- 1 Giới thiệu chung về răng số 8
- 2 Những biến chứng thường gặp khi răng số 8 mọc lệch
- 2.1 Viêm nhiễm, nhiễm trùng tại vị trí mọc răng
- 2.2 Gây ra tình trạng rối loạn phản xạ và cảm giác
- 2.3 Gây tổn thương đến răng khác
- 3 Vậy mọc răng số 8 có phải nhổ không?
- 4 Bảng giá nhổ răng khôn – Nhổ răng an toàn tại Hanseoul
Quá trình mọc răng số 8 thường đem đến những cảm giác đau đớn, khó chịu cho mọi người và ảnh hưởng trực tiếp đến sức khỏe tinh thần và hoạt động sinh hoạt hằng ngày. Đối với những chiếc răng khôn bị mọc lệch lạc không đúng vị trí chính xác thì thường được các bác sĩ nha khoa chỉ định loại bỏ.
Tuy nhiên, nếu như răng khôn mọc thẳng liệu có cần nhổ hay không? Để đi tìm câu trả lời cho câu hỏi này thì mời bạn cùng Nha Khoa Hanseoul tham khảo thông qua bài viết dưới đây bạn nhé!
1 Giới thiệu chung về răng số 8
Răng số 8 hay tên dân gian thường gọi là răng khôn, răng cối lớn thứ 3… Răng khôn là chiếc răng mọc lên cuối cùng của của hàm răng và chúng sẽ bắt đầu quá trình mọc và phát triển khi chúng ta đã khôn lớn, trưởng thành (khoảng độ tuổi 17 – 25 tuổi). Phần lớn trong chúng ta đều có đầy đủ 4 chiếc răng số 8, chỉ có một số ít trường mọc không đủ hoặc có trường hợp không mọc răng số 8.

Trong quá trình tiến hóa của cơ thể con người, chúng ta có xu hướng ngày càng thu nhỏ lại xương hàm răng. Mà những chiếc răng khôn lại mọc cuối cùng, do đó đôi khi hàm răng không còn đủ chỗ để cho răng khôn mọc và phát triển bình thường được.
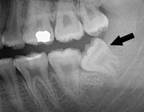
Từ đó dẫn đến những tình trạng mọc sai vị trí của răng khôn như là: mọc lệch, mọc chồng lên răng khác, răng mọc chen chúc nhau, răng mọc ngầm, răng mọc ngang, răng mọc ngược vào xương hàm…gây ra những cơn đau, khó chịu kéo dài, sưng tấy, đỏ viêm ở vùng lợi răng mọc.
Ngoài ra, răng số 8 nằm ở vị trí trong cùng của hàm răng – vị trí sâu trong khoang miệng nên khó khăn trong việc vệ sinh sạch sẽ hàm răng, khiến vi khuẩn sâu răng dễ dàng xâm nhập, làm hư hại đến những chiếc răng của bạn. Chính vì vậy nên chúng ta phải nhổ răng khôn bỏ đi.
2 Những biến chứng thường gặp khi răng số 8 mọc lệch
Có những người không quan sát được răng khôn mọc lên nhưng thực tế có thể vẫn có răng khôn mọc lệch hoặc mọc ngầm ở dưới xương hàm và bị mô mềm che phủ. Răng số 8 bị mọc lệch gây ra rất nhiều biến chứng ảnh hưởng đến sức khỏe răng miệng và sức khỏe toàn diện của cơ thể người bệnh.
Vì vậy việc hiểu biết về những nguy cơ, biến chứng do răng số 8 gây ra là vô cùng cần thiết để giúp bạn phòng tránh được những bệnh lý về răng miệng. Những biến chứng thường gặp khi răng số 8 mọc lệch đáng kể như sau:
2.1 Viêm nhiễm, nhiễm trùng tại vị trí mọc răng
Đây là biến chứng thường gặp nhất vì sự tích tụ thức ăn và những vi khuẩn răng miệng tại vị trí răng khôn mọc lên gây viêm nhiễm tại chỗ – ở quanh vùng răng mọc. Người mọc răng thường thấy đau nhói, hôi miệng, sưng phù ở vùng lợi mọc răng khôn khiến cho việc há miệng khó khăn, thâm chí còn có thể chảy mủ ở vùng lợi bị viêm.
Tình trạng nhiễm trùng, viêm nhiễm này có thể bị tái phát lại nhiều lần, và những lần tái phát sau sẽ càng nặng nề và thời gian tái phát sẽ càng dày đặc hơn. Trong một số trường hợp nếu như người bệnh không được điều trị kịp thời thì tình trạng nhiễm trùng, viêm nhiễm sẽ ngày càng lan rộng ra, ảnh hưởng tới cả những chiếc răng khác, một số vùng khác của răng – hàm – mặt như là: cổ, mang tai, viêm xương, viêm màng tim, thậm chí là nhiễm trùng máu làm nguy hiểm đến tính mạng con người.

Mặt khác, những loại miễn trùng mãn tính quanh vùng thân răng và những tổ chức của túi răng còn sót lại do quá trình răng mọc lên không phát triển hoàn chỉnh của răng số 8 chính là nguyên nhân để hình thành lên những khối u xương hàm như là: u nang thân răng, ung thư xương hàm…
2.2 Gây ra tình trạng rối loạn phản xạ và cảm giác
Do ở chân răng có rất nhiều hệ thống đầu nút dây thần kinh nên khi răng số 8 mọc lệch chèn ép vào dây thần kinh gây mất cảm giác ở, niêm mạc, da môi, răng ở nửa cung hàm. Có thể gây ra một số hội chứng giao cảm như: Đau một bên mặt, phù nề, nổi đỏ ở quanh vùng mắt…
2.3 Gây tổn thương đến răng khác
Răng số 8 mọc lệch thường làm hỏng răng bên cạnh là răng số 7. Tình trạng mọc lệch hình thành nên khe hở giữa răng khôn và răng số 7 dễ làm kẹt lại thức ăn, khiến khó vệ sinh, lâu ngày chắc chắn gây ra sâu răng. Khi răng khôn mọc lệch làm ép vào răng bên cạnh làm tiêu biến mất một phần thân và chân răng này.

Quá trình tổn thương có thể diễn ra trong âm thầm kéo dài trong nhiều năm, và cho đến khi bạn phát hiện ra thì tổn thương đã lan rộng gây biến chứng nặng. Khi đi đến phòng khám kiểm tra thì đôi khi răng số 7 đã bị hỏng, hư hại nặng không thể giữ lại được.
Trong khi đó bạn cần phải biết rằng răng số 7 (hay còn gọi là răng hàm lớn thứ hai) là một trong những răng giữ chức năng ăn nhai quan trọng nhất ở trên cung hàm.
3 Vậy mọc răng số 8 có phải nhổ không?
Răng số 8 thường mọc khi chúng ta bước vào độ tuổi khoảng 18 – 25 tuổi. Những chiếc răng này mỗi khi mọc lên thường sẽ khiến chúng ta đau nhức, khó chịu. Vì thế không ít người người tìm đến giải pháp loại bỏ răng khôn để không phải chịu tình cảnh đau đớn này. Thông thường, mọi người thường nhổ răng khôn trong các trường hợp dưới đây:
- Khi răng số 8 mọc lên sẽ gây ra một số biến chứng đau nhức, nhiễm trùng lặp đi lặp lại, biến chứng u nang ở khoang miệng ảnh hưởng đến các răng lân cận.
- Khi răng số 8 mọc lệch chưa gây biến chứng gì, nhưng lại xuất hiện khe hở giữa răng số 7 và răng số 8 khiến thức ăn dễ bị kẹt lại, gây hôi miệng, vi khuẩn tích tụ dẫn đến sâu răng.

- Răng số 8 mọc thẳng, có đủ chỗ phát triển và không bị ảnh hưởng bởi xương và nướu. Tuy nhiên, lại không có răng số 8 ở hàm đối diện mọc để phù hợp khớp cắn. Lâu này răng bị cấn vào nướu, gây trầy xước, tổn thương cho nướu ở hàm đối diện.
- Răng số 8 mọc lên có hình dạng và kích thước bất thường: nhỏ, dị dạng…gây nhồi nhét thức ăn với răng bên cạnh, nếu lâu ngày sẽ gây ra sâu răng và các biểu hiện viêm răng.
- Răng số 8 gặp phải các vấn đề như: sâu răng, trùm lợi, viêm nha chu,… có xu hướng lây lan sang răng kề cạnh.
- Nhổ răng số 8 nhằm mục đích phục hình, chỉnh hình răng miệng như: niềng răng, làm răng giả, bọc răng sứ…
Tuy nhiên, không phải lúc nào chúng ta cũng nên loại bỏ răng 8. Theo nhiều nghiên cứu chỉ ả, độ chịu lực của răng số 8 vô cùng tốt, chúng có khả năng ăn nhai vô cùng chắc khỏe, cứng chắc hơn tất cả chiếc răng còn lại ở trên cung hàm. Vì thế, có đôi khi răng số 8 mọc lên lại có lợi ích ăn nhai nhất định miễn sao cung hàm của bạn đảm bảo cho chúng phát triển bình thường và được chăm sóc vệ sinh sạch sẽ. Ngoài ra cũng có một số trường hợp đặc biệt, mà không thể nhổ răng số 8 được như là:
- Bệnh nhân mắc một số bệnh mãn tính, bệnh lý toàn thân không kiểm soát tốt như là: bệnh tiểu đường, bệnh tim mạch, người bị chứng máu khó đông…
- Răng số 8 liên quan đến các cấu trúc giải phẫu quan trọng như: dây thần kinh, xoang hàm…mà không thể dùng các phương pháp phẫu thuật chuyên biệt tiến hành loại bỏ răng.
4 Bảng giá nhổ răng khôn – Nhổ răng an toàn tại Hanseoul
Trên thị trường hiện nay xuất hiện rất nhiều các cơ sở nha khoa cùng nhiều bài quảng cáo với mức giá nhổ răng 8 siêu rẻ. Vì thế bạn cũng băn khoăn không biết giá nhổ răng thế nào là hợp lý, giá thực tế nhổ răng là bao nhiêu, thì sau đây là bảng giá nhổ răng được công khai trên website của Nha Khoa Hanseoul mời bạn tham khảo:

Tại Nha Khoa Hanseoul với hơn 15 năm kinh nghiệm trong dịch vụ nha khoa đã đem lại nhiều trải nghiệm làm răng hài lòng cho hàng trăm nghìn khách hàng. Các khách hàng thực hiện tại đây đều phản hồi hài lòng, đánh giá 5 sao về chất lượng và dịch vụ.
Chương trình ưu đãi cuối năm 2022 tại Nha Khoa Hanseoul có rất nhiều phần quà hấp dẫn dành cho quý khách hàng. Hãy nhanh tay đăng ký nhổ răng khôn cũng như thăm khám răng miệng định kỳ qua hotline 0939 090 581 để nhận được nhiều ưu đãi hấp dẫn nhé.
Cảm ơn bạn đọc đã quan tâm bài viết và đừng quên theo dõi những bài viết kỳ sau của chúng tôi để cập nhật nhiều thông tin bổ ích nhé.





