- 1 Nhu cầu sử dụng dịch vụ trám răng hiện nay – Những ai nên trám răng?
- 2 Trám răng có đau không?
- 3 Top 6 vật liệu trám răng tốt nhất hiện nay được khách hàng ưa chuộng
- 3.1 Trám răng bằng Composite
- 4 Chất liệu trám răng sứ Inlay – Onlay
- 4.1 Ưu điểm:
- 4.2 Nhược điểm:
- 4.3 Trám răng bằng Z350XT – 3M (Mỹ)
- 4.4 Lựa chọn vật liệu trám răng GIC
- 4.5 Ưu điểm:
- 4.6 Nhược điểm:
- 4.7 Vật liệu trám bằng vàng
- 4.8 Sử dụng vật liệu trám Amalgam
- 5 Lý do nên trám răng tại Nha khoa HanSeoul
- 6 Bảng giá trám răng chuẩn nhất tại Nha khoa HanSeoul
Trám răng được đánh giá là phương pháp bảo vệ răng được lựa chọn nhiều nhất hiện nay. Nó không chỉ tốt hơn về mặt thẩm mỹ mà còn đảm bảo chức năng ăn nhai của bạn. Vậy, trên thị trường hiện nay có những loại vật liệu trám răng nào? Hãy cùng Nha khoa HanSeoul tìm hiểu 6 loại vật liệu liệu trám răng được khách hàng ưa chuộng nhất nhé!
1 Nhu cầu sử dụng dịch vụ trám răng hiện nay – Những ai nên trám răng?
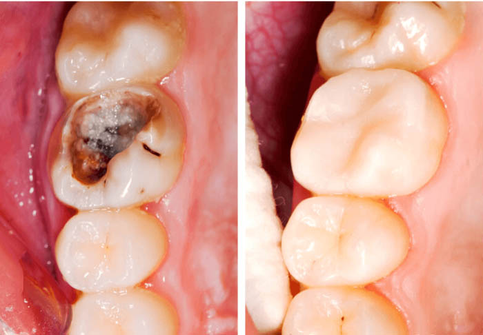
Trám răng (Hàn răng) là phương pháp bảo vệ răng bằng cách bịt kín các lỗ răng sâu hay phần sứt mẻ trên răng. Phương pháp này có tác dụng ngăn cản sự đeo bám và tấn công của vi khuẩn đến ngà răng và phần tủy răng gây ảnh hưởng đến sức khỏe cũng như tuổi thọ răng.
Với lợi ích mà phương pháp này mang lại, hiện nay, việc trám răng đã không còn xa lạ đối với mọi người. Hầu hết, tất cả các phòng khám nha khoa trên thị trường đều cung cấp đến khách hàng dịch vụ tối ưu này.

Hình ảnh răng thưa
Trám răng được bác sĩ chỉ định với 2 mục đích là điều trị và phòng ngừa, bảo vệ răng. Thông thường, những người gặp trường hợp dưới đây cần phải đến nha khoa để trám răng:
- Răng bị mòn mặt nhai
- Răng bị vỡ, sứt mẻ do gặp tai nạn, chấn thương
- Răng có màu sậm, không đều màu, việc trám răng có thể cải thiện màu sắc răng
- Răng đục lỗ, bị sâu và có nhiều rãnh đen
2 Trám răng có đau không?
“Sợ đau” là tâm lý của rất nhiều người khi có nhu cầu sử dụng dịch vụ trám răng. Vì lo sợ mà một số khách hàng sẽ cảm thấy hoang mang, ngần ngại nên chưa dám đến nha khoa để thực hiện. Trên thực tế, trám răng có đau hay không, các bạn có thể tham khảo từ những bệnh nhân đi trước. Còn nếu không có người tham khảo, nó sẽ phụ thuộc vào nhiều yếu tố như sau:
- Tùy thuộc vào cơ địa của mỗi người: Cơ địa mỗi người sẽ có sự nhạy cảm khác nhau, có người cơ địa yếu, có người cơ địa khỏe mà cảm nhận trám răng có đau hay không.
- Tình trạng răng của mỗi bệnh nhân: Đây được xem là yếu tố quyết định quan trọng nhất đến việc khi trám răng có đau không. Cụ thể, những bệnh nhân có trường hợp răng bị tổn thương nặng thì quá trình thực hiện trám răng sẽ đau nhức và ê buốt hơn những người bị nhẹ.

Hình ảnh trám răng có đau không
- Phụ thuộc vào vật liệu trám: Nếu phòng khám nha khoa sử dụng những vật liệu trám kém chất lượng nó có thể sẽ gây ảnh hưởng không tốt đến với sức khỏe răng miệng của bệnh nhân. Theo đó, những kích ứng khi trám răng sẽ gây ra đau nhức và để lại biến chứng nguy hiểm.
- Tay nghề, kinh nghiệm thực tế của bác sĩ thực hiện: Nếu bác sĩ thực hiện trám răng cho bạn mà có trình độ chuyên môn thấp, tay nghề non kém, kinh nghiệm chưa có nhiều, bạn sẽ rất dễ gặp phải tình trạng đau nhức, ê buốt trong quá trình điều trị.
3 Top 6 vật liệu trám răng tốt nhất hiện nay được khách hàng ưa chuộng
3.1 Trám răng bằng Composite
Vật liệu Composite – Đây là loại vật liệu mới nhất trên thị trường, sử dụng phổ biến rộng rãi cũng như được nhiều khách hàng lựa chọn trong những năm gần đây. Ở nước ngoài, composite ngày càng được ưa chuộng bởi với tính năng ưu việt của nó mang lại, hơn hẳn các loại vật liệu khác. Ở nước ta trám composite hay còn được mọi người gọi là trám răng thẩm mỹ.
Ưu điểm:
– Mang lại tính thẩm mỹ cao, màu sắc giống màu răng tự nhiên một cách chính xác nhất
– Độ bền, cứng, độ chịu lực, chịu mòn của vật liệu composite cũng cao loại vật liệu khác
– Bệnh nhân sử dụng vật liệu này chỉ cần đến nha khoa làm tối đa 1 lần hẹn
Nhược điểm:
– Trám răng bằng composite có giá thành khá cao, nhiều người kinh tế hạn hẹp còn đắn đo
– Miếng trám có thể sẽ đổi màu sau vài năm nếu như không chăm sóc đúng cách
– Các răng chịu lực mạnh còn hạn chế vì composite có thể sẽ bị bong tróc khi nó chịu tác động của lực nhai mạnh (Phụ thuộc vào vị trí trám răng)
4 Chất liệu trám răng sứ Inlay – Onlay
Inlay – Onlay là chất liệu trám cao cấp, từ đó giúp phục hình răng một cách hiệu quả. Thông thường, vật liệu này sẽ được dùng cho trường hợp răng bệnh nhân bị sứt mẻ, gãy cỡ lớn và yêu cầu quá trình tái tạo khó khăn, phức tạp hơn bình thường.
4.1 Ưu điểm:
Theo đó, vật liệu trám răng Inlay – Onlay đã được công nhận chất lượng với những ưu điểm sau:
- Mang lại tính thẩm mỹ tốt khi miếng trám có màu sắc tự nhiên, gần như là giống hệt răng thật của người.
- Khó bị chuyển màu trong quá trình ăn uống hay các tác động khác
- Khả năng chịu lực cao, có độ kỳ bền chắc, đảm bảo giúp khách hàng yên tâm hơn khi sử dụng

Hình ảnh trám răng sứ Inlay onlay
4.2 Nhược điểm:
Tuy nhiên, vật liệu Inlay – Onlay cũng có một số nhược điểm như:
- Do là vật liệu cao cấp nên giá thành sẽ cao hơn rất nhiều so với một số vật liệu trám răng khác trên thị trường
- Sử dụng vật liệu này sẽ yêu cầu rất cao về mặt công nghệ, quy trình thực hiện, đặc biệt là tay nghề của bác sĩ nha khoa phải đảm bảo
- Thời gian thực hiện lâu hơn so với vật liệu khác, tối thiểu bạn cần đến phòng khám nha khoa 2 lần để hoàn thành
4.3 Trám răng bằng Z350XT – 3M (Mỹ)
Sở hữu hệ thống màu sắc được tối ưu hóa nhằm mục đích tạo ra phục hồi thẩm mỹ ở một cấp độ mới. Composite trám đa năng Z350XT – 3M giúp răng của bệnh nhân dễ dàng tương thích với màu sắc tự nhiên nhất để mang lại có kết quả cuối cùng thẩm mỹ cao nhất.
Với vật liệu trám răng này, nó sẽ có tác dụng:
- Phục hồi hiệu quả trực tiếp cho cả răng trước và răng sau
- Thẩm mỹ tự nhiên hàm răng nhất nhờ cải thiện tính huỳnh quang
- Sử dụng dễ dàng hơn
- Lưu giữ độ bóng độc đáo hơn hạt độn micro bởi công nghệ nano siểu nhỏ
- Độ bền, chắc đảm bảo cho cả răng trước và răng sau

Hình ảnh trám răng bằng composite filtek Z350XT
4.4 Lựa chọn vật liệu trám răng GIC
GIC – Đây là loại vật liệu có màu sắc là trắng bột, chúng được sản xuất trực tiếp từ men răng nhân tạo với mục đích tái tạo răng bị vỡ, sâu,…
4.5 Ưu điểm:
- Độ thẩm mỹ khá cao, vì GIC giúp phần trám sẽ có màu sắc gần như trùng với màu răng thật. Tuy nhiên vẫn kém hơn một chút so với vật liệu Composite)
- Do vật liệu này có chứa thành phần Flour nên nó sẽ có công dụng chống sâu răng cũng như bảo vệ, ngăn ngừa được sự xâm nhập của vi khuẩn gây ra.
- Giá thành tương đối rẻ, phù hợp với nhiều đối tượng khách hàng đang có nhu cầu trám răng

Hình ảnh vật liệu trám răng Gic
4.6 Nhược điểm:
Bên cạnh ưu điểm, vật liệu GIC còn tồn tại hai nhược điểm là:
- Độ bền, độ cứng chắc được đánh giá là chưa thật sự tốt nên rất dễ bị gãy vỡ khi khách hàng sử dụng một thời gian
- Khả năng chống mòn khá kém. Chính vì vậy, vật liệu này thường được dùng cho các răng cửa của bệnh nhân.
4.7 Vật liệu trám bằng vàng
Vật liệu trám răng bằng vàng được làm từ hợp kim vàng, có độ bền cứng cao nên được đánh giá là một trong những vật liệu có chất lượng tốt nhất. Vì vậy, vật liệu này thường được sử dụng cho khách hàng có nhu cầu trám răng hàm. Ưu điểm:
- Tuổi thọ khá lâu do có độ bền cao. Nếu chăm sóc đúng cách, nó có thể kéo dài từ 10 năm đến 15 năm, thậm chí là lâu hơn
- Chịu đựng được sức nhai bình thường rất tốt

Nhược điểm:
- Vì là chất liệu vàng nên giá thành cho việc sử dụng vật liệu này sẽ cao hơn so với những chất liệu khác. Đồng thời, công đoạn làm miếng trám vàng cũng cần đòi hỏi nhiều thời gian
- Màu sắc cũng khá chênh lệch so với màu răng thật, vì vậy bạn bên cân nhắc
4.8 Sử dụng vật liệu trám Amalgam
Trám răng bằng vật liệu Amalgam hay còn được gọi là trám chì. Vật liệu này được tạo nên từ hợp kim đồng, bạc, thiếc, thủy ngân. Hỗn hợp này sẽ cho ra màu bạc và thường dùng để trám răng hàm hoặc răng tiền hàm cho bệnh nhân.
Ưu điểm:
- Chi phí khá thấp ( thấp hơn trám Composite) nhưng tuổi thọ cao
- Độ bền chắc cũng như chịu được sức lực nhai tương đối tốt

Trám răng bằng vật liệu Amalgam
Nhược điểm:
- Màu trám bằng bạc đôi khi sẽ không trùng khớp với màu răng thật của một số bệnh nhân. Từ đó, mang lại tính thẩm mỹ không được cao
- Sau khi trám xong có thể sẽ có một vài mảnh vụn rơi ra khi trong quá trình ăn uống do miếng trám rất dễ bị bong tróc. Do đó, bệnh nhân sẽ phải hạn chế nhai thức ăn sau 24 giờ để phần trám răng đạt đến độ cứng ổn định của nó.
- Vật liệu trám răng này đôi khi sẽ gây kích ứng với cơ thể, nhất là đối với phụ nữ đang mang thai vì trong vật liệu Amalgam có chứa thủy ngân nên những bệnh nhân này rất dễ nhiễm độc.
Tóm lại, mỗi loại vật liệu trám răng đều có những ưu – nhược điểm khác nhau. Vì vậy, sẽ tùy vào tình trạng răng, nhu cầu, sở thích cũng như điều kiện tài chính của bản thân mà bạn có thể đưa ra lựa chọn loại phù hợp nhất để sử dụng.
5 Lý do nên trám răng tại Nha khoa HanSeoul
Dịch vụ trám răng được đánh giá là kỹ thuật không quá phức tạp, nhưng nếu không được thực hiện đúng theo quy trình thì bệnh nhân rất dễ dàng gặp phải những vấn đề như: bong tróc vật liệu trám, bị đau nhức, không đảm bảo tính thẩm mỹ,…
Thực hiện trám răng tại Nha khoa HanSeoul, bạn sẽ hoàn toàn yên tâm khi sở hữu hàm răng đẹp với thời gian nhanh chóng. Chính điều này luôn làm hài lòng những khách hàng khó tính nhất khi đến với nha khoa.

Đội ngũ bác sĩ thực hiện trám răng tại HanSeoul đều có tay nghề cao, khéo léo, thực hiện trám răng thành công cho hàng ngàn khách hàng. Ngoài ra, các bác sĩ còn nắm bắt được xu hướng thẩm mỹ tiên tiến hàng đầu trên thế giới, từ đó trực tiếp thăm khám, tư vấn và điều trị cho bạn một cách hiệu quả nhất.
Các vật liệu sử dụng tại Nha khoa HanSeoul không chỉ có màu sắc như răng thật mà còn được kiểm định an toàn, đảm bảo sự yên tâm nhất có thể với bệnh nhân. Với vật liệu đa dạng, cho nên dù là bạn cần phục hình ở vị trí nào, mức độ khó đến mấy vẫn không lo lắng xảy vấn đề gì.
6 Bảng giá trám răng chuẩn nhất tại Nha khoa HanSeoul
Trám răng tại Nha khoa HanSeoul không chỉ nhanh chóng, đảm bảo hiệu quả , nhân viên tư vấn chu đáo, tận tình mà chi phí sử dựng dịch vụ còn phù hợp, có nhiều sự lựa chọn cho bạn, cụ thể:
| TRÁM RĂNG | BẢO HÀNH | ĐVT | GIÁ (VNĐ) |
| Trám mặt nhai bằng P60 – 3M (Mỹ) | 6 tháng | 1 Răng | 200.000 |
| Trám răng bằng composite bulk fill – 3M (Mỹ) | 6 tháng | 1 Răng | 400.000 |
| Trám mặt bên bằng bulk fill – 3M (Mỹ) | 6 tháng | 1 Răng | 400.000 |
| Trám cổ răng bằng Z350 XT – 3M (Mỹ) | 6 tháng | 1 Răng | 200.000 |
| Trám thẩm mỹ bằng phương pháp Style Italiano – 3M (Mỹ) | 1 năm | 1 Răng | 1.500.000 |
| Trám lót bằng Vitrebond hãng 3M (Mỹ) | 6 tháng | 1 Răng | 200.000 |
Trên đây là top 6 vật liệu trám răng tốt nhất hiện nay được khách hàng ưa chuộng. Hy vọng bài viết này đã cung cấp thêm cho bạn nhiều kiến thức hữu ích về dịch vụ trám răng. Nếu như còn thắc mắc nào khác, bạn có thể gọi vào số hotline 0928.75.7777 & 0939.090.581 hoặc đến trực tiếp nha khoa HanSeoul để được các bác sĩ hỗ trợ nhanh chóng bạn nhé!





