- 1 Lợi ích khi khách hàng bọc răng sứ
- 2 Những trường hợp không nên bọc răng sứ mà bạn cần biết
- 2.1 Trường hợp răng bị sai lệch khớp cắn với tình trạng nghiêm trọng
- 2.2 Răng bị hô, vẩu, móm do xương hàm
- 2.3 Răng bị sâu hỏng nặng, chân răng bị yếu
- 2.4 Răng bị gãy vỡ chỉ còn lại chân răng
- 2.5 Răng nhạy cảm
- 2.6 Người mắc các bệnh lý toàn thân
- 2.7 Trẻ em dưới 17 tuổi
Mặc dù bọc răng sứ là một phương pháp điều trị hiệu quả để cải thiện ngoại hình của răng, nhưng không phải ai cũng thích hợp để sử dụng phương pháp này. Hãy điểm qua một số lợi ích khi bọc răng sứ và những trường hợp không nên bọc răng sứ
1 Lợi ích khi khách hàng bọc răng sứ
Bọc răng sứ thẩm mỹ là hình thức phục hình hàm răng, đem lại cho bạn một hàm răng trắng sáng, chắc khỏe nhất. Răng sứ trắng sáng ôm khít lấy phần nướu sao cho mão sứ răng có hình dáng và màu sắc tự nhiên không khác gì răng thật.
- Mang lại tính thẩm mỹ cao: Răng sứ được chế tác với kích thước, hình dáng, màu sắc tương thích với răng thật. Bởi vậy, sau khi bọc răng sứ, sẽ rất khó để phân biệt răng sứ với răng thật nếu chỉ nhìn bằng mắt thường.

Khách hàng bọc răng sứ tại nha khoa Hanseoul
- Răng sứ có khả năng chịu lực tốt: Được chế tác từ chất liệu sứ cứng cáp, bền chắc và khả năng chịu lực tốt, điều này giúp khả năng chức năng ăn nhai từ răng sứ cũng không kém gì răng thật.
- Cải thiện nhược điểm của răng thật: Bọc răng sứ giúp cải thiện tình trạng răng trước đấy như: xỉn màu, ố vàng, sâu răng, sứt mẻ,…
2 Những trường hợp không nên bọc răng sứ mà bạn cần biết
2.1 Trường hợp răng bị sai lệch khớp cắn với tình trạng nghiêm trọng
Bọc răng sứ chỉ có thể áp dụng với các bệnh nhân có trường hợp sai lệch khớp cắn tương đối nhẹ, còn với trường hợp nặng hơn như: hô, móm, khấp khểnh nặng thì bắt buộc phải sử dụng đến dịch vụ niềng răng để khắc phục. Những vấn đề này nếu bọc răng sứ sẽ rất dễ gây nguy hiểm cho sức khỏe răng miệng về sau này.

2.2 Răng bị hô, vẩu, móm do xương hàm
Với những ai gặp tình trạng này khi tiến hành bọc răng sứ chắc chắn sẽ không mang tới kết quả. Trước đó, các bác sĩ cần tiến hành phẫu thuật, tác động trực tiếp bằng xương hàm để có thể điều chỉnh xương về vị trí chuẩn nhất và cố định chắc chắn lại.
2.3 Răng bị sâu hỏng nặng, chân răng bị yếu
Bọc răng sứ cho răng sâu là giải pháp tối ưu nhất giúp bảo tồn răng gốc nhằm khôi phục và bảo vệ răng thật trước những hậu quả của răng sâu gây ra. Tuy nhiên, trường hợp răng bị sâu hỏng quá nghiêm trọng, răng bị chết tủy, có lỗ sâu lớn, chân răng quá yếu thì bọc răng sứ hoàn toàn không có hiệu quả.
Trong trường hợp này, bạn đến nha khoa uy tín, chất lượng, bác sĩ sẽ chỉ định việc nhổ bỏ răng, tái tạo khoảng sinh học một cách khỏe mạnh và phục hình răng bằng phương pháp trồng răng (cấy ghép) implant để có được kết quả tốt nhất.
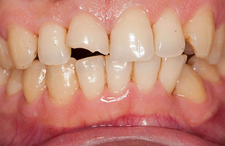
2.4 Răng bị gãy vỡ chỉ còn lại chân răng
Với trường hợp này cũng không thể tiến hành bọc răng sứ thẩm mỹ tại nha khoa, vì mô răng thật đã không còn đủ bền chắc để làm trụ chống đỡ cho mão sứ. Giải pháp để khắc phục được tình trạng này tốt nhất là bệnh nhân làm cầu răng sứ hoặc trồng răng (cấy ghép) implant.

2.5 Răng nhạy cảm
Nếu răng bạn thường xuyên gặp phải vấn đề như bị đau nhức, ê buốt khi gặp các kích thích từ môi trường như khi đánh răng, trong quá trình ăn uống… thì các bác sĩ sẽ chỉ định bạn không nên thực hiện bọc răng sứ.
Vì trong quá trình bọc răng sứ, bác sĩ sẽ phải thực hiện mài cùi răng, khiến cho bệnh lý của răng trở nên nghiêm trọng hơn. Bởi vậy, bận cần cân nhắc kỹ lưỡng và trang bị đầy đủ kiến thức về bọc răng sứ, để tránh “tiền mất tật mang.”
2.6 Người mắc các bệnh lý toàn thân
Trường hợp bệnh nhân mắc các bệnh lý như tim mạch, động kinh hay máu khó đông,… thì không nên thực hiện phương pháp bọc răng sứ. Bởi việc sử dụng thuốc tê và thao tác mài răng thật sẽ gây ảnh hưởng xấu tới sức khỏe của bạn hiện tại và cả sau này.
2.7 Trẻ em dưới 17 tuổi
Với trẻ em có răng bị thưa, bị hô, móm hay khấp khểnh… mà dưới 17 tuổi thì nên thực hiện phương pháp niềng răng thay cho bọc răng sứ để khắc phục những khuyết điểm này.

Lời khuyên của bác sĩ nha khoa là tuyệt đối không nên thực hiện bọc răng sứ thẩm mỹ cho trẻ em dưới 17 tuổi bởi quá trình mài răng sẽ tác động tới buồng tủy và gây ảnh hưởng tới sức khỏe cũng như các bệnh lý về răng..
Tóm lại, để biết trường hợp của mình có thể sử dụng phương pháp bọc răng sứ được hay không, bạn cần tìm tới nha khoa uy tín, chất lượng để tiến hành thăm khám, chụp phim XQ và xác định tình trạng răng hiện tại. Từ đó, bác sĩ chuyên khoa sẽ tư vấn và đưa ra lời khuyên cũng như phương pháp tốt nhất dành cho bạn.
Nha khoa HanSeoul – Địa chỉ bọc răng sứ uy tín, đặt sức khỏe của khách hàng hàng đầu
Tại Nha khoa HanSeoul, bác sĩ chỉ sẽ chỉ định cho bệnh nhân thực hiện bọc răng sứ trong những trường hợp phù hợp và có thể điều trị. Với kinh nghiệm và cái tâm của người làm bác sĩ, HanSeoul luôn đưa ra lời khuyên và đưa ra phương pháp thực hiện phù hợp nhất với bệnh nhân.
Đối với phương pháp bọc răng sứ, Nha khoa HanSeoul luôn cam kết mang tới giải pháp tốt, hiệu quả nhất cho khách hàng, cụ thể:
Bọc răng sứ không gây đau nhức
Quá trình bọc răng sứ tại Nha khoa HanSeoul đảm bảo được diễn ra một quy trình khép kín và thực hiện dưới sự hỗ trợ của hệ thống trang thiết bị, máy móc hiện đại nhập khẩu 100% từ nước ngoài. Bên cạnh đó, cùng với thuốc tê tại chỗ đảm bảo an toàn, không đau trong và sau khi thực hiện bọc răng sứ cho bệnh nhân.
Đội ngũ bác sĩ chất lượng, tay nghề cao, có nhiều năm kinh nghiệm
Tại Nha khoa HanSeoul, 100% các bác sĩ đều tốt nghiệp Đại học Y danh tiếng, được tham gia nhiều khóa đào tạo chuyên sâu về dịch vụ nha khoa như, đặc biệt là bọc răng sứ.
Với mục đích “Đặt lợi ích sức khỏe của bệnh nhân lên hàng đầu”, khách hàng có thể hoàn toàn yên tâm khi được thăm khám và điều trị tại nha khoa đạt tiêu chuẩn Quốc tế.
Nha khoa HanSeoul luôn đồng hành cùng nụ cười của khách hàng
Nha khoa HanSeoul đã áp dụng nhiều công nghệ bọc răng sứ thẩm mỹ để phục vụ nhu cầu của khách hàng. Bạn cũng sẽ được bác sĩ trao đổi kỹ lưỡng về kế hoạch điều trị và từ đó lựa chọn ra phương pháp phù hợp nhất.
Khi đến nha khoa, bệnh nhân sẽ được hướng dẫn thay dép tại phòng khám cũng như rửa tay diệt khuẩn sạch sẽ. Đội ngũ y bác sĩ tại HanSeoul có thức chuyên môn cao, kinh nghiệm thực chiến nhiều năm trong nghề. Luôn đặt sự an toàn và sức khỏe của bệnh nhân lên hàng đầu, đặc biệt là trong vấn đề răng miệng.
Để đảm bảo thành công các ca bọc răng sứ cũng như các dịch vụ nha khoa khác. Trong quá trình thực hiện, các bác sĩ luôn tuân thủ đầy các tiêu chuẩn để có thể mang đến cho khách hàng sự an toàn cũng như tâm lý thoải mái khi có nhu cầu điều trị và thăm khám tại nha khoa HanSeoul.
Để biết rõ hơn về những trường hợp không nên bọc răng sứ thì bạn cần phải tìm đến trung tâm nha khoa uy tín, chất lượng để được thăm khám, chụp phim XQ và xác định tình trạng răng hiện tại. Nếu bạn thấy tình trạng sức khỏe răng miệng của mình đang có những vấn đề trên thì hãy đến ngay hệ thống Nha khoa HanSeoul để được bác sĩ thăm khám và điều trị sớm nhất nhé.





