- 1 Lấy cao răng bao nhiêu tiền? Chi phí nhiều hay ít?
- 1.1 Số lượng cao răng của khách hàng
- 1.2 Cơ sở nha khoa, y tế lấy vôi răng
- 2 Quy trình thực hiện lấy cao răng
- 2.1 Bước 1: Thăm khám và tư vấn lấy cao răng
- 2.2 Bước 2: Thực hiện lấy cao răng
- 2.3 Bước 3: Làm nhẵn, đánh bóng răng
- 2.4 Bước 4: Kết thúc quá trình lấy cao răng và kiểm tra kết quả
- 3 Lấy cao răng định kỳ 6 tháng 1 lần có lợi ích gì?
- 3.1 Giảm thiểu nguy cơ mắc bệnh lý răng miệng
- 3.2 Loại bỏ mùi hôi miệng hiệu quả
- 3.3 Răng bóng sáng và thẩm mỹ hơn
- 3.4 Ngăn chặn các bệnh do cao răng gây ra
- 3.5 Hỗ trợ răng và xương hàm chắc khỏe
- 4 Bảng giá lấy cao răng mới nhất 2023 tại Hanseoul
Bạn đang muốn lấy cao răng nhưng vẫn còn suy nghĩ và băn khoăn không biết lấy cao răng bao nhiêu tiền. Dựa trên thực tế thì mức giá lấy cao răng thường sẽ phụ thuộc bởi nhiều tình trạng răng miệng của mỗi bệnh nhân, địa chỉ cơ sở nha khoa điều trị…Nhưng nhìn chung thì mức chi phí sẽ không quá cao hay đắt, điều quan trọng nhất là tìm được một địa chỉ nha khoa đáng tin cậy để thực hiện lấy cao răng an toàn cho bản thân và người thân xung quanh.
1 Lấy cao răng bao nhiêu tiền? Chi phí nhiều hay ít?
Để đưa ra một mức giá cụ thể khi lấy cao răng là không dễ dàng, do mức chi phí lấy cao răng sẽ thường phụ thuộc vào nhiều yếu tố cụ thể như sau:
1.1 Số lượng cao răng của khách hàng
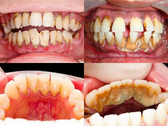
Tùy vào mỗi tình trạng và mức độ cao răng nhiều hay ít mà bác sĩ nha khoa sẽ xác định chi phí lấy cao răng phù hợp cho bạn. Với những khách hàng có số lượng vôi răng ít và không mắc các bệnh lý về răng miệng thì chi phí thực hiện sẽ khá thấp.

Ngược lại với các trường hợp cao răng đã hình thành nhiều, dày cùi và gây ra một số bệnh lý như: viêm lợi, chảy máu chân răng, sâu răng, viêm nha chu, viêm nướu….Lúc này sẽ cần phải được điều trị dứt điểm các bệnh lý răng miệng rồi mới được chỉ định thực hiện lấy vôi răng để đảm bảo hiệu quả tốt nhất cho sức khỏe răng miệng.
1.2 Cơ sở nha khoa, y tế lấy vôi răng
Ở mỗi địa chỉ nha khoa hiện nay sẽ có những mức chi phí lấy cao răng khác nhau. Tại những địa chỉ nha khoa uy tín chất lượng được đầu tư trang thiết bị cùng máy móc tân tiến hiện đại; Có đội ngũ các y bác sĩ tay nghề cao, chuyên môn giỏi thì sẽ cao hơn so với những địa chỉ có công nghệ lạc hậu, không cập nhật thị trường.

Tại Nha Khoa Hanseoul thì giá lấy cao răng hoàn toàn được công khai cụ thể và niêm yết giá rõ ràng với khả năng tài chính của phần lớn khách hàng. Các bước trong quy trình thăm khám, tư vấn và chụp phim hoàn toàn được miễn phí.
2 Quy trình thực hiện lấy cao răng
Tại Nha Khoa Hanseoul thì quy trình lấy cao răng hoàn toàn không đau và được diễn ra theo trình tự các bước cụ thể sau đây:
2.1 Bước 1: Thăm khám và tư vấn lấy cao răng
Bạn sẽ được thăm khám và kiểm tra tình trạng răng miệng tổng quát hoàn toàn miễn phí. Và khi phát hiện các dấu hiệu bất thường – bệnh lý răng miệng thì các bác sĩ sẽ tư vấn các phương pháp, phác đồ điều trị cụ thể phù hợp cho bạn.
2.2 Bước 2: Thực hiện lấy cao răng
Bác sĩ nha khoa lấy sạch các mảng bám chắc cứng trên bề mặt răng và xung quanh vùng dưới nướu, cổ răng, kẽ răng của bạn.
Thời gian thực hiện lấy cao răng tại Nha Khoa Hanseoul thường dao động từ 15 phút đến 20 phút, rất nhanh chóng tùy thuộc vào mỗi mức độ số lượng cao răng cụ thể của từng bệnh nhân.

Phòng khám nha khoa quốc tế Hanseoul
2.3 Bước 3: Làm nhẵn, đánh bóng răng
Sau khi thực hiện lấy cao răng thì bác sĩ sẽ đánh bóng bề mặt răng bằng các khí cụ nha khoa chuyên dụng. Từ đó sẽ giúp răng của bạn trở nên sáng bóng hơn và hạn chế tối đa khỏi sự tích tụ của các mảng bám sau này.
2.4 Bước 4: Kết thúc quá trình lấy cao răng và kiểm tra kết quả
Sau khi thực hiện xong các bước trên, bác sĩ nha khoa sẽ kiểm tra lại một cách kỹ càng xem cao răng đã được loại bỏ hết hoàn toàn chưa. Sau đó hướng dẫn bệnh nhân các lưu ý cần khi vệ sinh và chăm sóc sức khỏe răng miệng. Như vậy là kết thúc một quy trình lấy cao răng.
3 Lấy cao răng định kỳ 6 tháng 1 lần có lợi ích gì?
Theo khuyến cáo của các bác sĩ nha khoa, bạn muốn có một sức khỏe răng miệng sạch sẽ và đảm bảo thì nên đi lấy cao răng và kiểm tra tổng quát 1 năm 2 lần (tương đương 6 tháng 1 lần) sẽ đem lại lợi ích không ngờ sau:
3.1 Giảm thiểu nguy cơ mắc bệnh lý răng miệng
Vi khuẩn trong cao răng là nguyên nhân hàng đầu gây nên các bệnh lý răng miệng là: mòn men răng, tụt lợi, sâu răng, viêm nha chu, viêm nướu…Vậy nên bạn hãy lấy cao răng định kỳ để phòng tránh và ngăn ngừa vi khuẩn phát triển và gây bệnh.
3.2 Loại bỏ mùi hôi miệng hiệu quả
Cao răng tích tụ lâu ngày trở nên dày đặc gây ra nhiều khó khăn khi vệ sinh răng miệng. Lúc này khi vi khuẩn tích tụ sẽ tạo ra mùi hôi, khó chịu ở khoang miệng, gây trở ngại và tự ti khi giao tiếp. Do đó việc loại bỏ mảng bám cao răng sẽ cải thiện được chứng hôi miệng và giúp hơi thở trở nên thơm tho, tưới mát.
3.3 Răng bóng sáng và thẩm mỹ hơn
Màu sắc của mảng bám cao răng thường sậm màu hơn so với răng thật, vì vậy khiến cho hàm răng trở nên kém xinh. Lúc này, khi loại bỏ cao răng sẽ trả lại cho bạn một hàm răng trắng sáng, bóng khỏe tự tin hơn.

Hình ảnh sau khi lấy cao răng
3.4 Ngăn chặn các bệnh do cao răng gây ra
Lợi ích của việc lấy cao răng định kỳ còn giúp ngăn ngừa các nguy cơ mắc phải bệnh lý nguy hiểm do vi khuẩn cao răng gây ra như: viêm họng, bệnh tim mạch, viêm amidan…
3.5 Hỗ trợ răng và xương hàm chắc khỏe
Vi khuẩn ở trong cao răng khi tích tụ nhiều trong khoang miệng sẽ xâm nhập sâu vào bên trong răng gây hư hỏng cấu trúc răng và nướu. Từ đó có nguy cơ dẫn đến tiêu xương hàm và làm cho chiếc răng của bạn bị lung lay dễ rụng. Thậm chí nguy hiểm hơn sẽ có thể xảy ra tình trạng mất răng hàng loạt và tình trạng rụng răng sớm.
Chính bởi vậy mà để bảo vệ sức khỏe răng miệng và xương hàm một cách hiệu quả nhất và tốt nhất thì bạn cần phải cạo vôi răng kịp thời để phòng ngừa vi khuẩn gây hại cho răng miệng.
4 Bảng giá lấy cao răng mới nhất 2023 tại Hanseoul
Hiện nay, Nha Khoa Hanseoul là một địa chỉ nha khoa uy tín chất lượng với hơn 15 năm kinh nghiệm và được đông đảo khách hàng gần xa tin tưởng lựa chọn, độ tin cậy cao, an tâm trao trọn niềm tin.
Tại Nha Khoa Hanseoul áp dụng phương pháp lấy cao răng bằng máy siêu âm hiện đại, đem lại hiệu quả chỉ sau 1 lần thực hiện với các ưu điểm nổi bật sau đây:
- Loại bỏ triệt để hoàn toàn các mảng bám tận sâu bên mặt trong của ẳng
- Hoàn toàn không xâm lấn tới cấu trúc của răng và nướu giúp tăng cường sức khỏe của răng lợi.
- Thời gian thực hiện nhanh chóng, đảm bảo an toàn không gây đau, không gây chảy máu.
- Hạn chế sự hình thành cao răng mới trong thời gian dài.

Toàn bộ quá trình thực hiện đều được các bác sĩ nha khoa có chuyên môn sâu, tay nghề lâu năm, 100% tốt nghiệp hệ chính quy Đại học Y Hà Nội. Kết hợp với sự hỗ trợ đắc lực của máy móc hiện đại, quy trình thực hiện lấy cao răng đạt chuẩn theo bộ y tế (vô trùng, vô khuẩn) sẽ giúp khách hàng an tâm và hoàn toàn hài lòng khi thực hiện lấy cao răng tại đây.
Quý khách hàng có bất kỳ thắc mắc hay câu hỏi cần hỗ trợ, vui lòng liên hệ qua hotline 0939 090 581 để được bác sĩ giải đáp rõ ràng nhé.





