- 1 Trám răng thẩm mỹ là gì?
- 2 Vật liệu trám răng thẩm mỹ
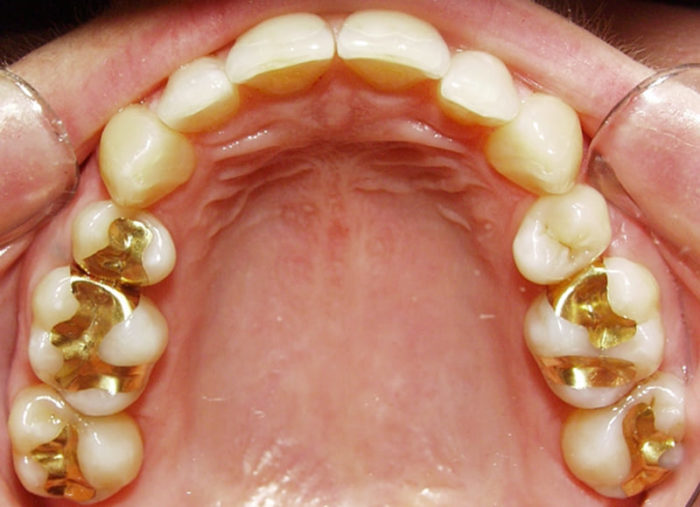
- 2.1 Trám vàng
- 2.1.1 – Ưu điểm:
- 2.1.2 – Nhược điểm:
- 2.2 Trám hỗn hợp Bạc Amalgam
- 2.2.3 – Ưu điểm:
- 2.2.4 -Nhược điểm:
- 2.3 Trám răng nhựa Composite
- 2.3.5 -Ưu điểm:
- 2.3.6 -Nhược điểm:
- 2.4 Trám răng bằng sứ
- 2.5 Trám răng lonomer thủy tinh
- 3 Đối tượng nào cần trám răng thẩm mỹ
- 4 Trám răng thẩm mỹ có nguy hiểm hay không?
- 5 Quy trình trám răng (hàn trám răng) thẩm mỹ
- 5.1 Bước 1: Thăm khám và tư vấn
- 5.2 Bước 2: Vệ sinh răng miệng
- 5.3 Bước 3: Tạo hình xoang trám răng
- 5.4 Bước 4: Tiến hành trám răng
- 6 Những lưu ý sau khi trám răng thẩm mỹ
1 Trám răng thẩm mỹ là gì?
Trám răng thẩm mỹ có thể hiểu đơn giản là kỹ thuật được các bác sĩ nha khoa sử dụng nhằm bổ sung các phần mô răng bị thiếu, mất. Các phần trám bổ sung cần được ghép khớp và đều màu với răng thật nhằm đảm bảo chức năng ăn nhai của răng miệng và tính thẩm mỹ cho bệnh nhân sau khi điều trị.

Hình ảnh trám răng thẩm mỹ đẹp
Quá trình trám răng diễn ra nhanh chóng và không gây đau đớn khi điều trị với giá thành không quá cao. Có nhiều bạn thắc mắc về chi phí trám răng bao nhiêu? Tại sao có sự khác nhau về chi phí trám răng của mỗi người? Trám răng có ảnh hưởng gì tới sức khỏe không?
Sau khi trám răng có cần kiêng gì không?… Để có đáp án cho những câu hỏi trên, hãy cùng nha khoa Hanseoul tìm hiểu về trám răng thẩm mỹ dưới bài viết này nhé!
2 Vật liệu trám răng thẩm mỹ
Trước tiên cùng tìm hiểu về vật liệu dùng để trám răng (hàn trám răng). Hiện nay trên thị trường có rất nhiều vật liệu dùng để trám răng với tùy thuộc vào vị trí trám răng và sở thích, nhu cầu cho bạn lựa chọn. Nha khoa Hanseoul liệt kê 5 vật liệu thường được sử dụng trong trám răng thẩm mỹ là: Vàng, hỗn hợp Bạc Amalgam, nhựa Composite, Sứ, lonomer Thủy tinh. Vậy ưu điểm và nhược điểm của những loại vật liệu trên là gì?
2.1 Trám vàng
2.1.1 – Ưu điểm:
Trám vàng chịu được lực ăn nhai tốt và được nhiều người lựa chọn dùng để trám răng hàm – nơi có lực nhai mạnh trong chức năng răng miệng. Độ bền của trám vàng cao, là kim loại không bị ăn mòn bởi acid, tuổi thọ miếng trám 10 – 15 năm và có thể cao hơn theo khả năng gìn giữ của mỗi người.

2.1.2 – Nhược điểm:
Tính thẩm mỹ không cao do sắc tố vàng nên được ít người ưa chuộng. Giá thành của vàng cao hơn tất cả các vật liệu khác. So sánh với bạc Amalgam thì chi phí cao gấp khoảng 10 lần và cần đến nha khoa khoảng 2 lần 1 tuần để điều trị. Vàng có khả năng dẫn điện nên trong quá trình làm có thể dẫn tới tình trạng sốc điện, tuy nhiên trường hợp này rất hiếm khi xảy ra trong quá trình điều trị.
2.2 Trám hỗn hợp Bạc Amalgam
2.2.3 – Ưu điểm:
Giống với vàng, bạc cũng có đặc điểm kim loại nên có khả năng chịu lực nhai tốt, tuổi thọ của miếng trám cao, ít nhất từ 10-15 năm. Vật liệu hỗn hợp Bạc Amalgam có chi phí rẻ hơn nhựa Composite.

2.2.4 -Nhược điểm:
Tính thẩm mỹ hạn chế do hỗn hợp có sắc tố xám, không đều màu với màu răng tự nhiên. Có thể gây dị ứng do có lượng nhỏ thủy ngân trong hỗn hợp Amalgam. FDA công nhận sử dụng vật liệu Amalgam là an toàn cho người lớn và trẻ em từ 6 tuổi trở lên.
2.3 Trám răng nhựa Composite
2.3.5 -Ưu điểm:
Composite là vật liệu trám được sử dụng phổ biến hiện nay bởi tính thẩm mỹ đạt hiệu quả tối đa, tương thích màu giống với răng thật. Vật liệu được chọn để sử dụng trám răng cửa và có tính linh hoạt sử dụng như: trám răng sứt mẻ, gãy mòn, răng ngắn, thưa,..

2.3.6 -Nhược điểm:
Chịu được lực ăn nhai kém nên dễ bị sứt mẻ và ăn mòn, theo đó tuổi thọ của vật liệu Composite ngắn, chỉ đạt khoảng 5 năm. Không được ưu tiên sử dụng trong trám răng hàm và chi phí vật liệu cao hơn so với hỗn hợp bạc Amalgam.
2.4 Trám răng bằng sứ
Vật liệu được làm bằng sứ và có khả năng chống bám bẩn hơn Composite. Vật liệu có đặc điểm giống trám vàng là độ chịu lực cao, tuổi thọ miếng trám kéo dài hơn 15 năm. Nhược điểm của vật liệu là chi phí cao, tương đương vàng.

2.5 Trám răng lonomer thủy tinh
Tính sử dụng không linh hoạt, chỉ thường được sử dụng ở trẻ em. Vật liệu dùng để trám đường viền cổ chân răng nhằm bảo vệ men răng ở trẻ nhỏ. Vật liệu có chi phí tương đương Composite nhưng độ bền kém hơn và tuổi thọ chỉ khoảng 5 năm

3 Đối tượng nào cần trám răng thẩm mỹ
Có những trường hợp răng bị bẩm sinh hoặc những trường hợp trong quá trình sinh hoạt đời sống có nguyên nhân tác động khiến cho răng bị thiếu thẩm mỹ, giảm thiểu chức năng ăn nhai dó đó cần thực hiện kỹ thuật trám răng.

Hình ảnh bệnh nhân trám răng tại nha khoa
Một số trường hợp dễ gặp như: răng bị sứt mẻ do va chạm mạnh, răng bị ngắn bẩm sinh, răng bị thưa do quá trình mài mòn của acid, răng bị sâu và tổn thương tủy,…
4 Trám răng thẩm mỹ có nguy hiểm hay không?
Các vật liệu trám răng hiện nay đều được bộ y tế chứng minh an toàn cho người lớn và trẻ nhỏ trên 6 tuổi sử dụng. Trám răng thẩm mỹ hoàn toàn không gây hại cho sức khỏe, quá trình trám răng diễn ra nhanh chóng và sau khi trám không gây ảnh hưởng đến chức năng ăn nhai.

So sánh với bọc răng sứ: Trám răng là hình thức giữ được tối đa răng gốc, không sợ mài mòn răng thật, mất răng thật và không gây ảnh hưởng tới hệ thần kinh.
5 Quy trình trám răng (hàn trám răng) thẩm mỹ
Trám răng thẩm mỹ là một kỹ thuật đơn giản, tuy nhiên một ca trám thẩm mỹ thành công cần tuân thủ các bước theo quy trình sau:
5.1 Bước 1: Thăm khám và tư vấn
Trước tiên, bác sĩ sẽ tiến hành thăm khám cụ thể vùng cần trám và tiến hàng chụp X-quang cho người bệnh. Sau đó dựa vào kết quả kiểm tra để lên phác đồ điều trị phù hợp với từng bệnh nhân.

5.2 Bước 2: Vệ sinh răng miệng
Vệ sinh răng miệng là bước quan trọng trước khi trám răng, giúp miếng trám bám chắc vào răng thật. Bác sĩ tiến hành vệ sinh sạch sẽ khoang miệng và sát trùng vùng cần trám nhằm tránh những viêm nhiễm không cần thiết trong quá trình điều trị.
Với những trường hợp răng sâu, bước làm sạch xoang trám sẽ giúp loại bỏ phần răng tổn thương và hạn chế sự hình thành, phát triển của vi khuẩn.
5.3 Bước 3: Tạo hình xoang trám răng
Vệ sinh răng miệng xong, các bác sĩ tiến hành gây tê tại vùng cần trám. Việc này giúp bệnh nhân không bị đau nhức trong quá trình trám bít.
Đồng thời, bước này bằng cách dụng cụ chuyên khoa bác sĩ tiến hành loại bỏ vụn thức ăn và ngà sâu trong lỗ sâu. Tiếp đó dùng mũi khoan để tạo hình xoang trám phù hợp với vật liệu và kỹ thuật trám.
Các ca trám nhẹ như mẻ, răng ngắn, răng bị mòn nhẹ sẽ tiến hành trám răng mà không cần gây mê.
5.4 Bước 4: Tiến hành trám răng
Sau khi vệ sinh khoang miệng và gây tê vùng cần trám xong, bác sĩ sẽ tiến hành trám răng. Các miếng trám ban đầu mềm và dễ tạo hình, sau đó chiếu đèn chuyên dụng miếng trám sẽ dần khô cứng và bám chắc vào răng thật.
Kết thúc quá trình trám, bác sĩ thực hiện làm nhẵn vùng vừa trám và loại bỏ phần vật liệu thừa, đồng thời đánh bóng răng để giúp răng trắng sáng.
6 Những lưu ý sau khi trám răng thẩm mỹ
Sau khi trám răng xong bạn đã có một bộ răng đẹp và khỏe, để duy trì sức khỏe của răng miệng thì nên lưu ý những điều sau:
- Ngay sau khi trám: Nên kiêng ăn uống trong vòng 2 giờ để vết trám được ổn định, lúc này các vết trám mới được liên kết với răng gốc nên cần thời gian thích ứng.

- Trong 2 tuần đầu: Đối với các vị trí trám ở răng cửa nên các thức ăn có màu và đồ uống có màu như: nghệ, cà phê, các loại nước ngọt có ga có màu,..điều này sẽ khiến cho răng dễ bị ố màu, ngả vàng.
- Không nên ăn đồ dai, cứng. Trong những ngày đầu nên ăn thức ăn dạng mềm như: soup, cháo, đồ ăn chín nhừ để bảo vệ vết trám không bị bung, gãy. Ngoài ra không nên ăn thức ăn quá nóng hoặc quá lạnh, hạn chế hoa quả chua và đồ ngọt.
- Không nên tác dụng lực mạnh lên răng, tránh những va chạm không cần thiết lên răng
- Sau khi trám răng thẩm mỹ, bạn nên lựa chọn những loại kem đánh răng tốt cho răng miệng và thực hiện vệ sinh răng miệng đầy đủ 2 lần/ ngày.
Sau khi trám răng nếu có những triệu chứng bất thường sau khi trám như: cộm, đau, khớp nhai lệch,… hãy đến ngay cơ sở điều trị để các bác sĩ thăm khám và xử lý kịp thời. Sử dụng thuốc theo đơn kê của bác sĩ để đúng bệnh đúng thuốc, tuyệt đối không tự ý sử dụng thuốc bên ngoài.
Trên đây là những thông tin chi tiết về trám răng thẩm mỹ. Hãy liên hệ với Nha khoa Hanseoul ngay hôm nay bằng cách gọi đến số 0939 090 581 để được thăm khám và tư vấn miễn phí, cũng như lựa chọn những loại vật liệu trám và lên phác đồ điều trị phù hợp với từng tình trạng răng bạn nhé.





