- 1 Trám răng là gì?
- 2 Trám răng áp dụng với những trường hợp nào
- 2.1 Trám răng khi bị sâu
- 2.2 Răng bị vỡ, sứt mẻ
- 2.3 Răng thưa
- 2.4 Trám răng thay cho chỗ trám cũ trước đấy
- 3 Lợi ích của dịch vụ trám răng mang lại
- 4 Có những loại vật liệu trám răng nào? Vật liệu nào được đánh giá là tốt nhất?
- 5 Trám răng không đau, nhanh chóng, hiệu quả tại Nha khoa HanSeoul
Khi gặp phải những trường hợp như răng sâu, răng sứt mẻ, răng thưa,… nhiều người thường được bác sĩ chỉ định nên thực hiện trám răng. Vậy, trám răng là gì? Để có thể hiểu rõ hơn về trám răng cũng như những điều cần lưu ý khi trám răng, mời các bạn theo dõi, tham khảo bài viết sau đây nhé!
1 Trám răng là gì?
Trám răng là hình thức bổ sung men răng nhân tạo nhằm phục phục hồi thẩm mỹ, chức năng ăn nhai cho răng một cách toàn diện cả về hình thể cũng như màu sắc của răng.

Hình ảnh trám răng sâu
Nói một cách dễ hiểu hơn, trám răng (hàn răng) là điều trị nhằm phục hồi chức năng, giải phẫu cho răng đã bị mất cấu trúc do sâu răng, nứt vỡ do chấn thương hay là mòn răng. Bác sĩ sẽ dùng các vật liệu trám răng khác nhau để bù đắp và tạo hình lên phần mất chất của răng.
2 Trám răng áp dụng với những trường hợp nào
2.1 Trám răng khi bị sâu
Sâu răng là tình trạng xuất hiện các lỗ hổng đen ở răng. Nguyên nhân là do vi khuẩn tích tụ, phát triển trong thời gian lâu dài khi bạn ăn những thực phẩm có đường mà không được chăm sóc, bảo vệ răng đúng cách.
Nếu không được điều trị sớm nhất, lỗ hổng đen do sâu răng gây ra sẽ lớn dần, gây ra đau răng nghiêm trọng, nhiễm trùng và thậm chí là mất răng. Một số dấu hiệu bạn có thể nhận biết sâu răng đó là:
- Răng bỗng nhiên đau bất chợt
- Răng thường xuyên bị nhạy cảm
- Xuất hiện lỗ hổng đen, trắng trên răng

- Răng đau sau khi ăn, uống các đồ nóng, ngọt, lạnh… mà không được vệ sinh sạch sẽ
Khi xuất hiện triệu chứng sâu răng, chiếc răng bị sâu sẽ cần được hàn trám để làm đầy lỗ hổng trên phần thân răng, từ đó loại bỏ các triệu chứng khó chịu, đau nhức và giúp phục hồi thẩm mỹ cho chiếc răng sâu.
2.2 Răng bị vỡ, sứt mẻ
Răng có thể bị vỡ, sứt mẻ khi bạn cắn phải thức ăn hay vật dụng gì quá mạnh hoặc bị tai nạn, chấn thương làm ảnh hưởng đến cấu trúc hàm răng.
Nếu vết vỡ, nứt được phát hiện sớm, bạn nên đến nha khoa để được bác sĩ thực hiện kỹ thuật trám răng tương tự như trường hợp răng bạn bị sâu.
2.3 Răng thưa
Nếu răng bạn bị thưa, đặc biệt là ở vị trí răng cửa sẽ gây ảnh hưởng đến thẩm mỹ thì bạn có thể sử dụng đến phương pháp trám răng thẩm mỹ để tạo hình cho chiếc răng bị thưa. Tuy nhiên, phương pháp này thường chỉ nên áp dụng nếu phần hở nhỏ hơn dưới 2mm.

Trường hợp khoảng thưa, hở lớn hơn, nếu trám răng thì răng cửa sẽ trông khá to và mất cân đối nên bác sĩ có thể khuyên bạn chuyển sang các kỹ thuật khác như bọc răng sứ hoặc là niềng răng để lấy lại thẩm mỹ cho hàm răng.
2.4 Trám răng thay cho chỗ trám cũ trước đấy
Nếu các bạn chưa biết, phương pháp trám răng không phải là một phương pháp có tác dụng sử dụng vĩnh viễn. Theo thời gian ăn uống, sinh hoạt, phần trám răng sẽ dần bị mòn do hoạt động nhai, từ đó sẽ từ từ bong tróc, thậm chí là rơi ra khỏi răng hoàn toàn. Do đó, các bác sĩ sẽ yêu cầu bạn phải thực hiện lại quy trình trám răng lần nữa.
3 Lợi ích của dịch vụ trám răng mang lại
Với những lợi ích mà trám răng mang lại, ngày nay, phương pháp này được sử dụng phổ thông tại các nha khoa khác nhau:
– Điều trị và ngăn ngừa các bệnh lý về răng miệng: Bằng cách dùng men răng để phủ bên ngoài nhằm ngăn cách răng với các tác động khác có hại từ axit, lực nhai, thực phẩm, nhiệt độ…
– Làm răng trắng sáng, bóng hơn: Bác sĩ dùng một lớp men răng mỏng phủ lên toàn bộ phần thân răng để che đi những chiếc răng bị xỉn màu, ố vàng.

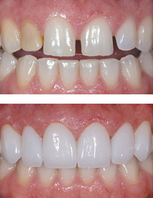
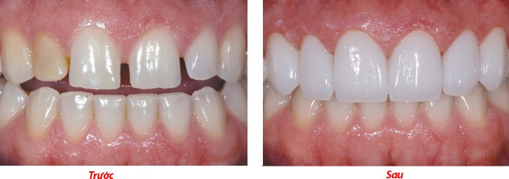
Hình ảnh trước và sau khi trám răng
– Chỉnh lại hình thể cho răng giúp phục hồi thẩm mỹ, cải thiện chức năng ăn nhai: Bằng cách bổ sung men răng nhân tạo lên phần cần trám để khôi phục hình thể cho răng. Phương pháp này thường áp dụng cho các răng bị vỡ, sứt mẻ.
Trám răng không hề phức tạp như nhiều người nghĩ mà ngược lại, nó là kĩ thuật trong nha khoa được thực hiện khá đơn giản, dễ dàng, hiệu quả mà vô cùng nhanh chóng. Tuy nhiên, để chất lượng của ca hàn trám răng đạt được tốt nhất, bạn cần được thực hiện bằng một quy trình chuẩn, an toàn và chính xác tại nha khoa uy tín, chất lượng.
4 Có những loại vật liệu trám răng nào? Vật liệu nào được đánh giá là tốt nhất?
Trên thị trường có rất nhiều loại vật liệu trám răng khác nhau dùng để phục hồi răng như: nhựa composite, GIC, amalgam, vàng,… Việc lựa chọn vật liệu trám răng phụ thuộc vào đánh giá của bác sĩ trong từng trường hợp lâm sàng. Bạn có thể lựa chọn, yêu cầu bác sĩ thực hiện vật liệu trám răng theo nhu cầu, sở thích của mình.
Dù là loại vật liệu trám răng nào cũng phải đạt được yêu cầu đầu tiên là khít sát với lỗ trên răng cần trám, chịu lực tốt trong quá trình ăn nhai để không dễ bị rơi rớt ra ngoài.
Trong số các loại vật liệu trám răng có mặt trên thị trường hiện nay thì vật liệu Composite là loại được bác sĩ nha khoa khuyên dùng bởi:
- Phù hợp với cơ thể giúp khách hàng cảm thấy an toàn với răng miệng.
- Quy trình thực hiện cực kỳ đơn giản, nhanh chóng, hiệu quả
- Chi phí phù hợp với nhiều đối tượng
- Độ bền chắc, tính thẩm mỹ cao, trùng màu đến 99% với răng thật nên khó nhận ra.
- Thời gian sử dụng khá lâu nếu được chăm sóc, bảo vệ đúng cách.
5 Trám răng không đau, nhanh chóng, hiệu quả tại Nha khoa HanSeoul
Để lựa chọn được một địa chỉ trám răng uy tín, chất lượng bạn cần phải dựa trên yếu tốkhác nhau, đặc biệt là trình độ chuyên môn của bác sĩ, máy móc, trang thiết bị hiện đại, tiên tiết. Bởi, lẽ điều này sẽ giúp cho quá trình trám răng diễn ra suôn sẻ, hiệu quả cũng như chất lượng của ca hàn trám răng đạt được cao nhất.
Bạn có thể tham khảo địa chỉ trám răng không đau, nhanh chóng, hiệu quả tại Nha khoa HanSeoul. Là hệ thống nha khoa sở hữu các công nghệ làm răng mới, tân tiến nhất hiện nay. Các kỹ thuật, vật liệu trám răng được ưa chuộng nhất trên thị trường cũng như tiên tiến, hiện đại nhất trên thế giới đều đã có mặt tại Nha khoa HanSeoul. Cùng với đó là đã ứng dụng cho hàng ngàn bệnh nhân, đem lại hiệu quả cao nhất.
Sở hữu các vật liệu trám răng tốt nhất trên thế giới, Nha khoa HanSeoul hoàn toàn xứng đáng là nơi trám răng tốt nhất thị trường hiện nay.
- Miếng trám đều rắn chắc, chịu lực tốt nên cải thiện, hỗ trợ chức năng ăn nhai tốt hơn.
- Độ bám của các loại vật liệu trám gia tăng tối đa, các mép trám không bị bung hở, cong hay vênh.
- Màu sắc, kích thước đa dạng giúp khách hàng dễ dàng lựa chọn loại phù hợp .
Ngoài ra, khách hàng trám răng tại Nha khoa HanSeoul sẽ được đảm bảo chất lượng tốt cả về độ bền cũng như tính thẩm mỹ cao.Các bác sĩ tại đây không chỉ có chuyên môn giỏi, kinh nghiệm nhiều năm trong nghề mà còn đảm bảo mặt thẩm mỹ tốt để có thể tái tạo lại hình dáng phần trám sao cho đẹp mắt nhất.

Bệnh nhân trám răng tại nha khoa Hanseoul
Dẫn đầu trong việc chú trọng và đầu tư về cơ sở, công nghệ, trang thiết bị hiện đại. Có thể nói, tại Nha khoa HanSeoul công nghệ chính là yếu tố hàng đầu hỗ trợ, giúp cho bác sĩ thao tác được chính xác nhất và hạn chế đau nhức, ê buốt tối đa cho bệnh nhân. Vì vậy, địa chỉ trám răng uy tín, chất lượng nhất cần phải có trang thiết bị hiện đại, đảm bảo cho ca hàn trám răng không bị lây nhiễm, không để lại biến chứng xấu về sau, và quan trọng hơn hết là đảm bảo được độ bền chắc cũng như mặt thẩm mỹ của hàm răng giúp khách hàng tự tin trong giao tiếp.
Với những thông tin được cung cấp ở trên, hy vọng bạn sẽ biết được khái niệm trám răng là gì cũng như địa chỉ trám răng không đau, nhanh chóng, hiệu quả nhất – Nha khoa HanSeoul, đây là nơi trám răng tốt nhất hiện nay. Nếu bạn còn bất cứ thắc mắc nào về trám răng hay bất kỳ dịch vụ nha khoa khác cần được giải đáp hãy liên hệ với chúng tôi qua hotline 0928.75.7777 – 0939.090.581 hoặc có thể đến trực tiếp phòng khám Nha khoa HanSeoul.





