- 1 Niềng răng thẩm mỹ là gì?
- 2 Các phương pháp niềng răng thẩm mỹ
- 2.1 Niềng răng mắc cài
- 2.2 Niềng răng với khay trong suốt không mắc cài
- 3 Các trường hợp nên thực hiện niềng răng thẩm mỹ
- 4 Chi phí dịch vụ niềng răng thẩm mỹ tại Nha khoa Hanseoul
- 5 Niềng răng thẩm mỹ tại Nha khoa Hanseoul uy tín, chất lượng
Niềng răng thẩm mỹ là phương pháp chỉnh nha giúp khắc phục tình trạng răng mọc lệch lạc, hô, móm, vẩu,… giúp bệnh nhân sở hữu một hàm răng đều và đẹp, vừa có tính thẩm mỹ vừa đảm bảo chức năng ăn nhai. Vậy niềng răng thẩm mỹ có giá bao nhiêu và nó có thật sự hiệu quả? Cùng Nha khoa Hanseoul tìm hiểu thêm về phương pháp này qua bài viết sau.
1 Niềng răng thẩm mỹ là gì?
Niềng răng thẩm mỹ là một trong những phương pháp chỉnh nha sử dụng các loại khí cụ nha khoa chuyên dụng như mắc cài, khay niềng,… để dịch chuyển các răng sai lệch về đúng vị trí trên khung hàm.
Kỹ thuật này đang rất phổ biến và được nhiều người yêu thích nhờ khả năng khắc phục các khuyết điểm của răng như răng hô, móm, vẩu, mọc lệch lạc,… mang lại một hàm răng đẹp và đều đặn.

Ngoài ra, niềng răng thẩm mỹ còn có khả năng làm giảm áp lực của khớp cắn, điều chỉnh đúng khớp cắn và hỗ trợ hoạt động cắn, nhai nhẹ nhàng hơn.
Độ tuổi thích hợp nhất để thực hiện niềng răng thẩm mỹ là từ 12 – 18 tuổi do ở thời điểm này, xương hàm vẫn đang trong giai đoạn phát triển nên sẽ rút ngắn thời gian niềng và đạt hiệu quả cao hơn.
2 Các phương pháp niềng răng thẩm mỹ
Tùy vào tình trạng răng, điều kiện tài chính và nhu cầu của khách hàng mà các bác sĩ sẽ tư vấn các loại niềng răng thẩm mỹ phù hợp. Có 3 phương pháp niềng răng thẩm mỹ phổ biến nhất hiện nay, đó là:
2.1 Niềng răng mắc cài
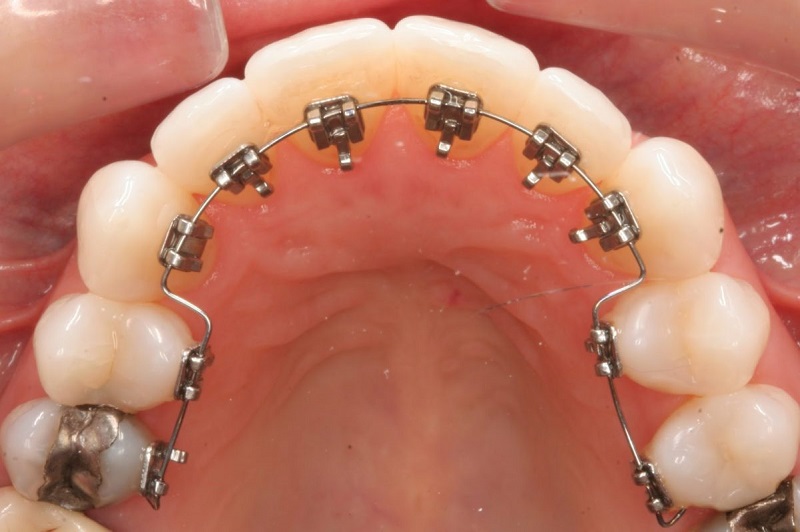
Với phương pháp này, bệnh nhân sẽ được gắn cố định hệ thống mắc cài, dây cung lên răng để tạo lực giúp dịch chuyển răng về đúng vị trí mong muốn. Có 4 loại mắc cài được dùng nhiều nhất hiện nay gồm:
- Mắc cài kim loại: khung niềng răng được làm kim loại có độ bền cao và kết cấu vững chắc. Nhờ lực tác động từ mắc cài và thun, việc chỉnh răng về vị trí mong muốn trở nên dễ dàng hơn. Thời gian niềng răng thường kéo dài từ 18 – 24 tháng tùy vào tình trạng răng của mỗi người.

Hình ảnh niềng răng mắc cài kim loại
- Mắc cài sứ: khung niềng răng được làm từ hợp kim sứ và một số chất liệu vô cơ khác an toàn và không gây kích ứng cho cơ thể. Màu của mắc cài và dây thun gần như trùng với răng thật nên sẽ đạt hiệu quả cao hơn về mặt thẩm mỹ so với mắc cài kim loại, người dùng có thể tự tin và thoải mái hơn trong giao tiếp thường ngày.

Hình ảnh niềng răng mắc cài sứ
- Mắc cài mặt trong: loại mắc cài này cho phép bạn giấu niềng vào mặt trong của răng và hoàn toàn không nhìn thấy được, tạo hiệu quả thẩm mỹ cực cao. Mặc dù giúp người dùng có thể tự tin hơn trong giao tiếp nhưng loại mắc cài này lại có nhược điểm là khả năng di chuyển răng chậm và bị vướng lưỡi khá khó chịu. Ngoài ra, kỹ thuật niềng răng này rất khó, đòi hỏi bác sĩ có trình độ chuyên môn cao và dày dặn kinh nghiệm nên không được ưa chuộng nhiều.

Hình ảnh niềng răng mắc cài mặt trong
- Mắc cài có khóa: loại mắc cài này được thiết kế với các chốt (có thể bằng kim loại hoặc sứ) có khả năng đóng mở linh hoạt, giúp cố định dây cung trong rãnh mắc cài. Các dây cung có thể trượt tự do trong rãnh mắc cài giúp làm giảm lực ma sát, duy trì sự ổn định và ít khi bị bung tuột, đảm bảo thời gian đi nắn chỉnh dây cung.

Hình ảnh niềng răng mắc cài có khóa
2.2 Niềng răng với khay trong suốt không mắc cài
Được đánh giá là một bước tiến mới trong ngành nha khoa thẩm mỹ, niềng răng trong suốt không mắc cài Invisalign không chỉ đảm bảo khả năng dịch chuyển răng hiệu quả mà còn đảm bảo được tính thẩm mỹ và có thể tháo lắp dễ dàng trong quá trình sử dụng.
Phương pháp này sử dụng các khay niềng bằng nhựa dẻo trong suốt thay vì hệ thống mắc cài và dây cung quen thuộc, rất thuận tiện cho việc ăn uống và vệ sinh răng miệng.
3 Các trường hợp nên thực hiện niềng răng thẩm mỹ
Phương pháp niềng răng thẩm mỹ được chỉ định trong một số trường hợp sau:
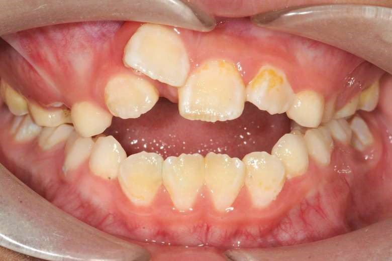
- Răng bị hô, vẩu, móm (từ mức độ nhẹ đến nặng) gây mất thẩm mỹ gương mặt và răng bị hao mòn nhiều hơn khi ăn nhai.

- Răng mọc lộn xộn, chen chúc, khấp khểnh, sai lệch khớp cắn khiến thức ăn dễ mắc vào kẽ răng và khó vệ sinh răng miệng.
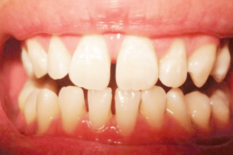
- Răng thưa, có kẽ hở, khoảng cách giữa các răng lớn ảnh hưởng đến việc phát âm, về lâu dài răng dễ bị yếu, lung lay.

- Hai hàm răng không khít, khớp cắn hở khiến việc ăn nhai trở nên khó khăn, phát âm kém, nói ngọng.
- Cằm lẹm cười không thấy răng dưới, khớp cắn sâu ảnh hưởng đến khớp nhai, khớp thái dương và khiến gương mặt thiếu cân đối.
Có thể thấy, niềng răng thẩm mỹ có thể phù hợp với nhiều trường hợp, giúp xử lý các khuyết điểm trên răng và cải thiện tính thẩm mỹ của răng.
4 Chi phí dịch vụ niềng răng thẩm mỹ tại Nha khoa Hanseoul
Là hệ thống nha khoa hàng đầu tại Việt Nam, Nha khoa Hanseoul cam kết mang lại trải nghiệm niềng răng tuyệt vời nhất với chi phí phù hợp nhất với khách hàng. Tham khảo bảng giá các loại niềng răng tại Nha khoa Hanseoul:
| Tên dịch vụ | Đơn giá | Đơn vị tính |
| Mắc cài kim loại Gemini (3M-Mỹ) | 30.000.000 – 35.000.000 | Trọn gói |
| Mắc cài kim loại Victory (3m-Mỹ) | 35.000.000 – 40.000.000 | Trọn gói |
| Mắc cài KL tự buộc Smartclip | 40.000.000 – 45.000.000 | Trọn gói |
| Mắc cài sứ thường Clarity (3M-Mỹ) | 45.000.000 – 55.000.000 | Trọn gói |
| Mắc cài sứ tự buộc Ultra (3M-Mỹ) | 55.000.000 – 65.000.000 | Trọn gói |
| Chỉnh nha Invisalign | 80.000.000 – 120.000.000 | Trọn gói |
| Nhổ răng chỉnh nha | 1.000.000 | 1 răng |
Ngoài ra, trong quá trình niềng răng, khách hàng có thể phải sử dụng thêm một số khí cụ để hỗ trợ quá trình chỉnh nha diễn ra thuận lợi và đạt kết quả tốt hơn.
Tùy từng trường hợp mà khi thăm khám, các bác sĩ sẽ chỉ định phải dùng thêm khí cụ nào. Dưới đây là bảng giá các loại khí cụ tại Nha khoa Hanseoul:
| Tên dịch vụ | Đơn giá | Đơn vị tính |
| Minivis | 2.000.000 | 1 vít |
| Hàm duy trì | 1.000.000 | 1 hàm |
| Hàm Twin Block | 8.000.000 | 1 hàm |
| Khí cụ 2×4 | 8.000.000 | 1 cái |
| Hàm Hawley lò xo đẩy | 3.500.000 | 1 hàm |
| Hàm Hawley ốc nong | 5.000.000 | 1 hàm |
| Hàm ốc nong nhanh | 8.000.000 | 1 hàm |
| Khí cụ TPA | 2.000.000 | |
| Cung lưỡi | 2.000.000 | |
| Khí cụ Headgear | 10.000.000 | |
| Khí cụ Facemask | 10.000.000 | |
| Máng mặt phẳng nghiêng | 3.000.000 | |
| Chụp cằm | 5.000.000 |
5 Niềng răng thẩm mỹ tại Nha khoa Hanseoul uy tín, chất lượng
- Mỗi khách hàng sử dụng dịch vụ niềng răng thẩm mỹ tại Nha khoa Hanseoul đều sẽ được thăm khám, tư vấn miễn phí và đưa ra lộ trình điều trị rõ ràng, cụ thể nhằm đảm bảo về chất lượng điều trị.
- Đội ngũ bác sĩ, chuyên gia niềng răng giỏi, được đào tạo bài bản và có năng lực chuyên môn top đầu.
- Hệ thống máy móc hiện đại, tối tân được nhập khẩu trực tiếp từ Châu Âu giúp bác sĩ chẩn đoán chính xác tình trạng răng miệng từ đó lên phác đồ điều trị phù hợp và tính toán bảng giá niềng răng hợp lý.
- Hệ thống thanh trùng đạt chuẩn Bộ Y tế yêu cầu, có dụng cụ riêng biệt cho từng khách hàng.
- Hỗ trợ dịch vụ trả góp lãi suất 0% để tạo điều kiện thuận lợi cho khách hàng có nhu cầu niềng răng nhưng có đủ chi phí, làm giảm thiểu áp lực kinh tế. Khách hàng được thoải mái lựa chọn loại mắc cài phù hợp với nhu cầu thẩm mỹ và khả năng tài chính của bản thân.





