- 1 Trám răng cửa có đau không? Độ bền như thế nào?
- 2 Khi nào cần trám răng cửa?
- 2.1 Trường hợp răng cửa bị sâu
- 2.2 Trường hợp răng cửa bị sứt mẻ, vỡ
- 2.3 Trường hợp răng cửa bị mòn men răng hoặc mòn cổ răng
- 3 Những lưu ý sau quan trọng cần biết khi trám răng cửa
- 4 Nha khoa HanSeoul – Nơi trám răng cửa an toàn và bền lâu
- 5 Quy trình trám răng cửa đảm bảo tại Nha khoa HanSeoul
Thật không may nếu bạn gặp phải tình trạng về răng cửa như bị sâu hoặc bị mẻ. Răng cửa ở vị trí đặc biệt khiến bạn tự tin, không dám cười lộ răng và bạn muốn khắc phục ngay lập tức nhưng lại sợ đau. Vậy có trám răng cửa có đau không? Hãy cùng nha khoa Hanseoul tìm hiểu để biết thêm thông tin nhé!
1 Trám răng cửa có đau không? Độ bền như thế nào?
Trám răng cửa có đau không còn phụ thuộc vào nhiều yếu tố, đặc biệt là về tay nghề bác sĩ và tình trạng sức khỏe răng miệng của bạn có đảm bảo hay không.
Nếu như bạn lựa chọn được đúng địa chỉ nha khoa uy tín, chất lượng thì quá trình thực hiện trám răng cửa hoàn toàn không đau. Do trong trước đó,, bác sĩ sẽ tiêm thuốc tê ở vùng răng cần điều trị, tránh gây ra cảm giác đau nhức và giúp bạn có một tâm lý thoải mái, yên tâm hơn.

Trám răng được đánh giá là một trong những kỹ thuật nha khoa đơn giản, với thời gian thực hiện nhanh chóng (chỉ từ 15 phút) và đặc biệt là với chi phí rẻ. Tuy nhiên, có khá nhiều người băn khoăn, chưa dám làm vì không biết trám răng cửa có bền không? Thực tế trám răng cửa cũng như các răng khác, để có thể giữ được độ bền, bạn cần chú ý đến:
- Dựa vào vật liệu làm trám răng
- Dựa vào nha khoa và tay nghề, kinh nghiệm của bác sĩ
- Quá trình chăm sóc răng miệng sau khi trám răng có đảm bảo an toàn không
2 Khi nào cần trám răng cửa?
Trám răng cửa là một phương pháp mang lại tính thẩm mỹ cao nhưng không ai cũng nên thực hiện phương pháp này. Bạn chỉ nên sử dụng khi gặp các vấn đề sau:
2.1 Trường hợp răng cửa bị sâu
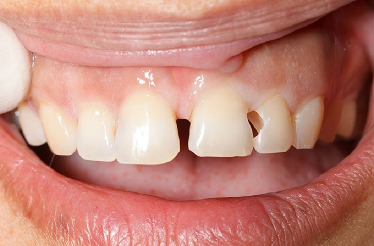
Răng sâu dù ở bất cứ vị trí nào cũng cần phải điều trị để loại bỏ các lỗ sâu trên răng, đặc biệt là đối với vị trí răng cửa. Nguyên nhân sâu răng cửa có thể là do bạn ăn nhiều đồ ăn chứa nhiều đường và tinh bột, uống nước ngọt hoặc vệ sinh răng miệng không đúng cách… khiến mảng thức ăn vụn còn lại bị mắc kẹt ở các kẽ răng trong lâu ngày, từ đó gây sâu răng.

Hình ảnh răng cửa bị sâu
Chính vì vậy, trám răng sâu ở cửa là điều rất cần thiết để phục hình thẩm mỹ cho hàm răng của bạn.
2.2 Trường hợp răng cửa bị sứt mẻ, vỡ
Khi chúng ta ăn hoặc cắn đồ cứng, răng cửa có thể rất dễ gặp chấn thương do va đập mạnh, nó có thể bị sứt mẻ, nứt thậm chí là vỡ. Nếu bạn gặp trong những tình huống đó, nếu không đến nha khoa khôi phục hình dạng răng thì nó không chỉ ảnh hưởng tới thẩm mỹ của cả hàm răng mà còn tạo ra nguy cơ khiến răng dễ bị viêm nhiễm, tổn thương nặng hơn do để lâu ngày.

Để khôi phục tình trạng răng như ban đầu, bạn không nhất thiết phải trồng (cấy ghép) răng giả mà chỉ cần sử dụng dịch vụ trám răng. Bởi kỹ thuật trám sẽ khắc phục các vết nứt, vỡ, sứt mẻ trên răng một cách hiệu quả và nhanh chóng nhất.
2.3 Trường hợp răng cửa bị mòn men răng hoặc mòn cổ răng
Mòn men răng hay mòn cổ răng, đấy là những tổn thương ở tổ chức cứng của răng, không phải do sâu răng. Đặc trưng của tình trạng này là mất chất khu trú ở khu vực men răng và cổ răng, mặt bên ngoài răng – sát với lợi. Thông thường, trường hợp này đều gặp ở cả nam giới và nữ giới, đặc biệt là với những người cao tuổi.
Mòn cổ chân răng nếu để lâu sẽ gây mòn lõm mất chất vùng men răng, nặng hơn có thể mòn tới lớp ngà, gây phá hủy tủy răng, răng có cảm giác ê buốt khi ăn những thực phẩm quá nóng, quá lạnh.
Những ai đang trong tình trạng này cần đến nha khoa để điều trị dứt điểm mòn men răng, mòn cổ răng để tránh những di chứng nguy hiểm hơn trong tương lai.
3 Những lưu ý sau quan trọng cần biết khi trám răng cửa
Việc trám răng cửa có đạt hiệu quả thẩm mỹ cao và bền chắc hay không sẽ phụ thuộc rất nhiều vào yếu tố tay nghề của bác sĩ, công nghệ, vật liệu trám răng và chế độ chăm sóc răng miệng của bệnh nhân sau khi trám răng.
Vì thế, khi tiến hành thực hiện trám răng cửa, bạn cần lưu ý một số thông tin quan trọng như sau:
– Tìm hiểu kỹ và lựa chọn đến địa chỉ phòng khám nha khoa uy tín, nơi có bác sĩ giỏi, công nghệ, thiết bị hiện đại, tân tiến để phục vụ trong quá trình trám răng cửa. Một nha khoa chất lượng sẽ có đội ngũ bác sĩ giỏi, khéo léo và nhiều kinh nghiệm trong nghề sẽ giúp bạn phục hình cho răng đẹp, mang lại kết quả trám răng đẹp, an toàn và bền chắc nhất.

Bệnh nhân trám răng thẩm mỹ tại nha khoa Hanseoul
– Lựa chọn vật liệu trám răng đảm bảo, phù hợp cũng là yếu tố quan trọng để tăng hiệu quả và giúp duy trì miếng trám có tuổi thọ lâu dài, bền đẹp.
– Sau khi trám răng cửa, để giúp duy trì hiệu quả thẩm mỹ, bạn cần có chế độ chăm sóc, bảo vệ răng miệng và ăn uống một cách khoa học theo hướng dẫn của bác sĩ. Nên tránh dùng răng cửa để ăn đồ ăn dai hoặc cắn đồ vật quá cứng, hạn để không làm bong bật vết trám trên răng. Một số đồ ăn, thức uống có thể gây ngả màu răng làm ảnh hưởng tới thẩm mỹ răng cũng nên tránh sử dụng. Bên cạnh đó, việc chải răng đúng cách để giúp răng sạch sẽ, ngăn ngừa các bệnh lý về răng miệng.
4 Nha khoa HanSeoul – Nơi trám răng cửa an toàn và bền lâu
Như đã chia sẻ ở trê, răng cửa có vị trí đặc biệt nên miếng trám đối với răng cửa đòi hỏi yếu tố thẩm mỹ phải cao. Chính vì vậy, nếu chọn sai cơ sở nha khoa thì miếng trám răng cửa của bạn có thể sẽ bị xấu xí, khác với màu răng thật hoặc gây cộm và nhanh chóng bị bong tróc. Để loại bỏ hoàn toàn tình huống đó, bạn nên lựa chọn một nha khoa có đội uy tín cao.
Nha khoa HanSeoul vinh dự là nha khoa hàng đầu về dịch vụ trám răng thẩm mỹ, bao gồm cả những ca dễ đến ca khó nhất. Hàn trám răng cửa tại nha khoa HanSeoul không chỉ đáp ứng yêu cầu cao về tính thẩm mỹ mà còn rất an toàn, độ bền lớn, phục hồi chức năng ăn nhai của bạn. Miếng trám đảm bảo được mài nhẵn và ôm sát răng thật cũng như màu sắc tự nhiên, nếu không nhìn kĩ người đối diện sẽ khó phát hiện sự tồn tại của miếng trám răng cửa.
Tại Nha khoa HanSeoul, 100% sử dụng loại vật liệu trám răng thẩm mỹ hiện đại, tân tiến trên thế giới, có nhiều ưu điểm vượt trội, mang lại cho khách hàng hàm răng đều đẹp nhất, cụ thể:
- Màu sắc đẹp, đa sắc, tự nhiên và tương đồng với răng thật
- Độ cứng chắc, khả năng chịu lực tốt
- An toàn với cơ thể, không gây biến chứng trong quá trình thực hiện và cả sau này
- Đạt độ bóng hoàn hảo mang lại sự tự tin cho bạn
- Không ảnh hưởng đến cấu trúc răng hay các dây thần kinh khác
Khi tiếp nhận các ca trám răng, bác sĩ tại nha khoa HanSeoul luôn cố gắng điều trị một cách tốt nhất, hạn chế thấp nhất việc bệnh nhân phải nhổ đi răng thật, từ đó bảo tồn men răng, răng thật cho bệnh nhân.
5 Quy trình trám răng cửa đảm bảo tại Nha khoa HanSeoul
Tại Nha khoa HanSeoul, dịch vụ trám răng cửa có một quy trình đơn giản, nhanh chóng chỉ bao gồm 5 bước cơ bản nhưng mang lại hiệu quả cao. Nếu tình trạng răng cửa của bạn ở mức độ nhẹ, bạn chỉ cần tới nha khoa một lần là có thể thực hiện trám răng, không phải làm thêm các bước xét nghiệm phức tạp khác. Dưới đây là quy trình trám răng cửa được thực hiện tại HanSeoul:
- Bước 1: Được khám tổng quát toàn bộ khoang miệng để biết được tình trạng răng hiện tại. Từ đó tư vấn phương pháp trám răng cửa phù hợp
- Bước 2: Vệ sinh sạch sẽ khoang miệng để đảm bảo không còn vi khuẩn tấn công
- Bước 3: Gây tê vùng răng cửa nên trám, tạo hình xoang trám
- Bước 4: Thực hiện trám răng cửa cho bệnh nhân
- Bước 5: Mài nhẵn và đánh bóng bề mặt miếng trám răng cửa. Điều chỉnh lại cho phù hợp nhất và hoàn thành
Hy vọng với những thông tin chia sẻ trên sẽ giúp bạn nắm rõ hơn về việc trám răng cửa có đau không. Với đội ngũ chuyên gia, bác sĩ giỏi, máy móc hiện đại, tân tiến và vật liệu trám chất lượng tốt, đảm bảo – Nha khoa HanSeoul là địa chỉ trám răng cửa uy tín, không đau mà bạn hoàn toàn an tâm khi lựa chọn. Hãy đến trực tiếp tại Nha khoa để thăm khám và điều trị nếu như bạn gặp phải trường hợp cần trám răng, chắc chắn sẽ không phải thất vọng khi chọn điều trị tại đây.





