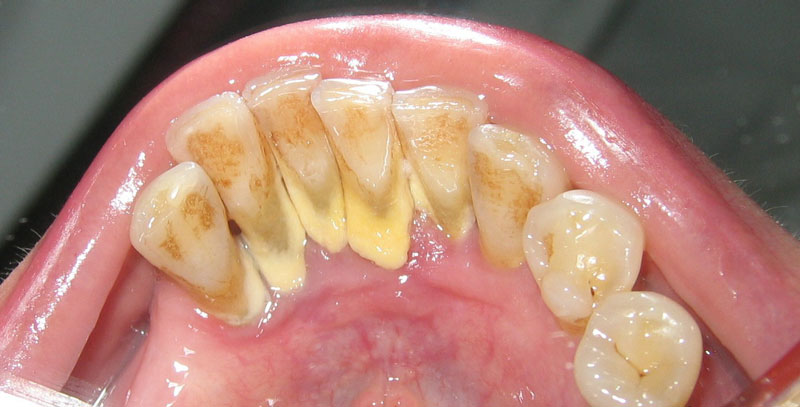
Hình ảnh cao răng mảng bám xung quanh răng
Quan sát bằng mắt thường: Cao răng có màu vàng hoặc nâu đen bám chặt ở vùng nướu và dưới vùng nướu, lâu ngày sẽ gây ra hiện tượng viêm lợi và chảy máu chân răng,.. Những trường hợp này cần phải đến ngay nha khoa để bác sĩ lấy cao răng và loại bỏ các vi khuẩn ẩn náu dưới đường nướu.
1 Lấy vôi răng có đau không?
Trước kia lấy cao răng ( hay vôi răng) thường ít người quan tâm và nghĩ rằng không qua trọng, thực tế cao răng là lý do gây ra nhiều bệnh lý về răng miệng như : hôi miệng, vàng răng, tụt lợi, viêm nha chu, chảy máu chân răng, ê buốt răng,…
Ngày nay, khi lấy cao răng trở nên phổ biến hơn, nhiều bạn lo lắng không biết lấy cao răng có đau không? Có gây ảnh hưởng gì sau khi lấy cao răng không? Thực tế việc lấy vôi răng chỉ tác động bên ngoài bề mặt răng để loại bỏ các lớp vôi răng nên hoàn toàn không gây hại cho sức khỏe.

Hình ảnh lấy vôi răng
Đối với những ca răng nhạy cảm hoặc có mảng bám cao răng dày có thể gây ra tình trạng ê buốt và chảy máu chân răng nhẹ. Nhưng đừng quá lo lắng, tình trạng này sẽ hết sau 12-36 giờ mà không cần sử dụng thuốc.
Sau khi lấy vôi răng, bạn cần lưu ý một số điều sau đây để hạn chế ảnh hưởng đến phần răng và chân răng mới vệ sinh:
- Không nên sử dụng các thức ăn, đồ uống quá nóng hoặc quá lạnh
- Không sử dụng thuốc lá, thuốc lá điện tử, xì gà,…

- Không dùng những thức uống có màu đậm như : cà phê, nước hoa quả có màu, trà, màu thực phẩm, nghệ,…
- Đối với những bạn răng nhạy cảm, răng không khỏe mạnh cần tuân thủ theo đúng chỉ dẫn của bác sĩ.
- Tái khám định kỳ và theo dõi những chuyển biến, hiệu quả của răng sau khi điều trị.
2 Giá lấy cao răng bao nhiêu?
Hiện nay các phòng khám nha khoa và bệnh viện hầu như đều có dịch vụ lấy cao răng, tuy nhiên bạn cần lựa chọn một nơi đáng tin cậy để chăm sóc sức khỏe răng miệng cho mình. Chi phí lấy cao răng không quá cao, mỗi ca lấy cao răng sẽ có giá khác nhau phụ thuộc vào các yếu tố như:
- Độ dày của vôi răng: tùy vào độ dày của vôi răng mà các bác sĩ sẽ đưa giá chi phí phù hợp. Đối với các trường hợp lớp vôi răng mỏng thì chi phí sẽ thấp hơn và với trường hợp lần đầu lấy cao răng thì lớp cao răng dày hơn, chi phí cũng sẽ cao hơn một chút.
- Chất lượng cơ sở vật chất và dịch vụ: tùy vào mỗi phòng khám nha khoa và bệnh viện mà sẽ có những chi phí khác nhau, nhưng nhìn chung mức chênh lệch không quá cao, dao động trong khoảng 100 – 400 nghìn đồng.
3 Giải pháp hạn chế hình thành cao răng-Một số cách ngăn ngừa việc hình thành cao răng
Sự hình thành của cao răng hay vôi răng không phải một vấn đề quá nghiệm trọng, gây ảnh hưởng nguy hại tới sức khỏe. Tuy nhiên cao răng hình thành từ các mảng bám thức ăn và tích tụ vi khuẩn nên gây ra tình trạng hôi miệng.
Hôi miệng khiến cho nhiều người thiếu tự tin khi giao tiếp và gây mất thiện cảm với người nói chuyện khi giao tiếp. Bên cạnh đó, các mảng bám cao răng cũng gây ra nhiều bệnh lý về răng miệng.

Hình ảnh trước và sau khi lấy cao răng
Để bảo vệ sức khỏe răng miệng tốt, bạn nên khám và lấy vôi răng định kỳ 6 tháng 1 lần. Ngoài ra, cũng nên chăm sóc sức khỏe răng miệng hằng ngày như:
- Lựa chọn kem đánh răng và bàn chải đánh răng. Nên sử dụng loại kem đánh răng có thành phần chứa nhiều Fluor, sử dụng bàn chải có sợi tơ mềm. Khuyên bạn nên dùng bàn chải điện và máy tăm nước để vệ sinh răng.
- Sử dụng chỉ nha khoa và hạn chế dùng tăm xỉa răng. Sử dụng tăm xỉa răng thường xuyên sẽ gây ra các lỗ hổng lớn, dễ dàng tạo điều kiện cho vi khuẩn tích tụ và tổn thương cho nướu.
- Đánh răng 2 lần mỗi ngày và sử dụng nước súc miệng hoặc nước muối sinh lý.
4 Lợi ích của lấy cao răng định kỳ
Lấy vôi răng không những để chữa trị mà còn để phòng tránh các bệnh lý về răng miệng. Thường xuyên đi lấy vôi răng định kỳ sẽ có những lợi ích rất tốt cho sức khỏe răng miệng.
4.1 Phát hiện sớm các vấn đề răng miệng
Trong quá trình thăm khám lấy cao răng với bác sĩ, bệnh nhân có thể được chụp X-quang kiểm tra tình trạng răng và xương hàm xem có những vấn đề không thể kiểm tra bằng mắt thường. Kết quả có thể cho thấy chân răng có bị mọc lệch không, có xuất hiện u nang hay ổ răng ngầm nào không.
Bởi có nhiều trường hợp bệnh nhân không có biểu hiện bất thường nhưng khi kiểm tra phát hiện bệnh lý và có kế hoạch điều trị kịp thời. Điều này giúp bệnh nhân tiết kiệm được chi phí và sức khỏe.
4.2 Ngăn ngừa sâu răng và hôi miệng
Sau khi lấy cao răng, các mảng bám tích tụ và vi khuẩn sẽ được loại bỏ. Nếu có mảng bám thức ăn tích tụ, nó sẽ cứng lại và hình thành cao răng, gây ra sâu răng. Vi khuẩn trong cao răng tạo ra axit ăn mòn men răng, và sẽ dẫn đến sâu răng nếu không được loại bỏ kịp thời.
Sâu răng và cao răng là tác nhân gây ra triệu chứng hôi miệng, hơi thở có mùi. Các mảng bám từ thức ăn lâu ngày tích tụ cùng vi khuẩn sâu răng hoạt động tạo ra mùi khó chịu, làm hôi miệng.

Trong quá trình lấy cao răng, bác sĩ sẽ làm sạch cho răng miệng ngăn chặn những tác nhân gây sâu răng, hôi miệng. Đồng thời giúp răng miệng chắc khỏe và ngăn ngừa bệnh lý về nướu răng.
Trên đây là những thông tin hữu ích về lấy cao răng và tác dụng của việc lấy cao răng định kỳ. Hy vọng qua bài viết này đã giúp bạn hiểu hơn về tầm quan trọng của lấy cao răng và ngăn ngừa sự hình thành cao răng để có một hàm răng trắng sáng tự tin. Nếu có bất kỳ thắc mắc hay câu hỏi nào, hãy liên hệ với nha khoa Hanseoul với hotline 0939 090 581 để được thăm khám và tư vấn miễn phí nhé.





