Niềng răng bao nhiêu tiền là câu hỏi của rất nhiều người muốn thực hiện chỉnh nha nhưng vẫn còn lăn tăn về chi phí. Tùy thuộc vào tình trạng răng, phương pháp niềng, tay nghề bác sĩ và nha khoa thực hiện mà chi phí mỗi ca niềng sẽ khác nhau. Bài viết này hãy cùng nha khoa Hanseoul tìm hiểu rõ hơn về chi phí niềng răng.
Niềng răng là gì?
Niềng răng là phương pháp chỉnh nha giúp điều chỉnh răng và khớp cắn về đúng vị trí trên cung hàm dựa trên sự di chuyển của răng và độ thích nghi của xương hàm theo từng lộ trình được tính toán từ trước bằng các khí cụ niềng chuyên biệt. Niềng răng kết hợp với chế độ chăm sóc răng miệng đúng cách sẽ giúp răng càng thêm chắc khỏe.
Niềng răng thường được chỉ định cho những trường hợp răng miệng bị khiếm khuyết như:
- Răng hô, khấp khểnh, móm, thưa,…
- Sai lệch khớp cắn: khớp cắn hở, cắn sâu, cắn chéo, cắn đối đỉnh,…
- Thiếu răng bẩm sinh, răng mọc ngầm, mất răng,…

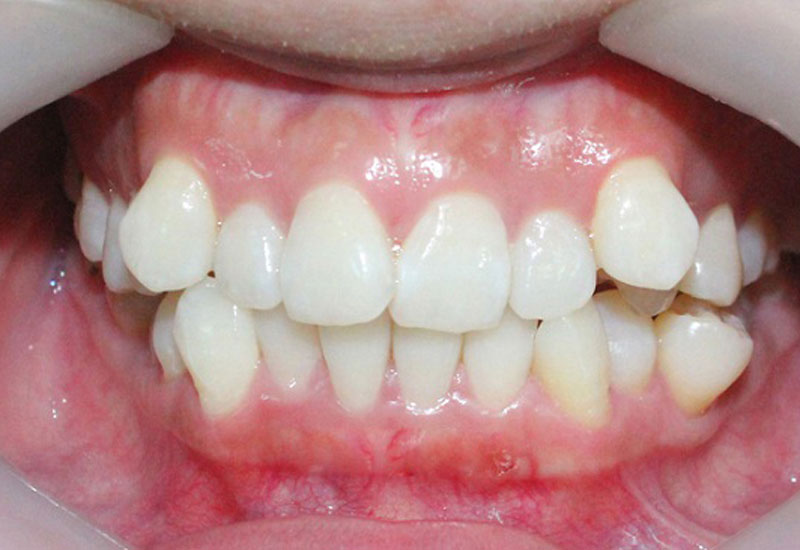
Hình ảnh răng khấp khểnh
Mặc dù là một phương pháp truyền thống nhưng đến nay, niềng răng vẫn được rất nhiều người lựa chọn để chỉnh nha nhờ những hiệu quả vượt trội mà nó mang lại:
- Giúp hàm răng đều đặn, thẳng hàng, tăng tính thẩm mỹ cho răng và tính hài hòa cho cả khuôn mặt từ đó gia tăng tự tin khi giao tiếp.
- Làm giảm áp lực cho quai hàm trong trường hợp người niềng bị lệch khớp cắn.
- Cải thiện tình trạng ăn nhai tốt hơn và bảo vệ sức khỏe răng miệng nói chung.
1 Vì sao hiện nay chi phí niềng răng lại khác nhau?
Chi phí cho một ca niềng răng thường từ vài chục đến cả trăm triệu đồng và là một trong những yếu tố khiến khách hàng quyết định có nên niềng răng hay không. Chi phí niềng răng sẽ phụ thuộc ít nhiều vào các yếu tố dưới đây:
- Phương pháp niềng: đây là yếu tố chính quyết định chi phí niềng tại các trung tâm nha khoa. Niềng răng mắc cài kim loại, mắc cài sứ, niềng răng trong suốt Invisalign,… đều sẽ có mức giá khác nhau. Trong đó, niềng răng mắc cài kim loại có mức giá thấp nhất và niềng răng trong suốt Invisalign có mức giá cao nhất.
- Độ phức tạp của răng: mức độ lệch lạc của răng ảnh hưởng rất lớn đến chi phí niềng răng trọn gói. Răng càng lệch lạc, càng phức tạp thì thời gian niềng càng lâu, khí cụ sử dụng càng nhiều và chi phí càng cao vì phải sử dụng thêm một số thủ thuật hỗ trợ khác như nhổ răng, nong hàm,…
- Tình trạng bệnh lý răng miệng: một số trường hợp đang mắc các vấn đề như sâu răng, viêm tủy, viêm nha chu,… sẽ phải mất thêm một khoản chi phí để điều trị răng hoàn toàn khỏe mạnh trước khi niềng. Điều này khiến chi phí niềng trọn gói gia tăng thêm phần nào.

- Nha khoa thực hiện: mỗi phòng khám nha khoa sẽ có mức giá khác nhau. Thông thường, các nha khoa lớn, nhiều cơ sở sẽ có chi phí niềng răng cao hơn các nha khoa nhỏ do sự khác biệt về cơ sở vật chất, máy móc thiết bị,… Các địa chỉ niềng răng giá rẻ thường không đảm bảo về chất lượng và sử dụng các loại khí cụ chỉnh nha kém chất lượng, dễ bung vỡ, không tạo lực chuẩn khiến hiệu quả chỉnh nha không được như mong muốn.
- Tay nghề bác sĩ: các bác sĩ được đào tạo bài bản, có kinh nghiệm lâu năm trong lĩnh vực chỉnh nha sẽ giúp bạn đưa ra phác đồ điều trị, thời gian niềng và dụng cụ niềng phù hợp.
2 phương pháp niềng răng phổ biến
- Niềng răng mắc cài kim loại: là phương pháp niềng răng truyền thống phổ biến nhất, sử dụng mắc cài và dây cung được làm bằng kim loại hoặc thép không gỉ. Dây cung sẽ được cố định trên rãnh của mắc cài nhằm tạo lực cứng chắc giúp răng dịch chuyển dần dần về đúng vị trí trên cung hàm. Niềng răng mắc cài kim loại có độ bền cao, hiệu quả niềng răng lâu dài, tiết kiệm chi phí nhưng dễ gây vướng víu khi ăn uống, giao tiếp và có thể gây xước môi, nướu.
- Niềng răng mắc cài sứ: là phương pháp niềng răng sử dụng mắc cài làm bằng sứ cao cấp, có màu sắc gần giống với màu răng thật nên gia tăng được tính thẩm mỹ. Niềng răng mắc cài sứ có cơ chế hoạt động và hiệu quả chỉnh nha tương tự niềng răng mắc cài kim loại nhưng được đánh giá cao hơn về tính thẩm mỹ.
- Niềng răng trong suốt Invisalign: là phương pháp niềng răng sử dụng khay niềng bằng nhựa y tế cao cấp trong suốt dễ dàng tháo lắp để vệ sinh, ăn uống. Với phương pháp này, tính thẩm mỹ gần như được đảm bảo tuyệt đối vì khay nhựa trong suốt mang trên răng sẽ rất khó để nhận biết, phù hợp với những nhiều có nhu cầu cao về tính thẩm mỹ và phải thường xuyên giao tiếp nhiều. Tuy nhiên, phương pháp này có mức giá khá cao, thường trên 100 triệu đồng/ca niềng.
3 Niềng răng bao nhiêu tiền?
Dưới đây là bảng giá niềng răng chỉnh nha theo từng loại mắc cài tại Nha khoa Hanseoul. Lưu ý mức giá này chỉ mang tính chất tham khảo, khách hàng muốn biết chi tiết về chi phí niềng hãy đến thăm khám trực tiếp tại nha khoa để được các bác sĩ tư vấn cụ thể.

Bảng giá niềng răng tại nha khoa Hanseoul
4 Vì sao nên chọn Nha khoa Hanseoul để niềng răng?
Nha khoa Hanseoul là một trong những địa chỉ nha khoa có dịch vụ niềng răng uy tín với mức chi phí phù hợp nhất hiện nay. Với kinh nghiệm hoạt động hơn 15 năm trong nghề và hàng ngàn ca niềng thành công từ khó đến phức tạp, khách hàng khi đến sử dụng dịch vụ chỉnh nha tại Hanseoul đều có thể yên tâm về chi phí và chất lượng dịch vụ tại nha khoa.
Quy tụ đội ngũ bác sĩ đầu ngành, được đào tạo bài bản và giàu kinh nghiệm, mỗi khách hàng có nhu cầu niềng răng khi đến thăm khám đều được bác sĩ tư vấn nhiệt tình và tận tâm, đưa ra phác đồ điều trị rõ ràng, cụ thể dựa trên tình trạng răng của mỗi người. Khách hàng trước khi thực hiện niềng răng đều có thể nhìn thấy trước kết quả niềng để từ đó đưa ra lựa chọn phù hợp cho bản thân.

Phòng nha được trang bị hệ thống máy móc, công nghệ hiện đại cùng cơ sở vật chất tốt nhất để phục vụ cho dịch vụ niềng răng chỉnh nha. Mọi khâu thực hiện như chụp phim X-quang, lên phác đồ điều trị,… đều được hỗ trợ bằng các loại thiết bị tân tiến nhất. Các loại khí cụ niềng đều được kiểm định rõ ràng về chất lượng, cam kết không sử dụng các loại khí cụ kém chất lượng nhằm mang lại hiệu quả chỉnh nha cao nhất cho khách hàng.
Ngoài ra, nha khoa Hanseoul còn áp dụng chính sách niềng răng trả góp lãi suất 0% cho tất cả khách hàng sử dụng dịch vụ. Chi phí trọn gói sẽ được chia thành nhiều đợt và cam kết không phát sinh thêm bất cứ phụ phí trong suốt quá trình niềng. Trước khi niềng răng, khách hàng cũng sẽ được thông tin rõ ràng về thời gian và chi phí niềng để đưa ra quyết định có nên niềng hay không.
Với những thông tin trên, hẳn bạn đã phần nào giải đáp được thắc mắc niềng răng bao nhiêu tiền. Hanseoul mong rằng những chia sẻ trên sẽ giúp bạn có thể lựa chọn phương pháp niềng răng phù hợp nhất với mình. Mọi thắc mắc về dịch vụ niềng răng và các vấn đề răng miệng khác, quý khách vui lòng liên hệ với Nha khoa Hanseoul theo số điện thoại 0939 090 581 hoặc đến trực tiếp các cơ sở của nha khoa để được các bác sĩ thăm khám và tư vấn cụ thể.





