Tẩy trắng răng là một phương pháp làm thay đổi màu sắc của răng, trở nên trắng sáng hơn. Tuy nhiên, việc tẩy trắng răng có gây hại không, làm mòn men răng không là thắc mắc của nhiều người khi có ý định sử dụng phương pháp này để cải thiện nụ cười, giúp tự tin hơn trong quá trình giao tiếp. Vì thế, trước khi tẩy trắng răng, bạn cần tìm hiểu rõ tình trạng xỉn màu, nhiễm màu của răng có thể cải thiện với phương pháp nào.
1 Tìm hiểu chung về tẩy trắng răng
Tẩy trắng răng là một phương pháp sử dụng các chất oxy hóa cho thấm qua lớp men, khi kết hợp với năng lượng ánh sáng tạo ra phản ứng oxi hóa, cắt đứt các chuỗi phân tử màu trong ngà răng giúp răng trắng sáng hơn so với màu răng ban đầu mà không gây ra bất kỳ tổn hại tới bề mặt răng và các yếu tố trong răng.

Hình ảnh chiếu đèn Laser Whitening
Tẩy trắng răng là phương pháp hiệu quả giúp cải thiện hàm răng ố vàng và trắng sáng hơn vài tone so với ban đầu. Nguyên nhân dẫn đến nhiễm màu răng bao gồm 2 nhóm chính sau đây:
1.1 Nhiễm màu ở bề mặt răng
- Do sử dụng thực phẩm và đồ uống có màu đậm: socola, nước ngọt, cà phê, rượu vang,..làm mòn men răng, ảnh hưởng đến vẻ đẹp tự nhiên của hàm răng
- Thuốc lá: Người hút thuốc lá lâu năm thường đi kèm với tình trạng răng bị ố vàng do nhựa thuốc lá kết hợp với lớp màng mỏng trên răng, gây mất thẩm mỹ.

Hút thuốc lá ảnh hưởng tới men răng
- Chăm sóc, vệ sinh răng miệng kém: việc đánh răng và dùng chỉ nha khoa không đúng cách, tạo điều kiện thuận lợi cho thức ăn thừa cùng vi khuẩn bám vào men răng khiến màu răng nhiễm màu sậm hơn.
- Nước muối sinh lý, nước súc miệng: Các loại nước súc miệng có chứa Chlorhexidine hoặc Hexetidine có thể làm răng nhiễm màu nếu sử dụng trong thời gian dài.
1.2 Nhiễm màu cấu trúc răng
- Tuổi tác: Lớp bên ngoài của men răng theo thời gian bị mòn dần, tiếp xúc với nhiều loại đồ uống và thực phẩm đậm màu sẽ khiến tình tặng răng bị nhiễm màu nghiêm trọng hơn.
- Di truyền: Cấu tạo men răng mỏng hay dày có thể được di truyền. Người có lớp men răng dày sẽ ít bị nhiễm màu hơn, ngược lại người có men răng mỏng sẽ thấy rõ ngà răng vàng bên trong. Vì thế nếu hầu hết các thành viên trong gia đình có răng bị ố vàng, xỉn màu thì nguy cơ răng bạn bị xỉn màu cũng rất cao.

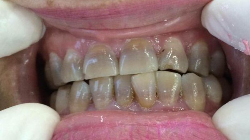
Hình ảnh răng nhiễm kháng sinh Tetracyclin
- Nhiễm kháng sinh: Các hợp chất trong kháng sinh Tetracycline khuếch tán vào mô canxi hóa mới hình thành, làm muối của nguyên tố màu thẩm thấu vào ngà răng khiến răng bị nhiễm màu. Khi người mẹ đang mang thai mà sử dụng nhiều thuốc kháng sinh thì thai nhi sau khi sinh ra sẽ bị nhiễm màu cấu trúc răng rất cao.
- Dư Florua: Khi bạn sử dụng nguồn nước có lượng Fluor cao hoặc dùng quá liều kem đánh răng Fluoride hay bổ sung florua bằng đường uống có thể làm thay đổi màu sắc trong cấu trúc răng.
2 Tẩy trắng răng gây hại gì không?
Hiện nay có nhiều phương pháp cải thiện màu sắc của răng, trong đó đó phương pháp tẩy trắng răng – đây được coi là phương pháp áp dụng rộng rãi ở Việt Nam và nhiều đất nước trên thế giới. Theo các nghiên cứu, tẩy trắng răng hoàn toàn an toàn cho sức khỏe răng miệng, không gây hại cho men răng, không làm biến đổi cấu trúc răng nếu được thực hiện đúng kỹ thuật bởi bác sĩ giàu kinh nghiệm cùng chuyên môn.
Tuy nhiên để đảm bảo an toàn và đạt được hiệu quả tốt, bạn nên lựa chọn một nha khoa uy tín, tốt nhất với thuốc tẩy trắng có nguồn gốc xuất xứ rõ ràng, công nghệ đèn chiếu hiện đại.
Trường hợp tẩy trắng răng tại nhà nên có sự chỉ định và hướng dẫn của bác sĩ nha khoa, tránh rơi vào trường hợp sử dụng thuốc tự do bên ngoài không rõ nguồn gốc, nồng độ không theo chỉ định, dẫn đến thuốc lan tràn xuống nướu, gây ra các bệnh lý răng miệng nghiêm trọng.
3 Hiệu quả tẩy trắng răng
Kết quả tẩy trắng răng ở mỗi người là khác nhau, nó phụ thuộc vào nguyên nhân và mức độ nhiễm màu ban đầu. Độ trắng sáng của răng có thể sẽ giảm dần theo thời gian nhưng vẫn trắng hơn nếu so sánh với răng ban đầu.
4 Trường hợp nào có thể tẩy trắng răng?
Hất hết tất cả mọi người trong chúng ta đều có thể tẩy trắng răng. Tuy nhiên, ngoại trừ một số trường hợp sau không nên tẩy trắng răng:
- Phụ nữ đang mang thai và cho con bú: bởi những hoạt chất có trong thuốc tẩy trắng răng có thể ảnh hưởng tới sức khỏe trẻ nhỏ sau này.

Phụ nữ đang mang thai không nên tẩy trắng răng
- Trẻ em dưới 16 tuổi vì thuốc tẩy trắng có thể gây kích thích cho tủy răng, làm nhạy cảm.
- Những người đang mắc bệnh lý nha chu, sâu răng, mòn cổ răng,..
- Những người bị dị ứng với các thành phần có trong thuốc tẩy trắng răng.
5 Tẩy trắng răng ở đâu tốt nhất tại quận Cầu Giấy
Sở hữu một hàm răng có màu sắc trắng sáng tự nhiên là ước muốn của rất nhiều người, giúp nụ cười tự tin hơn, diện mạo trẻ trung, tạo ấn tượng tốt với mọi người trong khi giao tiếp.
Tẩy trắng răng tại một địa chỉ nha khoa uy tín cùng với tay nghề bác sĩ cao, công nghệ hiện đại tiên tiến, loại thuốc sử dụng chất lượng,.. sẽ đem đến cho bạn kết quả tẩy trắng răng hài lòng như ý.
Nha Khoa Hanseoul với hơn 15 năm trong ngành dịch vụ chăm sóc sức khỏe và vẻ đẹp thẩm mỹ cho răng miệng, được đánh giá là địa chỉ tẩy trắng răng răng tốt nhất tại quận Cầu Giấy, thành phố Hà Nội. Đến tẩy trắng răng tại đây bạn sẽ được phục vụ bởi:
- Đội ngũ bác sĩ có kiến thức chuyên môn cao, dày dặn kinh nghiệm, xuất thân từ các trường Đại học Y Hà Nội, Bệnh viện răng hàm mặt TW, tu nghiệp tại Seoul – Hàn Quốc.

- Thiết bị phòng khám nha khoa sử dụng có xuất xứ do ràng, nhập khẩu trực tiếp từ nhà máy OSstem, Hàn Quốc.
- Không gian phòng khám hiện đại, tạo cảm giác thư thái cho khách hàng, không căng thẳng trong quá trình điều trị, giải pháp hiệu quả cho những bệnh nhân ám ảnh không khí bệnh viện.
- Nha khoa luôn cập nhật những công nghệ tiên tiến, hiện đại nhất, mang đến trải nghiệm hài lòng 100% cho khách hàng khi sử dụng các dịch vụ tại đây.
6 Bảng giá tẩy trắng răng mới nhất của Nha Khoa Hanseoul
Chi phí tẩy trắng răng ở phụ thuộc vào loại thuốc sử dụng, công nghệ thực hiện, mức độ nhiễm màu của răng,..
Sau đây là bảng giá tẩy trắng răng mới nhất năm 2022 tại nha khoa Hanseoul
Trong dịp cuối năm, từ nay đến 31/12/2022, Nha Khoa Hanseoul đang có chương trình ưu đãi cho khách hàng sử dụng dịch vụ tẩy trắng răng hấp dẫn. Đến ngày địa chỉ nha khoa hoặc liên hệ qua hotline 0939 090 581 để được hỗ trợ tốt nhất.
Và đừng quên theo dõi các bài viết kỳ sau của chúng tôi để cấp nhật nhiều thông tin hữu ích nhé!





